近未来の脳卒中診療 〜非専門医がtPA静注療法を行うために〜
櫻井 謙三(聖マリアンナ医科大学 脳神経内科)
Healthcare IT
2021-6-25
日本における脳血管障害(脳卒中)の年間発症数は29万人,そのうち血栓によって血管が塞栓する脳梗塞が65%で年間約18万人が発症する。脳卒中では超急性期の治療が重要であり,日本においては一次脳卒中センターの整備などが進められているが,非専門医も対応せざるを得ない時代に移行していると考えられる。本講演では,非専門医を支援するシステムとして,読影支援ソリューション「Abierto Reading Support Solution(Abierto RSS)」を中心に,その可能性と課題について述べる。
超急性期脳梗塞治療の現状と課題
脳梗塞は,認知症関連疾患に次いで介護が必要となる疾患だが,後遺症を残さず機能を回復させることができるのは超急性期の治療だけと言ってよい。超急性期治療で重要なことは,いかに早く血管を再開通させるかである。それによって,ペナンブラと呼ばれる“死にかけの脳”を回復させ,初期の障害を軽減することができる。そのための治療法として,2005年に血栓溶解療法(tPA静注療法)が認可され,さらにカテーテルを用いた血管内再開通療法が登場することで超急性期の治療法が確立された。
tPA静注療法は,特別な処置は必要なく,点滴でtPAを投与することで血栓が溶解され血流が再開し,予後も改善する。しかし,例えば脳出血のリスクがある場合には致命傷になる場合もあり,その適応判断が重要となる。
脳梗塞,脳出血,クモ膜下出血のうち,脳梗塞のtPA静注療法と脳出血の保存的加療は,非専門医でも十分対応可能な治療だと考えられる。もちろん,最先端の現場ではtPA静注療法だけでなく,その先も考慮した治療選択が求められるが,医療資源の限られた離島などのへき地では,まずは地域の病院の非専門医がどんな治療ができるか,あるいは専門医にかかる必要があるかを的確に判断できることが重要になる。
日本脳卒中データバンクの報告書1)によれば,脳梗塞/一過性脳虚血発作(TIA)症例のうち,“再開通療法なし”が85.2%,“tPA静注のみ”は6.2%となっており,全体の9割が専門医でなくても対応できる症例である。また,発症後4.5時間未満に来院した,脳梗塞/TIA症例へのtPA静注療法の実施割合を見ても,施設ごとにtPA投与の判断にバラツキがあり,これを底上げすることが脳梗塞による障害を減らすことにつながると考えられる。
非専門医による脳卒中診療の重要性については,2019年に施行された「健康寿命の延伸等を図るための脳卒中,心臓病その他の循環器病に係る対策に関する基本法」の下で整備が進められている一次脳卒中センター(Primary Stroke Center:PSC)の存在がある。PSCでは,24時間365日脳卒中患者を受け入れ,tPA静注療法を含めた治療ができることとされているが,その要件は,“急性期脳卒中診療担当医師”がいること,“画像検査”が実施できることであり,常勤の専門医やMRIの撮像は求められていない。また,常勤医は“脳卒中専門医1名以上”となっており,1名では24時間365日の対応は困難であることから,非専門医も急性期の脳卒中にも対応せざるを得ない時代に移行したと考えられる。
現在の救急医療では,脳卒中疑い患者には頭部CTあるいはMRIが施行される。画像上で脳卒中を診断した時点で専門医にコンサルトされることになる。その9割は保存的加療ですむが,昼夜問わずコンサルトされる専門医は疲弊していく。また,tPA静注療法は非専門医では判断が難しいことから施行されず,結果として患者が不利益を被るというのが現状である。
脳卒中診療の変化に対応したソリューション
こうした脳卒中の診療体制の変化に対して,人工知能(AI)など最新技術を活用したツールを活用した支援が必要だと考える。急性期脳卒中に対応する非専門医に,治療判断や画像診断を支援するツールを提供することで,専門医への適切なコンサルトや迅速な処置が可能になり,専門医が不在の地域では患者の利益につながる。さらに,医療費削減,専門医の負担軽減,非専門医の不安の軽減にもつながることが期待される。非専門医をサポートするツールとして,脳卒中の診療アルゴリズムを搭載した脳卒中診断補助アプリケーション“OneStroke”と,Abierto RSSを用いた画像解析の有用性について紹介する。
1. 脳卒中診断補助アプリケーションOneStroke
OneStrokeは,私が現在開発を進めているスマートフォン向け脳卒中診断補助アプリケーションである。画面に表示される項目に沿って患者情報を入力するだけで,tPA適応などの治療プランを提示する。救急外来で最低限の臨床情報から,非専門医の治療選択を支援する。アプリケーションでは,専門医へコンサルトするタイミングと,tPA静脈療法適応を判断し治療まで行えるように支援することがねらいだが,ポイントは,ロジックを展開するきっかけがCTやMRIの画像診断であることだ(図1)。画像が診断できなければ,このアルゴリズムが発動できないことが課題と言える。
図1 脳卒中疑い症例の診断アルゴリズム
2. 読影支援ソリューションAbierto RSS
そこで,AIを活用した読影支援ソリューションであるAbierto RSSによるサポートが期待される。Abierto RSSでは,“Automation Platform”上で“Hemorrhage analysis”“Ischemia analysis”“Brain Perfusion”“Brain Vessel Occlusion”の4つのアプリケーションが利用できる。
Hemorrhage analysisでは,頭部単純CT画像から出血領域を抽出して強調表示する(図2)。脳出血はCTでは高吸収域となり,比較的診断がしやすい画像を示すが,tPA静注療法の適応判断において出血を見逃すことはリスクが大きいことから,アプリケーションで脳出血の有無を確認できる意義は大きいと考えられる。
Ischemia analysisでは,脳梗塞の低吸収域を抽出し,early CT signの確率が高い領域を強調表示する。さらに,Ischemia analysisでは早期虚血性変化を定量化したスコア法である“CT-ASPECTS”の算出を補助することができる。CT-ASPECTSは,前方循環領域の早期虚血性変化を10のエリアに分け,その虚血の程度,重症度をスコアリングしていく。虚血なしが10点で,虚血があるエリアごとに減点していき,中大脳動脈(MCA)全領域に虚血があれば0点となる。一般的には7点以下で“広範な虚血性変化”となり,tPA投与によって出血のリスクが上昇すると判断される。
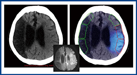
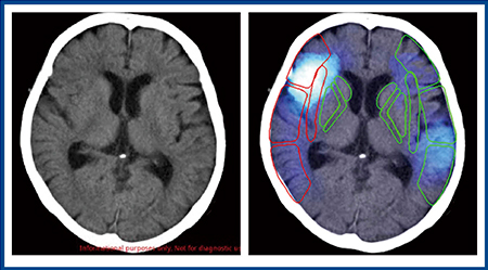
図3は,計算ができない,左右がわからないという主訴で来院した症例である。専門医ならば,左のMCA領域に梗塞を疑うが,非専門医では読み取るのが難しいと思われる。Ischemia analysisでは,虚血をピックアップして,CT-ASPECTSにより虚血があるエリア(減点)を赤枠で示し点数を自動計算する。また,図4では,右の大脳半球に広範な低吸収域が認められるが,Ischemia analysisの虚血サインは左のM5,M6領域を指している。右の低吸収域は古い梗塞巣と判断され,陳旧性病巣は除外できるのもポイントである。
図5では,右のM1,M2と島皮質,およびM3が赤くマッピングされているが,画像を見ると実際にはM2,M3には病巣は及んでいない。実際の臨床では医師が最終確認を行い,虚血サインの判断を修正することができる。また,Ischemia analysisでは,尾状核など深部梗塞も検知できる。
図2 Abierto RSSのHemorrhage analysis
図3 Ischemia analysisのCT-ASPECTS自動計算1
図4 Ischemia analysisのCT-ASPECTS自動計算2
図5 CT-ASPECTSの判定の修正
わずかなズレで加点(M2,M3)されているが,医師が確認し修正することができる。
Abierto RSSの非専門医のサポートの可能性
Abierto RSSは,脳卒中診療に精通していない非専門医の診療のサポートに貢献できると考える。夜間休日帯で,思いがけずに脳卒中症例に遭遇し,MRIは施行できずCT検査しかできない場合に,tPA静注療法を行う上でのCT-ASPECTS評価,血管内治療をコンサルトする判断,病巣検出の画像診断の読影支援,出血性病変のスクリーニングなどで役に立つと考えられる。
一方で,Ischemia analysisの現時点での課題は,前方循環系のCT-ASPECTSに対応した虚血巣の評価に限られることである。小脳や脳幹といったCT-ASPECTSのエリア外や,後方循環系の評価は難しいのが現状である。非専門医のサポートのためには,全脳のカバーが必要であり,今後の開発に期待したい。
Ischemia analysisの前方循環系に対する診断精度について,医師の視覚による診断の一致率(正答率)を50例で検証した。全体の正答率は78%(39/50)だったが,4.5時間未満と4.5時間以上で分けると,それぞれ70%,85%と超急性期の病巣(人の目に見えない変化)は拾えない可能性があると考えられた。4.5時間を超えて24時間,48時間と時間が経過するにつれ正答率は上がることから,ヒトの目と同様にある程度時間が経てば精度は上がると考えられる。
まとめ
AI技術の活用は,今まで不可能だったことを可能にすると期待される。脳卒中領域においては,専門医はもちろん,非専門医が大きな恩恵を受けられる可能性がある。しかし,機器はあくまで診療の補助であり,機器の開発や進歩を十分に臨床に活用できるように医療者も研鑽していくことが求められる。
* 記事内容はご経験や知見による,ご本人のご意見や感想が含まれる場合があります。
●参考文献
1)「脳卒中レジストリを用いた我が国の脳卒中診療実態の把握(日本脳卒中データバンク)」報告書, 2019.
Abierto Reading Support Solution
一般的名称:汎用画像診断装置ワークステーション用プログラム
販売名:汎用画像診断ワークステーション用プログラム Abierto SCAI-1AP
認証番号:302ABBZX00004000
- 【関連コンテンツ】
