Deep Learning Reconstructionを用いた超解像画像再構成PIQEによる冠動脈CT評価
立神 史稔(広島大学病院 放射線診断科)
Session2 CT
2022-6-24
本講演では,Deep Learning Reconstruction(DLR)の現状を述べた上で,次世代のDLRであるキヤノンメディカルシステムズの超解像画像再構成“Precise IQ Engine(PIQE)”の使用経験を報告する。
DLRの現状
CTの画像再構成法は,以前から用いられているfiltered back projection(FBP)のほか,キヤノンメディカルシステムズのCT装置では,hybrid IRの“Adaptive Iterative Dose Reduction 3D(AIDR 3D)”,model-based IRの“Forward projected model-based Iterative Reconstruction SoluTion(FIRST)”,DLRの“Advanced intelligent Clear-IQ Engine(AiCE)”の主に4つが使用可能である。これらのうちAIDR 3Dは,ノイズ低減効果が得られることに加えて画像再構成時間も短いため,臨床で広く使用されている。また,FIRSTは,分解能の高い画像が得られるが,画像再構成に時間を要する。
2018年に開発されたAiCEは,FIRSTで培った高品質な教師画像と,その画像に人工的にノイズを付加して作成した低品質画像を用いてDeep Convolutional Neural Network(DCNN)をトレーニングし,そのDCNNに低線量画像などを入力すると,高品質な画像が出力されるという仕組みである。通常線量で撮影した冠動脈CTにAiCEを適用することで,ノイズが低減してCNRが上昇し,血管辺縁の鮮鋭度も向上することで,大幅な画質改善が得られる。ただし,AiCEはノイズ低減が主目的であることから,より高い分解能をめざした再構成法が望まれる。そこで,キヤノンメディカルシステムズでは,Super Resolution(超解像)DLRであるPIQEの開発に至った。
次世代DLR:PIQE
1.超解像DLR“PIQE”の概要
超解像とは,イメージングの過程で劣化した分解能を復元する処理であり,単に画素数を増やすだけでなく,細かい構造物まで明瞭に描出する技術である。
現在,高分解能画像を得るためには,同社の高精細CT「Aquilion Precision」を使用する必要がある。Aquilion Precisionは,検出器0.25mm×160列,チャンネル数1792ch,最小焦点サイズ0.4mm×0.5mm,空間分解能0.15mmによって,構造物の情報を従来CTよりも細部まで収集することが可能である。Normal Resolution(NR)モードにて通常のCT画像を取得できるほか,Super High Resolution(SHR)モードを用いることで高分解能画像を取得できる。さらに,SHRモードにFIRSTやAiCEを適用することで,従来CTでは得られないような分解能の高い画像となり,微細な構造もより明瞭となる。
超解像DLRのPIQEでは,Aquilion PrecisionのSHRモードで撮影された画像にFIRSTやAiCEを適用した高分解能かつ低ノイズな教師画像と,仮想的に低分解能化・高ノイズ化した入力画像をペアとしてDCNNのトレーニングに用いている。この学習ずみのDCNNに,通常解像度のCT装置(同社の「Aquilion ONE」)で撮影した画像を1回通すだけで,教師画像のような高分解能かつ低ノイズな画像を出力することが可能となる(図1)。
図1 PIQEの概要
2.画質評価
AIDR 3D,FIRST,AiCE,PIQEについて,ノイズ特性(NPS),画像ノイズ(SD),空間分解能(MTF)を比較した。
水ファントムを用いてNPSを比較したところ,粒の粗い低周波ノイズはPIQEにて最も低減されており,AiCEよりも低減効果が高かった(図2)。
次に,上行大動脈,左心房,心室中隔にてSDを計測したところ,PIQEはAiCEよりも高いノイズ低減効果を認めた(図3)。
MTFは通常,ファントムを用いて計測するが,今回われわれは臨床画像にてエッジ法を用い,左心室内腔と心筋の境界で計測を行った。エッジに直交する方向のプロファイルカーブを測定し,各再構成画像のMTFを算出した。図4 左は再構成法の違いによるMTFの比較,図4 右は,上が2% MTF,下が10% MTFであるが,PIQEはFIRSTよりも高い空間分解能を示している。
図2 NPSの比較
図3 SDの比較(n=15)
図4 MTFの比較
冠動脈CTの画像提示
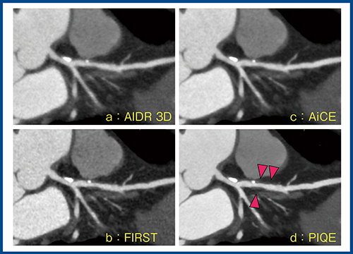
図5の症例は,左前下行枝(LAD)近位部に偏心性のプラークを認める。PIQE(d)では,ほかの再構成法と比較して血管の鮮鋭度が増しており,プラークの存在をよりはっきりと確認できる(▲)。
図6は冠動脈ステントの症例であるが,PIQE(d)ではステントのストラットがより明瞭であり,血管内腔も広く描出されている。同じ部位でプロファイルを計測すると,PIQEはほかの再構成法と比較して最も分解能が高いことがわかる。
図7は冠動脈末梢のMPR画像であるが,PIQE(d)では,AIDR 3D(a)やAiCE(c)と比べてより末梢まで描出されている(○)。FIRST(b)でも描出されているが,PIQEの方がより明瞭である。
図8は陳旧性心筋梗塞症例で,心尖部に小さな梗塞を認める(▼)。すべての画像で梗塞を指摘できるが,PIQE(d)ではノイズが大きく低減され,梗塞部がより明瞭である。
図9はBMI 38.7の高体重症例である。相対的に線量不足となっているが,PIQE(d)では画質が著明に改善し,SDもAIDR 3D(a)の45.0HUに対し,20.8HUまで低下している。冠動脈のcurved MPRにおいても,PIQEでは画質が大きく改善し,読影に耐えうる画像であった。
なお,各画像再構成法における心臓CT 640スライスの再構成時間を比較したところ,AIDR 3Dは約20秒,AiCEは約45秒,PIQEは約1分45秒,FIRSTは約4分30秒であった。PIQEは,FIRSTの約1/3の時間で再構成可能である。
図5 冠動脈プラークの描出
図6 冠動脈ステントの描出
図7 冠動脈末梢の描出
図8 陳旧性心筋梗塞の描出
図9 高体重症例(BMI 38.7)における画質改善
まとめ
PIQEは,Deep Learningを用いて従来画像を高分解能化する新たな画像再構成法である。冠動脈CTにおいては,FIRSTより高分解能,AiCEより低ノイズを実現しており,PIQEはFIRSTとAiCEの利点を併せ持つ画像再構成法であると言える。
*記事内容はご経験や知見による,ご本人のご意見や感想が含まれる場合があります。
*AiCE,PIQEは画像再構成処理の設計段階でDeep Learning技術を用いており,本システム自体に自己学習機は有しておりません。
一般的名称:全身用X線CT診断装置
販売名:CTスキャナ Aquilion Precision TSX-304A
認証番号:228ACBZX00019000
一般的名称:全身用X線CT診断装置
販売名:CTスキャナ Aquilion ONE TSX-306A
認証番号:227ADBZX00178000
- 【関連コンテンツ】
