Precisionの大血管・IVR(IR)術前CT
岡田 宗正(山口大学医学部附属病院 放射線部)
CT
2021-6-25
本講演では,キヤノンメディカルシステムズ社製の超高精細CT「Aquilion Precision」による大動脈評価について,血管径計測や大動脈壁性状,分枝(特にAdamkiewicz動脈)の評価における有効性を考察する。また,IVR(IR)の術前画像として,超高精細CTが有用な例を紹介する。
大動脈評価における有効性
1.血管径計測における課題
大動脈瘤や大動脈解離,大動脈弁狭窄症(AS)などの診断に当たっては,腸骨動脈径の計測や形態評価を行うが,現状ではstandard CTの画像スライス厚0.5mmで十分であり,Aquilion Precisionの0.25mmが必須とは言い難い。通常,ステントグラフト内挿術(EVAR)や経カテーテル大動脈弁置換術(TAVI),胸部大動脈ステントグラフト内挿術(TEVAR)では,対象となる血管径は2cm以上あり,下肢血管も1cm程度はあるためである。これらの症例に対してどのような運用を行っていくかについては,今後の課題である。
2.大動脈壁性状の評価
動脈硬化には,アテローム性動脈硬化(アテローム症)と動脈硬化(単に硬化)という概念があり,いずれも動脈壁が硬化する。動脈壁の硬化を原因とする主な疾患には,大動脈瘤(血管拡張)と閉塞性動脈硬化症(ASO:血管狭窄)があり,いずれも大動脈壁の構造に起因する。大動脈壁は内膜,中膜,外膜の3層から成るが,大動脈における分布は必ずしも均一ではなく,胸部大動脈では内膜が薄くて中膜が厚く,腹部大動脈では内膜が厚くて中膜は徐々に薄くなっていく。外膜には必ずしもそのような特徴はないものの,周囲には神経線維や小動静脈(vasa vasorum:VV)が密にあり,VVのリンパ経路は部位によって異なる。これらより,腹部では大動脈瘤が多く,胸部では大動脈解離が多いといった各疾患の発症率の違いは,内膜,中膜,外膜のバランスやVVの形態に起因しているものと思われる。
症例1(図1)は,30歳代,女性,左総腸骨動脈閉塞(ASO)におけるスライス厚0.25mm(a)と0.5mm(b)の画像比較であるが,0.25mmの画像では微細な血管(←)が描出されている。血管造影検査では,閉塞血管をまたいだ側副血行路(bridge collateral artery)かVVが限局的に拡張したものと推測された。スライス厚0.25mmの画像によって,動脈硬化のある部位にはこのような血管が存在していることがわかってくる。
冠動脈の領域ではVVと動脈硬化との関係性について,新生血管の造成がプラーク破綻や心血管イベントと相関すると報告されている。内膜,中膜,外膜を評価するためには,高い空間分解能が必要であるが,Aquilion PrecisionのSHR(super high resolution)モードでは最大空間分解能が0.15mmであるため,今後はより直接的な壁の評価が可能になると期待できる。
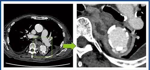
壁性状の評価が有効であった一例を示す。症例2は80歳代,男性,感染性大動脈瘤である。病変部を見ると,3〜6時方向は壁が明瞭に描出されているが,6〜10時方向は不明瞭である(図2)。この部分には,大動脈に接する膿瘍腔があり,炎症反応に伴って壁構造が崩れている様子を視認できているものと考えられる。
なお,現在,大動脈壁性状の評価を目的とした胸部下行大動脈のCT撮影において,われわれは通常,心電図同期は行っていない。大動脈壁に石灰化があり,動脈硬化を来している場合,壁在血栓により壁の運動が低下するが,動脈硬化の少ない症例では動きが大きく,高空間分解能CT撮影でも画像が不明瞭となることがある。今後,動脈硬化のない症例を対象に検討を行う場合は,CTの時間分解能も重要になると思われる。
図1 症例1:ASOにおける0.25mmと0.5mmの画像比較
図2 症例2:感染性大動脈瘤における血管壁の描出
3. 分枝(特にAdamkiewicz動脈)の評価
大動脈の分枝で最も重要なのはAdamkiewicz動脈である。standard CTと比較して,Aquilion Precisionの方がAdamkiewicz動脈の描出能が高く1),さらに,逐次近似法よりも人工知能(AI)を用いた再構成技術である“Advanced intelligent Clear-IQ Engine(AiCE)”の方が優れていることが報告されている2)。そのため,Adamkiewicz動脈の同定には,Aquilion Precisionで撮影し,AiCEで再構成することが有効であると思われる。
症例3は70歳代,男性,胸部下行大動脈瘤(TAA)であるが,Aquilion Precisionにて瘤の遠位側の左T8肋間動脈から分枝するAdamkiewicz動脈が認められた(図3)。
図3 症例3:TAAにおけるAdamkiewicz動脈の描出
IVR(IR)術前画像としての有用性
血管内治療を行うに当たり,CTによる術前画像は明瞭である方がよいものの,治療時に血管造影にて十分に血管を描出できる。そのような中で,超高精細CTによる術前画像が有用な症例について述べる。
IVRにおいては近年,脳動脈瘤治療用の1mm程度の細径コイルを腹部血管に使用できるようになり,細血管を治療する場合には,スライス厚0.5mmのstandard CTの空間分解能では不十分である。そのため,今後はより高い空間分解能が求められる。
症例4は50歳代,男性,足背動脈の高流速動静脈奇形である。Aquilion PrecisionのSHRモードで撮影した術前CTにて,まず異常血管塊(nidus)と流入動脈(feeder),流出静脈(drainer)の位置関係を把握する。さらに重要なのは,足先の血管の性状や前脛骨動脈と後脛骨動脈の交通など,また,足底動脈の状態を把握することである(図4)。血管塞栓時に塞栓物質による遠位塞栓の可能性があるため,血管走行を術前に十分に把握することでより安全な治療が可能となる。
症例5(図5)は50歳代,男性,脊髄硬膜動静脈瘻で,Aquilion PrecisionのSHRモードによる造影CT(a)とVR画像(b)にて非常に拡張した静脈瘻とそのfeeder(←)および別のレベルより起始するAdamkiewicz動脈が確認された。MRIのT2強調画像(図5 c)では,胸随から腰随にかけて高信号を伴い,背側側に無信号域(flow void)を認めた。脊髄硬膜動静脈瘻のfeederに対して液体塞栓物質を用いて塞栓術を施行したところ,flow voidが消失し,脊椎の浮腫も改善した。
図4 症例4:足背動脈の高流速動静脈奇形における血管塞栓術前の評価
図5 症例5:脊髄硬膜動静脈瘻における血管塞栓術術前の評価
まとめ
Aquilion Precisionは,大動脈評価において,腫瘍浸潤や炎症浸潤などの壁性状評価への有用性が期待できる。また,分枝評価においては,standard CTで描出困難なAdamkiewicz動脈の検索にSHRモードでの撮影とAiCEを用いることで描出能が向上する。
IVR(IR)の術前画像においては,main feederの検出はもとより,standard CTでは描出困難であった重要な細血管(脊髄枝,指動脈,眼動脈など)を描出することができ,血管走行を事前に把握することが可能となる。
* AiCEはノイズフィルタの設計段階でAIを用いた画像再構成です。
* 記事内容はご経験や知見による,ご本人のご意見や感想が含まれる場合があります。
●参考文献
1)Yoshioka, K., et al., Neuroradiology, 60(1) : 109-115, 2018.
2)Akagi, M., et al., Eur. Radiol., 29(11) : 6163-6171, 2019.
Aquilion Precision
一般的名称:全身用X線CT診断装置
販売名:CTスキャナ Aquilion Precision TSX-304A
認証番号:228ACBZX00019000
- 【関連コンテンツ】
