T2解析による脳の水動態の推定
押尾 晃一(慶應義塾大学医学部 放射線科学教室)
MRI
2021-6-25
本講演では,キヤノンメディカルシステムズと取り組んだ“脳のリンパ系”とも言える脳の水(脳脊髄液や間質液)の動態をMRIで可視化する検討1)について,検討の背景や歴史,シーケンスや後処理の方法などを紹介する。
背景・歴史的経緯
近年,血液や脳脊髄液(CSF),間質液(ISF)などのさまざまな脳の水をneurofluidsと呼び,これらが複雑に絡み合って各種の機能を達成していると考えられるようになっている。日本磁気共鳴医学会では2019年に,国際磁気共鳴医学会では2020年にスタディグループが結成され,関心が高まっている。
脳の水の可視化が役立つ可能性がある疾患の一つがアルツハイマー病である。アルツハイマー病の機序はいまだ明らかになっていないが,最近注目されているのが,アミロイドなどの老廃物の排出能の低下に原因があるという説である。老廃物の排出は脳以外の組織であればリンパ系によって行われるが,脳にはリンパ系が存在せず,代替する機能の実態も判明していない。
これについては最近,glymphatic systemが注目されている。これは,脳実質内では血管周囲腔を経由して老廃物が排出されており,その過程にはグリア細胞(アストロサイト)とアクアポリン(アストロサイトの表面にある水チャネルタンパク)が関与し,全体としてリンパ系のように機能しているという概念である。glymphatic system仮説は,Iliffによって初めて報告された2)。マウスを使った動物実験で,蛍光染料をクモ膜下腔に注入すると主に動脈の血管周囲腔に分布し,脳実質に注入すると静脈の血管周囲腔に分布するという動きを確認でき,さらにアクアポリンのノックアウトマウスではこの動きのスピードが低下するという結果を得ている。この結果から,脳脊髄液がクモ膜下腔から動脈の血管周囲腔を通って脳実質に入り,静脈の血管周囲腔を通って再びクモ膜下腔に戻るという経路で老廃物を排出するという仮説を提唱している。グリア細胞に依存したリンパ系に相当する系ということで,gliaとlymphaticを組み合わせてglymphatic systemと呼ぶ。近年,非常にポピュラーになっている仮説であるが,実験データとの矛盾も指摘され定説とはなっておらず,今後修正が加えられていくと考えられる。
脳脊髄液の動きに関しても不明な点が多く,脳脊髄液が脈絡叢で生成され,脳室およびクモ膜下腔を通って頭頂部のクモ膜顆粒で吸収されるという,最も基本的な循環説も疑問視する研究者が増えている。脳脊髄液の流れについては,血流イメージングのようにMRIで計測が行われてきたが,これはクモ膜下腔の中の動きであり,外部との水の交換については明らかになっていない。これに関する代表的な疾患である特発性正常圧水頭症(iNPH)も,アルツハイマー病と同様に高齢者において重要な疾患であるが,メカニズムは解明されていない。近年,脳脊髄液からの老廃物の排泄との関連が疑われており,水の動態解析により理解が進むものと期待される。
脳の水動態は古くから研究されているが,動物の実験系が中心である。脳は種差が大きいと予想されるため,ヒトを対象とした研究が望ましい。また,睡眠による変化が示唆されるなど,脳の水動態はダイナミックに変化することが予想されるためin vivoでの観測が必須で,最も適したモダリティがMRIだと考えられる。最近まで,この領域に対して画像医学はあまり関与していなかったが,ガドリニウム造影剤が脳に沈着するとの論文が発表されたことを受け,glymphatic systemへの関心が一気に高まっている。画像医学が関与することで,理解が加速することが期待される。
方 法
1.基本的な考え方
本検討の基本的な考え方は,「老廃物が一定の経路に沿って排出されるのであれば,その経路に沿って老廃物・溶質を含んだ水が存在するはず」というものである。脳脊髄液は溶質をほとんど含まない純粋な水であり,T2値は約2秒(2000ms)と生体組織で最も長く,含まれる溶質が増えるに従ってT2値が短縮する。脳の間質液は脳脊髄液とつながっていると言われており,その間の連続的なT2の変化を計測することで溶質濃度が推定できると考えられる。さらに,溶質がある経路に沿って動いているのであれば,経路に沿ってT2値がある程度の連続性を持つと考えられ,T2分布を計測することで溶質の流れを間接的に推定できると仮定している。
方法としては,CPMG(マルチエコー)シーケンスでTEの異なる多数の画像を取得する。TEレンジは40〜1000ms(エコー数は25)とし,ボクセルごとにT2減衰曲線を取得する。通常のexponential curve fittingではボクセルごとに1つのT2値が得られるだけであるが,構造が複雑な脳ではボクセル内に複数の組織が混在すると想定される。そこで,CPMGでエコー数分の画像を取得して,non-negative least squares(NNLS)を用いて成分を分解し,色を割り当てて足し合わせることで1枚のカラーマップを合成する。
2.パルスシーケンス
CPMGは,fast spin echo(FSE)と同じパルスシーケンスである。FSEは,それぞれのエコーに異なる位相エンコードを割り当てることで高速化を図った画像法であるが,CPMGではそれぞれのエコーを別の画像に割り当てることで,エコー数だけ画像を取得でき,複数のTEによる信号減衰を一度に計測することができる。
3.T2成分分解
検討では,TEレンジ40〜1000msを40ms間隔で計測し,25エコー分の画像を取得した。この画像からボクセルごとに,縦軸が信号強度,横軸がTEのデータ(図1 a)を取得して,NNLSを用いて減衰する信号を異なるT2のコンポーネントに分解(図1 b)し,そのデータを画像化してT2が60〜2000msの25枚の画像を取得した。画像は,細胞内は100ms以下の短いT2で,脳脊髄液は2000msの長いT2で描出されるが,その間のT2でも継続して信号が認められる。これをそのまま解釈することは困難なため,カラーマップを合成する。
図1 NNLSによるT2成分分析
4.カラーマップ表示
まず,T2によって色彩強度を変えたカラールックアップテーブルを作成し,コンポーネントに当てはめ,25枚の画像を合成した(図2)。脳実質がほとんどを占めるため全体的に白いマップとなり,目的とする中間のT2を観察しにくい。
次に,解剖がわかる程度に脳実質をグレーにして,脳脊髄液の色彩強度をゼロ(黒)にし,中間のT2の色彩強度を高めることで,T2が数百msの間質液を強調したカラーマップを作成したところ,非常に興味深い水の分布を観察することができた(図3)。また,脳実質を黒にし,脳脊髄液に注目したカラーマップでは,脳表と脳脊髄液の境界を明瞭にとらえることができ(図4),カラーマップによりまったく異なる情報を得ることができた。現在はボランティアでしか検討を行っていないが,臨床においては観察したいターゲットに合わせてカラーマップを変更する必要があるだろう。
図2 T2によって色彩強度を変えたカラーマップ
図3 間質液に注目したカラーマップ
図4 脳脊髄液に注目したカラーマップ
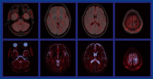
ボランティアでの結果
図5はボランティアによるアキシャルのカラーマップで,同じデータを基に間質液(上段),脳脊髄液(下段)に注目して作成している。いくつか興味深いポイントがあり,例えば,脳脊髄液の中にT2の短いところもあり,均一ではないことが見て取れる。また,コロナル(図6)やサジタルでは,錐体路に沿うように大きな流れや,頭頂付近の硬膜内にリンパ系と思われるT2の短い部分が見られる。リンパ系と脳内の交通は最近のホットトピックであり,今後臨床で検討し,脳の水動態の解明に取り組んでいきたい。
図5 ボランティアによる検討結果:アキシャル
上段:間質液,下段:脳脊髄液
図6 ボランティアによる検討結果:コロナル
上段:間質液,下段:脳脊髄液
まとめと将来への展望
TEの異なるマルチエコー画像から,画像をT2成分に分解することが可能である。T2成分画像から成分により重みの異なるカラーマップを作成することで,脳実質の信号を除去した,間質液および脳脊髄液のみの画像を作成することができる。このカラーマップ画像は脳内の水のT2,およびそのT2成分の量の情報を有しており,画像から溶質の濃度を推定することができる。
これまでは正常な状態を知るために,若く健康なボランティアのデータを中心に検討してきたが,今後は加齢や病的な状態でどういった変化が出てくるかという検討を進める予定である。これまでとはまったく質の異なる情報が得られることが期待される。
●参考文献
1)Oshio, K., Yui, M., Shimizu, S., et al., Magn. Reson. Med. Sci., 20(1): 34-39, 2021.
2)Iliff, J.J., et al., Sci. Transl. Med., 4(147): 147ra111, 2012.
- 【関連コンテンツ】
