被ばく低減画像再構成法の進化
檜垣 徹(広島大学大学院医系科学研究科先進画像診断開発共同研究講座)
Session 1
2021-12-24
キヤノンメディカルシステムズが開発した被ばく低減画像再構成法の歴史を振り返ると,Filtered Back Projection(FBP)の時代には量子ノイズ除去ソフトウエア“Quantum Denoising Software+(QDS+)”やストリークアーチファクト低減技術“Boost 3D”などが用いられていた。その後,2011年に逐次近似応用画像再構成法(Hybrid IR)である“Adaptive Iterative Dose Reduction 3D(AIDR 3D)”が,2014年にはその改良版である“AIDR 3D Enhanced”がリリースされた。翌2015年にはモデルベース逐次近似画像再構成法(MBIR)である“Forward projected model-based Iterative Reconstruction SoluTion(FIRST)”が,そして,2018年には深層学習応用画像再構成法(Deep Learning Reconstruction:DLR)である“Advanced intelligent Clear-IQ Engine(AiCE)”が登場した。本講演では,これらの画像再構成法の技術的な詳細と画像の特徴を紹介する。
■被ばく線量と画像ノイズ
管電流を小さくして被ばくを低減すると画像ノイズが増加するため,多くのノイズ低減手法が開発されている。一般的に,ノイズ低減を行うと画像がボケることから,いかにボケを抑制しつつノイズを低減するかが開発のカギとなる。
■画像再構成のプロセスとノイズ低減
CTでは,スキャンによって得られたサイノグラム(投影データ)に対して,何らかの画像再構成法を適用することで断面画像を取得する。ノイズ低減を行うに当たり最も容易なのは,この再構成後の断面画像に対してノイズ低減処理を行うことである。すでに画像化されているため,一般的な画像処理によるノイズ低減手法が適用でき,選択肢も多く,誰でもアプローチできるというメリットもある。
次に,投影データに対してノイズ低減を行う手法がある。ノイズは,投影データ上ではドット状であるが,画像再構成後はBack Projectionの過程で点が線(ストリークアーチファクト)に変化する。線は構造との区別が難しいことから,断面画像上で除去するのは困難である。しかし,本手法は,投影データに対してノイズ低減を行うことでストリークアーチファクトが低減できるという,大きな効果が得られる。
そして,3つ目の手法は,画像再構成法の中に組み込む方法である。これに当てはまるのが真の逐次近似画像再構成法であり,理論的により正確で,精度の高い再構成画像を得ることができる。
■被ばく低減再構成法の進化
1.量子ノイズ除去ソフトウエア:QDS+
QDS+は,FBP再構成後の画像データに対してノイズ低減処理を行う技術で,構造境界を検出し,ボケを抑制しつつノイズだけを低減する。特殊なハードウエアは不要なため,広くすべてのキヤノンCT装置で使用可能である。
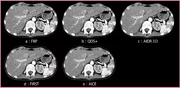
図1は8.7mGyで撮影した腹水貯留のある症例(症例1)で,FBP(a)と比較し, QDS+(b)では臓器の構造境界がボケることなくノイズが大幅に低減されている。一方,1.5mGyの低線量で撮影した小児腹部CTのアキシャル画像(症例2:図2)では,QDS+の画像(b)はFBP(a)よりは良好であるものの,ノイズ低減効果は弱く,ストリークアーチファクトも残存している。
2.逐次近似応用画像再構成法:AIDR 3D
AIDR 3Dは,投影データと断面画像の両方に対してノイズ低減処理を行う。投影データへのノイズ低減処理によって,ストリークアーチファクトの効果的な抑制が可能となる。また,AIDR 3Dは特殊なハードウエアを用いることなく,FBPと同等の速度で高速に処理が行われるため,被ばく低減に広く活用されている。
図1,2におけるQDS+(b)とAIDR 3D(c)の画像を比較すると,QDS+で残存していたノイズが,AIDR 3Dではより高いレベルで低減されており,ストリークアーチファクトも大幅に低減されている。
3.モデルベース逐次近似画像再構成法:FIRST
次世代の技術として開発されたFIRSTは,画像再構成法に対してノイズ低減処理が組み込まれている。QDS+やAIDR 3DがFBPに基づいた画像再構成法であるのに対し,FIRSTでは逆投影と順投影を反復する過程で,高精度かつ高画質な再構成画像を取得できるため,理論的に理想に近い画像再構成法であると言える。FIRSTでは,処理プロセスにおいて光学モデルなども考慮することで,装置の分解能を最大限に引き出すことができる。また,反復処理内に正則化と言われるノイズ低減処理を組み込むことで,高いレベルでのノイズ低減が可能である。
図1,2におけるAIDR 3D(c)とFIRST(d)の画像を比較すると,FIRSTの方が明らかにノイズやアーチファクトが低減されている。ただし,図2をよく見ると,FIRST(d)では肝臓内の軟部組織のテクスチャが粗く,構造が視認しづらい。
実際に,MBIRでは,低線量かつ軟部組織などCNRが低い場合,パフォーマンスが低下することが報告されている。しかし,軟部組織であっても線量が十分でCNRが高い場合は,高いパフォーマンスを発揮する。図3は,16.3mGyの高線量で撮影した膵臓のCurved MPR画像であるが,AIDR 3D(a)と比較し,FIRST(b)ではノイズが少なくシャープで,非常に明瞭な画像が得られている。
以上より,FIRSTは十分に線量を掛けた場合,もしくは骨や肺野などの高コントラスト領域において,特に有効性を発揮すると言える。そのため,現在,FIRSTで理想的な画像を作成し,教師画像として利用するという活路が見出されている。
4.深層学習応用画像再構成法:AiCE
AiCEは,Hybrid IRのノイズ低減を行った後に,深層学習の一手法であるDeep Convolutional Neural Network(DCNN)を用いて画質を向上させる手法である。理想的な条件で撮影し再構成したMBIR画像を教師としてトレーニングを行ったDCNNを用いることで,低画質な入力画像を,あたかも高線量で撮影したかのような低ノイズ・高分解能な画像として出力することができる。AiCEは,FIRSTと同様に特殊なハードウエアが必要であるが,FIRSTのような反復計算を行わないため,比較的短時間で高い効果が得られることから,急速に普及が進んでいる。
図1,2におけるFIRST(d)とAiCE(e)の画像を比較すると,AiCEの方がより高レベルなノイズ低減を実現している。また,FIRSTで問題となっていた軟部組織のテクスチャの粗さも,AiCEでは問題なく,あたかも高線量で撮影したかのような,非常にきめ細やかな画質が得られている。
図1 8.7mGyで撮影した腹水貯留のある症例のコロナル画像(症例1)
図2 1.5mGyで撮影した小児腹部CTのアキシャル画像(症例2)
図3 16.3mGyで撮影した膵臓のCurved MPR画像
■まとめ
被ばく低減画像再構成法は,QDS+やBoost 3Dを皮切りに開発が開始され,AIDR 3D,FIRST,AiCEへと進化を遂げた。
AiCEは,理想の条件で撮影しMBIRで再構成した画像をDCNNの教師とすることで,FBP系の画像再構成法よりも高画質を得ることができる。その結果,画像のテクスチャや空間分解能を維持しつつ,ノイズの大幅な低減が可能となった。AiCEは特殊なハードウエアを必要とするものの,年々コストは低下しており,また,処理速度がFIRSTよりも速いことから,急速に普及が進んでいる。近年では,キヤノンメディカルシステムズの「Aquilion Precision」や「Aquilion ONE」などのフラッグシップ装置はもとより,特殊なハードウエアを必要としない“AiCE-integrated(AiCE-i)”が,「Aquilion Prime SP / i Edition」「Aquilion Lightning / Helios i Edition」にもオプションとして搭載可能となっていることから,AiCEは次世代の被ばく低減画像再構成法のスタンダードになると確信している。
* AiCE,AiCE-iは画像再構成処理の設計段階でAI技術を用いており,本システム自体に自己学習機能は有しておりません。
* 記事内容はご経験や知見による,ご本人のご意見や感想が含まれる場合があります。
一般的名称:全身用X線CT診断装置
販売名:CTスキャナ Aquilion Precision TSX-304A
認証番号:228ACBZX00019000
一般的名称:全身用X線CT診断装置
販売名:CTスキャナ Aquilion ONE TSX-306A
認証番号:301ADBZX00028000
一般的名称:全身用X線CT診断装置
販売名:CTスキャナ Aquilion Prime SP TSX-303B
認証番号:229ACBZX00012000
一般的名称:全身用X線CT診断装置
販売名:CTスキャナ Aquilion Lightning TSX-036A
認証番号:228ABBZX00118000
- 【関連コンテンツ】
