究極のCT画像へ:腹部領域における超解像Deep Learning Reconstructionの可能性
中村 優子(広島大学大学院医系科学研究科放射線診断学研究室)
Session 1 高精細イメージング・超解像ADCT
2023-12-25
CT画像の画質を左右する要素には,画像ノイズ,空間分解能,アーチファクト,コントラスト分解能があるが,ノイズと空間分解能に話を特化した場合,ノイズが低く,かつ空間分解能の高い画像が理想的である。一方,ノイズと空間分解能はトレードオフの関係にあり,スライス厚を薄くすれば空間分解能が向上し,微細な構造物が明瞭となるものの,ノイズが増加するため,限られた被ばく線量ではノイズと空間分解能の両方を追究することは難しい。こうした状況の中で開発された,キヤノンメディカルシステムズの超解像画像再構成「Precise IQ Engine(PIQE)」は,腹部CTの画質改善におけるブレイクスルーになりうると考える。本講演では,CTによる腹部画像診断の現状を述べた上で,腹部CTにおけるPIQEの可能性について考察する。
■CTによる腹部画像診断の現状
1.腹部CTにおけるノイズの影響
さまざまなコントラストの病変を模したモジュールを封入したファントムを高線量と低線量で撮影し,腹部CTにおけるノイズの影響について検討したところ,低線量ではノイズが増加した。高コントラスト病変はノイズが増加しても明瞭に描出されたが,低コントラスト病変については,ノイズの増加に伴い不明瞭となった。したがって,低コントラスト病変を主なターゲットとする腹部CTにおいては,ノイズ低減が優先されることが多くなる。
2.ディープラーニングを用いたノイズ低減技術
ノイズ低減の一手法として,逐次近似応用再構成法(Hybrid-IR)やモデルベース逐次近似再構成法(MBIR)などの画像再構成法が用いられている。これらの技術で再構成した腹部CT画像をFBP法で再構成した画像と比較すると,Hybrid-IRではノイズが低減するが,MBIRでは特有のノイズが残存し,画質が改善するとは
言い難い。実際に,線量が不十分な場合,腹部のMBIR画像では低コントラスト病変の検出能は向上しないことが報告されている1)。
そこで登場したのがDeep Learning Reconstruction(DLR)で,キヤノンメディカルシステムズでは「Advanced intelligent Clear-IQ Engine(AiCE)」と呼称されている。AiCEでは,MBIRで再構成した高品質な教師画像と,同じ画像にノイズを付加するなどして劣化させた低品質な画像をペアにしてトレーニングされたネットワークを使用し,従来のCT画像から高品質なCT画像が得られる新しい画像再構成法である。
われわれは,乏血性転移性肝腫瘍の症例の門脈相の画像にHybrid-IRとAiCEを適用し,病変の描出能を検討したところ,AiCEではノイズが良好に低減され,病変が明瞭に描出されていることを確認した2)。
3.腹部領域の高精細CTにおけるAiCEの有用性
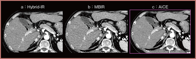
キヤノンメディカルシステムズの高精細CT「Aquilion Precision」は,最小スライス厚0.25mmと,従来の2倍のチャンネル数である1792chを実現した検出器を搭載したCT装置である。高分解能な画像が得られるため,骨の微細構造なども明瞭に描出することができる。一方,高精細CTは,従来のCTと比較して相対的に線量が不足するため,画像ノイズが増加し,診断に影響することがある。特に腹部領域においてはノイズの増加が顕著であるが,AiCEを適用することで回避することができる。
図1は肝臓のダイナミックCT動脈相の画像であるが,Hybrid-IR(a),MBIR(b)と比較して,AiCE(c)ではノイズが良好に低減しており,臨床に耐えうる画質が得られている3)。
図1 腹部高精細CTにおけるAiCEによる画質向上3)
■腹部CTにおけるPIQEの可能性
腹部CTにおいては空間分解能も重要である。例えば,スライス厚5mmの画像では境界不明瞭で囊胞と診断するのが難しい病変でも,スライス厚を薄くして空間分解能を向上すると病変の境界が明瞭となり,囊胞であると診断可能となる例を時に経験する。このことから,高い空間分解能は,腹部CTの診断能を向上する重要な要素であると言える。
一方,AiCEを用いることで良好なノイズ低減が得られるものの,空間分解能はMBIRの方がやや優れている。そこで,空間分解能が高く,かつノイズの少ない画像を教師画像としてネットワークをトレーニングすれば,ノイズ低減と空間分解能の向上を両立できるDLRが期待できるとの考えから,新たに開発されたのが超解像画像再構成PIQEである。
PIQEでは,まず高精細CTのSHRモードの画像の空間分解能をシミュレーションによって従来CTと同程度まで低下させ,ノイズを付加するなどして画質を劣化させた画像を作成する(図2 a)。次に,画質を劣化させた画像と高精細CT画像をペアにして,ネットワークをトレーニングする(図2 b)。このトレーニングされたネットワークを使用することで,従来CTの画像から,高空間分解能かつノイズの少ない画像の出力が可能となる(図2 c)。PIQEは,心臓領域ではすでにリリースされているが,現在当院にて体幹部におけるPIQE(PIQE Body)の検討を行っている。
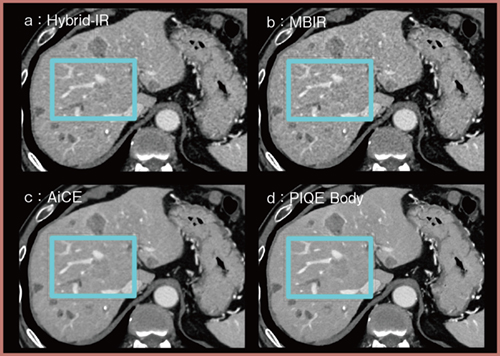
代表的な症例を提示する。図3は肝ダイナミックCT門脈相の画像であるが,PIQE Body(d)ではAiCE(c)と遜色のないノイズ低減が得られている。また,空間分解能も高く,一部を拡大すると(図4),PIQE Body(d)では血管の鮮鋭度が最も高く描出されており,腫瘍が血管に浸潤する様子も良好にとらえられている。
図2 PIQEの技術的な概要
図3 肝ダイナミックCT門脈相における画像比較
図4 図3の一部を拡大した画像
■まとめ
低コントラスト病変の多い腹部領域のCT画像においては,従来,ノイズ低減技術が優先されてきたが,PIQEを用いることで高分解能かつ低ノイズな画像が得られるようになった。PIQEの可能性を実感するとともに,腹部CTの画質のさらなる向上に期待したい。
*記事内容はご経験や知見による,ご本人のご意見や感想が含まれる場合があります。
*AiCE,PIQEは画像再構成処理の設計段階でAI技術を用いており,本システム自体に自己学習機能は有しておりません。
●参考文献
1)Euler, A., et al., Eur. Radiol., 27(12) : 5252-5259, 2017.
2)Nakamura, Y., et al., Radiol. Artif. Intell., 1(6) : e180011, 2019.
3)Akagi, M., Nakamura, Y., et al., Eur. Radiol., 29(11) : 6163-6171, 2019.
- 【関連コンテンツ】
