頭部領域のニューノーマル
柏木 伸夫(大阪大学大学院医学系研究科 次世代画像診断学共同研究講座)
Session1 MRI
2022-6-24
本講演では,頭部MRI検査において,今後標準的な技術になることが期待される,ノイズ除去再構成技術“Deep Learning Reconstruction(DLR)”と高速化技術“Fast 3Dモード”,歪み低減技術“RDC(Reverse encoding Distortion Correction) DWI”の3つの技術について,キヤノンメディカルシステムズの1.5T MRI装置「Vantage Orian」による検証結果を紹介する。
ノイズ除去再構成技術DLR
MRIの進歩においては,装置とシーケンスの進歩が密接に関係していたが,2018年に登場したDLRは装置の性能への依存が少なく,別次元の進歩と言える。DLRは深層学習を用いたノイズ除去再構成技術で,low SNR画像とhigh SNR画像を深層学習させることで,SNRの低い条件で撮像した画像をhigh SNR画像に変換することが可能となる。キヤノンメディカルシステムズは,“Advanced intelligent Clear-IQ Engine(AiCE)”の名称で2019年に製品への搭載を開始,現在では,3Tおよび1.5Tのすべてのセグメントの装置に搭載され,AiCE搭載機種は“DLR-MRI”と呼ばれている。
AiCEの最大の特徴は,ノイズ除去によるSNRの改善効果である。AiCEでは,学習時にhigh SNR画像として10回加算の画像データを用いており,最大3.2倍のSNR向上が可能となる。また,ノイズやエッジ情報を含む高周波画像のみを学習データとして用いることで高い汎用性を実現し,さまざまなコントラストやシーケンス,撮像条件,撮像部位,コイルなどに対応する。
1.撮像時間短縮に関する検証
MRIにおいては,撮像時間,分解能,SNRの三者はそれぞれトレードオフの関係にある。したがって,ノイズ除去によるSNRの向上は,撮像時間を変えない高分解能化や画質(分解能とSNR)を保持した撮像時間短縮を可能とする。そこで,ボランティア10名の頭部T2強調画像を対象に,AiCE適用による撮像時間短縮に伴う画質劣化の有無について検証した。分解能を維持しつつ加算回数を減らし,parallel imagingでの加速ファクタ(acceleration factor)を増やす手法で,3倍速に短時間化を図った。
その結果,AiCEを適用した3倍速撮像は,ルーチン撮像とほぼ同等の画質になることが示された(図1)。また,神経放射線科医2名による定性評価でも,AiCE付加3倍速撮像はルーチン撮像とほぼ同等の画質という評価が得られた。一般的にノイズ除去法は病変のコントラストの悪化が懸念されるが,AiCEによるノイズ除去では診断に影響を与えた事象は認められていない。
図1 ルーチン撮像と3倍速撮像,AiCE付加3倍速撮像の比較
2.汎用性と高速化に関する検証
学習部位と異なる腰椎撮像の検証では,AiCE適用により3倍速撮像でもルーチン撮像と同等の画質を得ることができ,AiCEの汎用性が確認された。
また,6倍速の脊椎高速撮像とルーチン撮像の病変描出能の比較では,同一読影者内のkappa値は0.7以上であり,病変描出能は実質的に一致していると解釈できた(図2)。DLRの登場により,救急患者や安静保持が困難な患者向けに,病変描出能が保持された脊椎高速撮像が可能となったと考えられる。
図2 頸椎のルーチン撮像と高速撮像の比較
AiCEによるMRIの活用範囲の拡大
さらに,AiCEの適用により眼瞼挙筋機能の評価が可能となった。眼瞼挙筋機能は開眼上方視/下方視における眼窩隔膜の動きで評価するが,まばたきのため従来はMRIでの評価が困難であった。眼瞼挙筋機能は眼瞼下垂の術式選択の参考にされており,AiCEのような汎用性の高いノイズ除去技術は,MRIの活用範囲の拡大に寄与するものと考えられる。
また,図3はAiCEを高分解能化に活用した例である。スライス方向の分解能を向上させて下垂体病変でのパーシャルボリューム効果の低減を図り,2分以内の撮像時間で高画質の画像が得られた(b)。
図3 AiCEによる高分解能撮像(下垂体)
高速化技術Fast 3Dモード
3D撮像の高速化技術であるFast 3Dモードは,信号収集の工夫により,compressed sensingを使用することなく撮像時間を短縮する技術である。parallel imagingとFast 3Dモードの併用により,compressed sensingと同等の撮像時間に短縮可能なことに加えて,compressed sensingのようなランダムサンプリングを用いないため,血流の動きなどの影響も少ない。
このためFast 3Dモードによる撮像時間短縮は画質への影響が少なく,さらに従来と同等の撮像時間でより高分解能画像が得られる(図4)。したがって,末梢血管がより正確に評価でき,血管炎の診断能向上などが期待される。
図4 ルーチン撮像とFast 3Dモードによる高分解能画像の比較
歪み低減技術RDC DWI
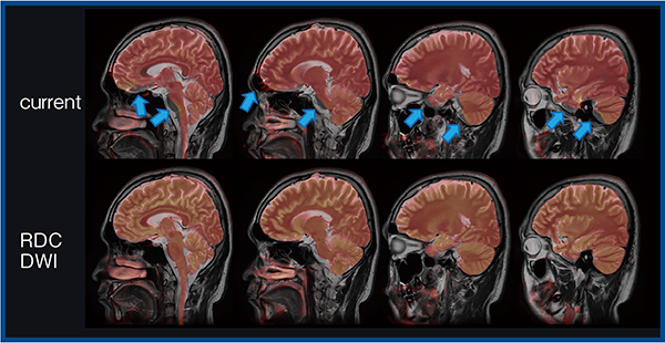
最後に,拡散強調画像(DWI)における歪み低減技術RDC DWIについて紹介する。RDC DWIは,位相エンコード方向が異なる2つの撮像を行い,各画像から歪み量を計算することで歪みを低減した画像を構築する技術である(図5)。RDC DWIはb0画像だけでなく,MPG印加画像においても位相エンコードの異なる撮像を行うことで,磁場不均一性に加え渦電流の影響による歪み補正も行え,より高精度の歪み補正が可能となる。実際の画像でも,RDC DWI適用により頭蓋底の歪みが低減したほか,RDC DWIとT2強調画像のフュージョン画像(図6,7)では,多断面にわたって歪み(↑)が大きく改善した。
眼窩部でのT2強調画像との構造学的類似度(SSIM)の測定を行った結果では,RDC DWIがconventional DWIと比較して有意にSSIMが高かった。また,脳幹前後径の計測では,T2強調画像との計測値差は,RDC DWIはconventional DWIより有意に小さかった。
臨床では視神経炎の評価におけるDWIの有用性が多く報告されており,RDC DWIでの撮像によりADC計測の正確性が向上すると考えられる。さらに,従来のDWIでは前頭蓋底の嗅球の評価は困難であったが,RDC DWIでは歪みなく明瞭に描出することが可能になり,今後の臨床における活用が期待される。
図5 歪み低減技術RDC DWIの概要
図6 RDC DWIとT2強調画像のフュージョン画像(アキシャル像)
図7 RDC DWIとT2強調画像のフュージョン画像(サジタル像)
まとめ
本講演で取り上げたAiCE,Fast 3Dモード,RDC DWIは,今後のスタンダードな技術になると思われる。
*記事内容はご経験や知見による,ご本人のご意見や感想が含まれる場合があります。
*AiCEは画像再構成処理の設計段階でDeep Learning技術を用いており,本システム自体に自己学習機能は有しておりません。
一般的名称:超電導磁石式全身用MR装置
販売名:MR装置 Vantage Orian MRT-1550
認証番号:230ADBZX00021000
- 【関連コンテンツ】
