超高精細CTによる胸部画像診断の可能性 〜肺の解剖学的構造の見え方と肺腺癌診断能への影響〜
梁川 雅弘(大阪大学大学院医学系研究科 放射線統合医学講座放射線医学教室)
CT
2021-6-25
本講演では,キヤノンメディカルシステムズ社製の超高精細CT「Aquilion Precision」の概要,画質,および胸部領域における有用性について述べた上で,肺腺癌の診断能への影響について,症例を踏まえて報告する。
超高精細CTの概要
超高精細CT(UHR-CT)は,従来のArea Detector CT(ADCT:従来CT)と比較して,最小焦点サイズが0.4mm×0.5mmときわめて小さく,検出器は面内方向に従来の2倍となる1792chの素子を配列し,列数は160列となっている。また,エレメントサイズはx,y,z軸方向に0.25mmと従来CTの半分であり,これにより面内および体軸方向において,従来の2倍の空間分解能を提供する。
マトリックスサイズは,従来CTと同じ512×512に加え,超高精細CTでは1024×1024および2048×2048による再構成も可能である。FOV 32cmの場合,1ピクセルのサイズは512マトリックスで0.625mmであるが,1024マトリックスでは0.313mm,2048マトリックスでは0.156mmにまで縮小する。これにより,空間分解能は面内で0.15mm,体軸方向では0.25mmまで向上する。実際に,0.15mmのスリットファントムを用いてマトリックスサイズによる影響を検討したところ,512マトリックスでは認識できないスリットが,1024マトリックスは若干描出され,2048マトリックスでは明瞭に認識可能であった。
画質に関する検討
1.空間分解能が画質に与える影響
超高精細CTの優れた空間分解能が画質に与える影響について,伸展固定肺を用いて検討した1)。
図1はびまん性汎細気管支炎であるが,従来CT(a)と比較し,超高精細CT(b)では,すりガラス状陰影などの境界や陰影内部の細気管支の構造物が明瞭である。また,超高精細CTでは,高周波成分を強制的に強調する必要がないため,結節周囲のアンダーシュート(図1↑)が低減されている。
図2は肺出血であるが,超高精細CT(b)では,細気管支透亮像(↑)を明瞭に認識できる。一方,小葉内の網状陰影は,従来CTの方が視認しやすい(図2a)。その理由として,超高精細CTでは,小葉間隔壁の微細な構造物まで見えてしまうがために,相対的に従来CTよりも網状陰影が見づらくなっていると考えられる。ただし,肺出血ではなく,間質性肺炎の線維化のみを見た場合,肺細葉,肺小葉のような微細構造の描出は,超高精細CTの方が有利であると考える。
以上より,超高精細CTでは空間分解能が向上し,アーチファクトが低減するため,従来CTよりも高画質な画像を提供することが可能となる。また,微細な構造物を明瞭に描出できるため,肺の解剖構造や疾患の状態などの詳細な情報が得られる。
図1 びまん性汎細気管支炎における画像比較
図2 肺出血における画像比較
(参考文献1)より引用転載)
2.マトリックスサイズが画質に及ぼす影響の検討2)
肺気腫の症例にて,512,1024,2048マトリックスの画像を比較したところ,2048マトリックスでは小さな気腫状変化もとらえられていた。また,図3はがん性リンパ管症であるが,2048マトリックス(c)では気管支血管束(←)が明瞭である。
以上より,マトリックスサイズを大きくすれば空間分解能を向上することが可能になる。ただし,マトリックスサイズが大きいほどノイズが増加する。また,装置の空間分解能である0.15mmを超えないよう,FOVサイズに合わせて適正なマトリックスサイズを選ぶ必要がある。
図3 マトリックス数の違いによる病変描出能の比較(がん性リンパ管症)
胸部領域における有用性
図4は肺腺癌であるが,従来CT(a)と比較して,超高精細CTの最高空間分解能(画像スライス厚0.25mm・2048マトリックス)の画像(b)では,結節内の細気管支透亮像(◀)や,すりガラス状陰影(→)の内部のテクスチャが明瞭である。
また,超高精細CTでは,結核の微細分枝状影が非常に見やすいほか,間質性肺炎の牽引性気管支拡張像の連続性も追いやすく,蜂巣肺も明瞭に描出可能である。
図4 最高分解能の画像の有用性(肺腺癌)
1.大きいマトリックスサイズがもたらす有用性
1)Volumetryへの影響
従来CT(0.5mm・512マトリックス)と超高精細CT(0.25mm・1024マトリックス)の画像における同一病変の体積を比較したところ,従来CTの2390.2mm3に対し,超高精細CTでは2354.1mm3とやや小さくなっていた。これは,周囲の正常な肺とのセグメンテーションの精度が向上し,病変を測定する際に空気を含まなくなったことで体積が小さくなったものと考えられる。一方,平均CT値は超高精細CTの方が若干高くなっていた。
2)気道の描出
気道病変の描出も,超高精細CTの方が有利である。0.5mm・512マトリックス,0.25mm・512マトリックス,0.25mm・1024マトリックスで再構成した気道の画像を比較すると,0.25mm・1024マトリックスが最も末梢まで描出できていた。最近の報告では,0.25mmでの再構成により,1〜2mm程度の細気管支径までは定量できるとされている。また,終末細気管支から呼吸細気管支の径は0.4〜0.6mmのため,空間分解能0.15mmの超高精細CTであれば描出可能と考える。
3)肺気腫の定量
肺気腫のlow attenuation area(LAA)について,0.25mm・1024マトリックスと0.5mm・512マトリックスの画像を比較したところ,%LAAはそれぞれ10.5%,9.3%であった。超高精細CTで得られた定量値と呼吸機能の相関は良好であることが報告されている3)。
2.その他の有用性
超高精細CTを用いることで,上記のほか,肺の二次小葉の視覚化や,間質性肺炎,喫煙関連の障害,肺がんなど,さまざまな病態の生体変化をとらえられる可能性があると報告されている4)。肺の線維化の予測や慢性閉塞性肺疾患(COPD),肺気腫の前兆予測などが可能になることが期待される。
肺腺癌の診断能への影響に関する検討
1.対象・方法
われわれは,超高精細CTの最高分解能(0.25mm・2048マトリックス)の画像を用いて,肺腺癌の病理学的浸潤成分の予測精度や診断能について検討を行った5)。89症例を対象とし,2名の胸部放射線科医が分葉,スピキュラ,胸膜陥入像,血管の収束像,すりガラス状陰影内の網状陰影,部分充実結節,細気管支透亮像(不整像,途絶,拡張)について詳細に評価した。なかでも,細気管支透亮像については,MPR画像を用いて多方面からその形態や連続性を評価した。また,0.5mmよりも径の大きい細気管支の連続性が突然途絶える場合を“途絶”と定義した。
定量評価については2名の放射線科医が行い,結節の最大径および充実成分の最大径の計測値を評価した。浸潤成分を最も高い精度で分けるためのカットオフ値は,それぞれ1.6cm,0.8cmとした。
2.結 果
本検討では細気管支透亮像は,上皮内腺癌(AIS)で100%,微小浸潤性腺癌(MIA)で100%,浸潤性腺癌(IVA)で89%に認められた。これらのうち途絶が認められたのは,AISで14%,MIAで100%,IVAで96%であった。
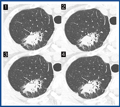
代表例を提示する(図5)。症例は,50歳代,女性,浸潤性肺腺癌(浸潤部2.5cm)である。3.1cm大の部分充実結節は,超高精細CTにて形態が不整な細気管支透亮像を認め,一部で途絶も確認された(図5→,▶)。途絶直前の径は約1.3mmであった。
上記の検討項目について,単変量および多変量解析を行った結果,「細気管支透亮像の途絶」と「充実成分の径が0.8cmより大きい」の2つが,病理学的浸潤性の指標として重要な因子であることが明らかとなった(オッズ比はそれぞれ106倍と17倍)。さらに,これら2つの所見を併せた診断能は,感度97%,特異度86%,AUC 0.94と,高精度に病理学的浸潤成分を診断・予測できることが明らかとなった。
図5 最高分解能の画像による細気管支の途絶の評価(浸潤性肺腺癌)
(1→4の順で頭側→尾側)
まとめ
超高精細CTは,空間分解能を大幅に改善し,それに伴う部分体積効果やアンダーシュートの改善をもたらすことで,超高画質を提供することが可能である。
一方,装置本来の空間分解能の限界を超えないよう,適切なマトリックスサイズを選択することが重要である。
超高精細CTの高分解能画像を用いて微細な解剖構造を検出・評価し,それらを病理像と比較しながら詳細な検討を重ねていくことで,新しい画像診断法の発見につながっていくのではないかと期待している。
* 記事内容はご経験や知見による,ご本人のご意見や感想が含まれる場合があります。
●参考文献
1)Yanagawa, M., et al., Eur. Radiol., 28(12) : 5060-5068, 2018.
2)Hata, A., Yanagawa, M., et al., Acad. Radiol., 25(7) : 869-876, 2018.
3)Xu, Y., et al., Int. J. Chron. Obstruct. Pulmon. Dis., 14 : 2283-2290, 2019.
4)Lynch, D.A., et al., Radiology, 297(2) : 472-473, 2020.
5)Yanagawa, M., et al., Radiology, 297(2) : 462-471, 2020.
Aquilion Precision
一般的名称:全身用X線CT診断装置
販売名:CTスキャナ Aquilion Precision TSX-304A
認証番号:228ACBZX00019000
- 【関連コンテンツ】
