Abierto Reading Support Solutionを用いた急性期脳梗塞治療戦略
三浦 正智(熊本赤十字病院 脳神経内科)
Session1 Healthcare IT
2022-6-24
熊本赤十字病院は,地域の脳卒中センターの中核を担う一次脳卒中センター(PSC)コア施設に認定されており,stroke care unit(SCU)を16床有するほか,脳血管内治療センターも開設するなど,脳卒中診療に注力している。近年は,当院における経皮的血栓回収療法の症例数が急増しており,2019年は132例と全国でも有数の治療数を誇る。
当院では,急性期脳梗塞に対する再開通療法の適応判断などにキヤノンメディカルシステムズの医用画像読影支援ソリューション「Abierto Reading Support Solution(Abierto RSS)」を活用しており,迅速な診療に役立てている。本講演では,再開通療法や当院における診療の実際について概説した上で,Abierto RSSの有用性や今後への期待を述べる。
急性期脳梗塞と再開通療法
急性期脳梗塞において,虚血中心部(虚血コア)の周囲に存在し,血流低下によって機能は停止しているが,早期の血流再開により救済可能な灌流遅延(ペナンブラ)領域が再開通療法のターゲットとなる。再開通療法には,現在,血栓溶解療法(rt-PA静注療法)と経皮的血栓回収療法(血栓回収療法)の2つがある。rt-PA静注療法の適応基準は,原則として発症から4.5時間以内とされ,日本では2005年から広く用いられてきたが,脳主幹動脈(内頸動脈,中大脳動脈近位部など)の大きな血栓は薬剤で溶解しきれず再開通率が低いことが明らかとなった。そこで登場したのが血栓回収療法である。2015年に5つのランダム化比較試験によってエビデンスが確立された血栓回収療法は,当初は発症から8時間以内が適応基準であったが,現在では一定の条件を満たす場合に適応基準が24時間以内に拡大された。このパラダイムシフトをもたらしたのが,脳灌流画像自動解析ソフトウエアである。
急性期脳梗塞において,発症から6時間以降では灌流評価が重要となる。脳灌流画像自動解析ソフトウエアを用いて行われた2つの臨床試験では,CT Perfusionの脳血流量(CBF対側比<30%)の虚血コア領域と,造影剤の最大濃度到達時間(Tmax)>6sのペナンブラ領域を抽出し,適応を判断することで,発症後6〜24時間の症例においても血栓回収療法の有効性が確認され,適応基準の拡大へとつながった。
“Abierto RSS for Neuro”の概要
Abierto RSSは,さまざまな解析アプリケーションを臨床領域ごとに提供している。Abierto RSS for Neuroは,“Hemorrhage analysis”“Ischemia analysis”“Brain Perfusion”“Brain Vessel Occlusion”がパッケージされており,画像データを受信すると,これら4つのアプリケーションが“Automation Platform”によって,あらかじめ設定したルールにて自動で実行される。
単純CTの解析を行うHemorrhage analysisは,正常画像と比較してCT値および画素値が高い領域(出血領域)を抽出し,強調表示する(図1 a)。また,Ischemia analysisは,正常な脳と比較してコントラストが低下している領域を抽出し,ASPECTS(Alberta Stroke Program Early CT Score)に沿って早期虚血性変化を強調表示する(図1 b)。
造影CTの解析を行うBrain Perfusion(図2 a)は,ベイズ推定を用いたデコンボリューション法による脳灌流解析で,各種マップ画像を並べて表示し,一元的な評価が可能となる。また,Brain Vessel Occlusionは,血管が表示されない領域を抽出し,閉塞血管の強調画像を作成・表示する(図2 b)。
図1 Abierto RSS for Neuroの単純CT解析のアプリケーション
図2 Abierto RSS for Neuroの造影CT解析のアプリケーション
当院でのAbierto RSSを用いた脳梗塞治療戦略
当院では,発症から4.5時間以内の症例についてはrt-PA静注療法を考慮し,病歴聴取や神経学的重症度(NIH Stroke Scale:NIHSS)などの評価後,頭部単純CTにて出血を認めなければ,さらに画像検査を進めていく。その際,失語や共同偏視などの皮質症状を認める場合は,perfusion CTを最初に施行し,適応があればrt-PA静注療法,続けて血栓回収療法を行う。また,発症4.5時間以降の症例も,同様の流れで最初にperfusion CTを施行し,適応があれば血栓回収療法を実施する。
●症例提示
症例は,心房細動,高血圧症の既往歴のある70歳代,男性である。自動車から降車時に,右手足の脱力と意識障害が出現し,当院に救急搬送された。左共同偏視と失語,右片麻痺を認め,NIHSSは22点と重度の神経症候を呈していた。
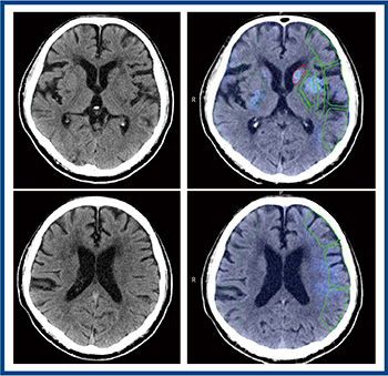
頭部単純CTでは出血を認めず,Abierto RSSでは脳の左半球の早期虚血性変化が表示された(図3)。急性期脳梗塞疑いにてperfusion CTを施行し,Abierto RSSにて自動解析が行われた。結果画像は自動でPACSに転送されるため,操作室で診療放射線技師が,各種マップ画像や4D画像にて閉塞血管などを一元的に確認すると同時に,救急外来では主治医が適応判断を行い,カテーテル室では治療の準備を進めることができる。図4はAbierto RSSの解析結果であるが,虚血コア体積は68.7mLとやや大きいものの,ペナンブラ領域も広汎に認め,また,mismatch ratioは3.1であり,血栓回収療法の適応と判断した。
本症例は内頸動脈閉塞のため大量の血栓が回収され,1回の手技で完全再開通を得た。術後経過は良好であった。
図3 頭部単純CTにおける早期虚血性変化の表示
図4 Perfusion CTの解析結果
■:虚血コア領域 ■:ペナンブラ領域
Abierto RSSのメリット,比較検討,今後への期待
1.メリット
Abierto RSSの最大のメリットとして,自動解析による時間短縮(人為的操作の省略)が挙げられる。解析結果はPACSに自動転送されるため,救急外来やカテーテル室で並行して診療を進めながら確認可能である。また,短時間でペナンブラ領域と虚血コア領域を可視化でき,mismatch ratioも自動計算されるため,それらの結果を基に治療適応を判断することで,迅速な治療が可能となる。
さらに,Abierto RSSは,他の自動解析ソフトウエアにはない4D解析や出血解析などのアプリケーションが搭載されていることもメリットであると考える。
2.比較検討
前述の臨床試験で使用された脳灌流画像自動解析ソフトウエア(以下,既存解析ソフト)は,欧米では主流でありエビデンスが確立しているが,日本では限られた施設でしか使用されていない。今後,Abierto RSSが日本で普及するためには,既存解析ソフトと同様に臨床や研究で有用であることを示す必要がある。そこで,当院にて同一症例を対象に,既存解析ソフトとAbierto RSSの解析結果について比較検討を行った。その結果,ペナンブラ領域は既存解析ソフト,Abierto RSSともに近似した値を示したが,虚血コア体積についてはAbierto RSSの方が大きな値を示し,それに伴ってmismatch ratioも大きな値となった。
この要因として,採用しているデコンボリューション法が,Abierto RSSはベイズ法,既存解析ソフトはbcSVD法と異なることや,既存解析ソフトでは小さい虚血コア体積は計測されない設計となっていることなどが考えられる。ただし,デコンボリューション法の差に関するエビデンスは少なく,少数ではあるが当院の49症例を対象に検討を行った。その結果,虚血コア体積については,Abierto RSSの方が値が大きいものの既存解析ソフトとの相関関係を認め,ペナンブラ領域についても十分な相関が見られた(図5)。なお,ペナンブラ領域については,Abierto RSSのバージョンアップに伴い,より近似した値が得られるようになった。
図5 Abierto RSSと既存解析ソフトの解析結果の比較
3.今後への期待
今後,国内で普及するためには,前向き試験などによるエビデンスの確立が求められるとともに,近年,虚血評価および予後予測の指標として注目されているhypoperfusion indexや各マップの詳細が表示可能となることが期待される。
*記事内容にはご経験や知見による,ご本人のご意見や感想が含まれる場合があります。
一般的名称:汎用画像診断装置ワークステーション用プログラム
販売名:汎用画像診断ワークステーション用プログラムAbierto SCAI-1AP
認証番号:302ABBZX00004000
- 【関連コンテンツ】
