超高精細CTとDeep Learning Reconstructionが可能とする腹部画像診断
中村 優子(広島大学大学院医系科学研究科 放射線診断学研究室)
CT
2021-6-25
われわれは,2017年12月に当院に導入されたキヤノンメディカルシステムズ社の超高精細CT「Aquilion Precision」を用いて腹部領域の検討を行ってきた。本講演では,腹部領域における超高精細CTと,AIを用いたノイズ除去再構成技術“Deep Learning Reconstruction(DLR)”(製品名:Advanced intelligent Clear-IQ Engine:AiCE)の有用性と限界,そして新たに開発されたAiCE(Body Sharp)の可能性について報告する。
従来のDLR〔AiCE(Body)〕の有用性と限界
1.腹部領域における超高精細CTの課題
超高精細CTは,従来のCTと比較し相対的に線量が不足するため,画像ノイズの増加により画質が劣化し,診断の妨げとなる。特に,腹部領域ではノイズ増加の影響が大きく,これまで腹部実質臓器における有用性は報告されていなかった1),2)。
画像ノイズと空間分解能はCTの画質に大きな影響を与える。高線量で撮影した画像に比べ,低線量で撮影した画像のノイズは増加する。線量を変えて低〜高のさまざまなコントラストの病変を模擬したファントムを撮影すると,高コントラスト病変はノイズの多寡にかかわらず視認性は保たれるが,低コントラストの病変はノイズが増加すると対象そのものが見えにくくなるため,ノイズを低減しなければ評価は困難である。腹部領域においては,背景肝との差が10HU以下となるような原発性肝細胞がん(HCC)など,背景肝とのコントラストが低い対象を評価する必要がある。そのため,腹部領域の超高精細CTでは,ノイズ低減が必須となる。
2.画像再構成法の進化
ノイズ低減には画像再構成法が有用である。これまで,フィルタ逆投影(FBP),逐次近似応用再構成法(Hybrid-IR),モデルベース逐次近似再構成法(MBIR)と開発されてきたが,このうちHybrid-IRとMBIRにノイズ低減効果が期待される。胸部領域(肺野)においては,FBPやHybrid-IRに比べてMBIRでは空間分解能が高く,ノイズも低くなることから,良好な画像が得られると報告されている3)。一方,腹部領域については,MBIR画像は低周波ノイズが目立ち,胸部領域のような画質改善が得られない。特に線量が十分でない場合には,MBIR画像では低コントラスト病変の検出能は向上しないことが報告されている4)。
そこで,さらなる画質改善をめざして開発されたのがDLR(AiCE)である。設計段階においてディープラーニング技術が搭載されたDLRは,高品質のMBIR画像を教師データとしてトレーニングされたニューラルネットワークにより,低品質な画像から高品質な画像を再構成することができる。AiCEでは,部位ごとにトレーニングを行うことで目的部位に適したニューラルネットワークを構築しており,腹部領域ではAiCE(Body)が最初に製品化された。
3. 超高精細CTにおけるAiCE(Body)の検討
われわれは,AiCE(Body)により超高精細CTの画質を改善できるか検討した。超高精細CTで肝ダイナミック撮影を行い,Hybrid-IR,MBIR,AiCE(Body)で再構成した画像を比較したところ,AiCE(Body)では非常に良好な画質を得ることができた5)。AiCE(Body)を用いることで,超高精細CTの腹部への臨床適用性を検討できるようになった。
また,超高精細CTは線量が少し高くなる傾向にあるが,このAiCE(Body)によるノイズ低減を線量低減に応用できると考えられる。腹部を超高精細CTで撮影し,標準線量で撮影したHybrid-IR画像と,線量を30%低減して撮影したHybrid-IR,MBIR,AiCE(Body)で再構成した画像と比較したところ,線量を低減したAiCE(Body)のみが標準線量のHybrid-IRと比べて遜色のない画質を得られた6)。AiCE(Body)を併用することで,腹部領域において超高精細CTの画質を保ったまま線量を低減することができると考えられる。
4.従来のDLR〔AiCE(Body)〕の限界
AiCE(Body)の登場により腹部領域において超高精細CTの有用性を検討できるようになったが,課題も残っていた。超高精細CTで肝ダイナミック撮影を行い,Hybrid-IR,MBIR,AiCE(Body)で再構成したCPR画像で肝動脈末梢を観察したところ,辺縁はMBIRが最も明瞭であり,AiCE(Body)では視認性の改善は十分とは言えなかった5),7)。
また,HCCでは肉眼分類が提唱されており,腫瘍の形態で悪性度が異なる8)ことから,境界が明瞭な画像で形態を評価することに臨床的な意義がある。
超高精細CTは高分解能であることが大きな利点であるため,HCCの形態診断に利用できると期待した。原発性HCC症例(70歳代,男性:図1)について,Hybrid-IR(a),MBIR(b),AiCE(Body)(c)で再構成した画像を比較すると,AiCE(Body)では非常に良好なノイズ低減が得られているものの,腫瘍の境界(→)については若干不明瞭になり,視認性の改善があるとは言い難い画像であった。
図1 Hybrid-IR,MBIR,AiCE(Body)の比較
新たなDLR〔AiCE(Body Sharp)〕の可能性
AiCE(Body)の登場から約2年が経過し,新たにAiCE(Body Sharp)が開発された。この間にニューラルネットワークが進化し,信号とノイズの識別能がさらに向上したため,AiCE(Body Sharp)で再構成された画像が,対象物の境界をより明瞭に描出できるようになることが期待される。
前出の原発性HCC症例(70歳代,男性)について,AiCE(Body Sharp)で再構成した(図2 c)。AiCE(Body)(図2 b)と比べるとノイズは若干増えているものの,腫瘍境界の視認性(→)が改善されている。また,MBIR(図2 a)と比べてAiCE(Body Sharp)では,低周波ノイズは目立たなくなっている。
囊胞性病変である分枝型膵管内乳頭粘液性腫瘍(IPMN)症例(50歳代,男性:図3)においても,AiCE(Body Sharp)(d)はAiCE(Body)(c)に比べてノイズは少し増えているが,囊胞性病変の境界(→)は明瞭になっている。
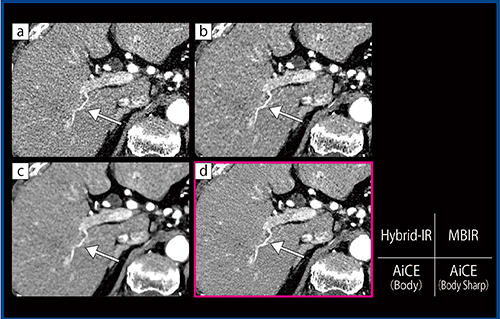
さらに,肝動脈末梢の描出についてHCC治療後症例(90歳代,女性:図4)の画像を比較したところ,AiCE(Body Sharp)(d)ではMBIR(b)と比べて遜色のない画像を得られた。ノイズについても,MBIRで見られる低周波ノイズはAiCE(Body Sharp)では目立たない。
このように,新開発のAiCE(Body Sharp)と従来のAiCE(Body)を併用することで,腹部領域における超高精細CTの有用性がさらに高まり,今後さまざまな検討が行えると期待している。
図2 MBIR,AiCE(Body),AiCE(Body Sharp)の比較
(図1と同一症例)
図3 分枝型IPMN症例(50歳代,男性)の膵実質相
図4 HCC治療後症例(90歳代,女性)の動脈相における肝動脈末梢の描出
まとめ
腹部領域における超高精細CTはノイズ増加による画質劣化が課題であるが,AiCE(Body)を用いることでノイズを低減させ,画質を改善することができる。ただし,AiCE(Body)は良好なノイズ低減が得られる反面,構造境界の視認性の改善は十分とは言いがたかった。新たに,AiCE(Body Sharp)が登場したことで,ノイズの粒状性を維持しながら構造境界を明瞭化することが可能になり,AiCE(Body)と併用することで腹部領域において超高精細CTの有用性をさらに高めることができる。
* AiCEはノイズフィルタの設計段階でAIを用いた画像再構成です。
* 記事内容はご経験や知見による,ご本人のご意見や感想が含まれる場合があります。
●参考文献
1)Kakinuma, R., et al., PLoS One, 10(9): e0137165, 2015.
2)Yanagawa, M., et al., Eur. Radiol., 28(12): 5060-5068, 2018.
3)Fujita, M., et al., Jpn. J. Radiol., 35(4): 179-189, 2017.
4)Euler, A., et al., Eur. Radiol., 27(12): 5252-5259, 2017.
5)Akagi, M., et al., Eur. Radiol., 29(11): 6163-6171, 2019.
6)Nakamura, Y., et al., Eur. Radiol., 2021(Epub ahead of print).
7)Higaki, T., et al., Acad. Radiol., 27(1): 82-87, 2020.
8)日本肝癌研究会 編:臨床・病理 原発性肝癌取扱い規約 第6版〔補訂版〕. 金原出版,東京,2019.
Aquilion Precision
一般的名称:全身用X線CT診断装置
販売名:CTスキャナ Aquilion Precision TSX-304A
認証番号:228ACBZX00019000
- 【関連コンテンツ】
