骨の経時差分を用いた転移性骨腫瘍検出の試み〜CT読影業務の負担軽減をめざして〜
井石龍比古(医療法人住友別子病院 放射線IVR科)
Session2 Healthcare IT
2022-6-24
本講演では,キヤノンメディカルシステムズが提供する読影支援ソリューション「Abierto Reading Support Solution(Abierto RSS)」のアプリケーション“Bone Subtraction”を用いたCT読影業務の負担軽減について報告する。
放射線科医における業務量の増加
放射線科医の日常診療業務は年々増加している。日本放射線科専門医会・医会(JCR)が2021年12月に公表したデータでは,2019年の社会医療診療行為別統計における画像診断の回数が2009年から1.26倍に増加していた。また,画像診断装置の進歩により,2017年における1検査あたりの画像数は2010年と比較して約2倍となり,短期間で飛躍的に増加した。特に,CTの読影業務が多く,放射線科医の実際の業務量は2.5倍に膨らんでいる。
当院の場合,日常診療業務の中で最も多いのは担がん患者のフォローアップCTの比較読影である。特に,骨の読影が負担となっている。骨は全身に存在しているため,読影する範囲が広く,当院では骨条件の画像を必要に応じて作成してもらうので待ち時間も発生する。そのため,読影ビューワの階調処理を行うことで対応する場合もある。さらに,骨は横断像だけでは観察しにくく,骨条件では病変を検出するのが困難なこともある。
このようなことから,当院では,画像ビューワ上でMRIの同一検査内でのサブトラクションなどの画像処理を行い,病変を検出しやすくすることを試みてきた。しかし,CTの比較読影の負担が大きいため,CT検査の現在画像と過去画像のサブトラクションを検討してみたが,CT画像のサブトラクションは過去画像とのフュージョンでミスレジストレーションが生じるため,変化を描出することが困難であった。
Bone Subtractionの原理とワークフロー
当院では,キヤノンメディカルシステムズのAbierto RSSのアプリケーションであるBone Subtractionを使用する機会を得た。Bone Subtractionでは,まず今回画像と過去画像の骨領域強調処理が行われた後,線形位置合わせ処理を経てlarge deformation diffeomorphic metric mapping(LDDMM)法による非線形位置合わせ処理へと進む(図1)。さらに,骨に関係する差分だけを行うために骨の強調処理が実行され,その上で適応的差分処理により骨の性状変化だけを強調して表示する。LDDMM法は,今回画像に過去画像を重ね合わせる際に起こりやすい変形の裏返りが発生しないというメリットがある。また,同一の被検体を撮影した場合でも離散化アーチファクトが生じるが,Bone Subtractionでは適応的差分処理技術である“Adaptive Voxel Matching”により,これを低減し,病変を明瞭に描出する。
Abierto RSSのシステム概要を説明する。まず,CTからPACSとAbierto RSSの“Automation Platform”に対象画像が転送される。Automation Platformでは,受信した対象画像の過去データをPACSから取得すると,Bone Subtractionが起動して差分処理が行われ,その解析結果がPACSに転送される。ユーザーは“Worklist”画面から解析処理の進捗状況や解析アプリケーション,検知の有無などの確認を行える。さらに,リスト上から検査を選択すると,“Findings Workflow”が起動して解析結果を閲覧できる。Findings WorkflowでのBone Subtractionの解析結果は,左上に過去画像,右隣に今回画像,左下にサブトラクション画像,右隣にフュージョン画像,一番右に3Dフュージョン画像が表示され,CT値の増減が青と赤で表示される。3Dフュージョン画像にて任意の部位を選択すると,横断像がそのスライス位置に切り替わる。また,横断像は冠状断像,矢状断像への切り替えも容易で,骨条件にウインドウ値を変更することも可能である。
図1 Bone Subtractionの技術の特徴
〔画像提供:キヤノンメディカルシステムズ(株)〕
症例提示
症例1は,60歳代,男性の前立腺がんで,ホルモン療法休薬中である。多発骨転移があり,3Dフュージョン画像では,椎体に骨病変が多発していることがわかる(図2)。本症例は右大腿骨にも転移があり,硬化性変化が認められた。
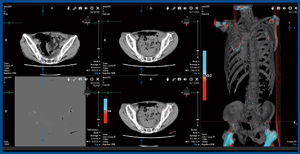
症例2は,80歳代,男性の前立腺がんで,ホルモン療法中である。3Dフュージョン画像では,L1の圧迫骨折に目が行くが,左仙骨にも転移が見られ,さらに左第8肋骨にも溶骨性変化が認められ,新たな転移が生じていることがわかる(図3)。通常のCTでは気づくのが困難な病変であるが,Bone Subtractionにより検出することができた。
変化に乏しかった症例も示す。症例3は70歳代,男性の前立腺がんで,ホルモン療法中である。左座骨に転移があり,転移性変化が認められていたが,1か月の経過観察では変化が見られず検出が困難であった。そこで,6か月前の過去画像を使用してBone Subtractionを施行したところ,微細な変化を検出することができた(図4)。
また,変化があるものの気づきにくかった症例も提示する。症例4は,70歳代,男性の尿管がんで,左腸骨に溶骨型転移が認められた(図5)。しかし,3Dフュージョン画像では周囲に強いアーチファクトがあり,サブトラクション画像の方が病変に気づきやすいと思われた。3Dフュージョン画像でアーチファクトが生じやすい部位としては,動きの大きな肩甲骨や上腕骨,大腿骨などがある。そのほか,転移との鑑別が困難だったものとして,脊椎の圧迫骨折やSchmorl結節,肋骨の良性骨折,肋軟骨の骨化などがある。さらに,転移の頻度は多くないものの左肩甲骨に転移が見られた症例も経験しており,画像にアーチファクトが生じている場合は,病変に気づきにくくなる可能性がある。
図2 症例1:60歳代,男性,前立腺がん
図3 症例2:80歳代,男性,前立腺がん
図4 症例3:70歳代,男性,前立腺がん
図5 症例4:70歳代,男性,尿管がん
考 察
Bone Subtractionでは,LDDMM法などの高度な位置合わせ技術に,適応的差分処理といったノイズ除去技術が組み合わされ,高精度のサブトラクション画像が得られている。これにより,さまざまな骨病変が明瞭に描出できている。また,Bone SubtractionはFDG-PETや骨シンチグラフィと異なり,CT画像をベースとしているため,溶骨型,造骨型どちらの転移も描出が可能である。当院では,サブトラクション画像がなければ検出が困難であったと思われる症例も経験しており,特に3Dフュージョン画像で病変の見当をつけられるのは大きなメリットだと考える。
読影における経時サブトラクション画像の有用性については,過去に検討が行われており,感度が有意に上昇し,平均読影時間も優位に短縮したという結果が報告されている1)。また,骨転移のある50例とない50例の計100例を18人の放射線科医が読影した後ろ向き大規模観察研究では,サブトラクション画像を用いることで感度が有意に上昇した2)。なお,被験者である放射線科医の多くは,サブトラクション画像を用いた方が自信を持って診断ができ,有用性を感じたと評価している。これらの文献は,いずれもCTの元画像とサブトラクション画像だけで読影を行っており,3Dフュージョン画像を加えることで,読影時間の短縮など,さらなる有用性が期待される。
一方,われわれが評価を行った時点で診断しにくかった病変・部位としては,縦隔や肋骨,骨盤骨などの複雑な立体構造に隠れた病変,椎体や関節の退行性変化(OA)に隠れた病変,肩甲骨や四肢など大きな位置ズレによるアーチファクトに紛れた病変,椎体の圧迫骨折などの良性の陳旧性骨折がある。また,現時点では頭蓋骨は対象外となっている。
これらを踏まえた今後の課題としては,位置ズレによるアーチファクトのさらなる除去,対象部位の拡大,微少な変化の描出,3Dフュージョン画像の動作の高速化がある。現状,直近の前回検査とのサブトラクションを設定しているが,前回検査の検索期間が過去2週間からとなっているため,微少な変化の描出に関しては変化がわかりづらいこともある。今後は過去2週間から10年の間で任意に設定可能となるとのことである。
まとめ
本講演では,当院で撮影したCT画像をBone Subtractionで解析した経験を報告した。Bone Subtractionは,LDDMM法などの高度な位置合わせ技術に,適応的差分処理などのノイズ除去技術が組み合わされ,非常に明瞭なサブトラクション画像を得られる。過去の文献でもすでに骨のサブトラクション画像の有用性が示されているが,3Dフュージョン画像などが加わることにより,さらに有用性が向上すると期待される。
*記事内容はご経験や知見による,ご本人のご意見や感想が含まれる場合があります。
●参考文献
1)Sakamoto, R., et al., Radiology, 285(2) : 629-639, 2017.
2)Onoue, K., et al. Scientific Reports, 18422, 2021.
一般的名称:汎用画像診断装置ワークステーション用プログラム
販売名:汎用画像診断ワークステーション用プログラムAbierto SCAI-1AP
認証番号:302ABBZX00004000
- 【関連コンテンツ】
