国産初のフォトンカウンティング検出器搭載型X線CTの最新状況
小林 達伺(国立がん研究センター東病院放射線診断科)
Session 2 次世代CTの可能性と今後
2023-12-25
国立がん研究センター先端医療開発センターおよび国立がん研究センター東病院とキヤノンメディカルシステムズは,2020年7月に締結した包括協定,ならびに同年11月に締結した共同研究基本契約に基づき,国産初のフォトンカウンティング検出器搭載型X線CT(PCD-CT)の共同研究を開始した。2022年12月にPCD-CTの薬機法認証を取得後,2023年4月から特定臨床研究を開始している。本講演では,PCD-CTの最新状況を報告する。
■PCD-CTの原理と特徴
キヤノンメディカルシステムズでは,Area Detector CT(ADCT)の開発と並行してPCD-CTの開発を進めていたが,半導体検出器モジュールの開発・製造を行っていたレドレン・テクノロジーズ社を2021年に子会社化したことで,PCD-CTの開発が一気に加速した。
従来のCT装置の検出器(energy integrated detector:EID)は,入射X線をシンチレータで光信号に変換し,それをフォトダイオードで電気信号に変換するのに対し,フォトンカウンティング検出器(photon counting detector:PCD)は,入射X線を半導体で受け取り,それを直接電気信号に変換している。変換された電気信号は,application specific integrated circuit(ASIC)と呼ばれる集積回路で,フォトンを1つ1つカウントしていく。EIDでは,入射X線を光信号に変換するためセパレータが必要となるが,PCDではX線を直接電気信号に変換するため,セパレータが不要となり,検出器の小型化や高分解能化が可能となるほか,フォトンを直接計測することで回路ノイズが除去され,線量効率の向上が見込まれる。
図1に,PCD-CTの特徴と期待される効果を示す。PCD-CTは,従来のCTの性能を有していることに加え,さらなる被ばく低減や高分解能化によって,X線CTの基本性能が向上することが期待される。また,物質弁別の実現によって,造影剤低減や新しい造影剤などのアプローチ,体内物質や薬剤などの定量的な弁別が可能になるなど,新しい臨床応用の可能性も期待できる。これらの効果によって,従来,高精細CTとdual energy CTの2台で行ってきたことが,PCD-CT1台で可能になると考える。
図1 PCD-CTの特徴と期待される効果
■PCD-CTの性能評価
1.従来CTとの比較
ADCTである「Aquilion ONE / ViSION Edition」をベースとしたPCD-CTの試作機と,Aquilion ONE / ViSION Edition(従来CT:EID-CT)の画質について検討した。スリットファントムを用いて空間分解能を比較したところ,PCD-CTのNRモードの画質はEID-CTとほぼ同等であるが,SHRモードではEID-CTよりもスリットが明瞭に描出された。
2.高精細CTとの比較
次に,高精細CT「Aquilion Precision」をベースとしたPCD-CTの試作機と,Aquilion Precision(EID-CT)の画質を検討した。スリットファントムの画像を比較したところ,PCD-CTではNRモードでもスリットがわずかに高分解能に描出されていた。
■PCD-CTの臨床画像供覧
撮影に用いたPCD-CTのスペックは,Aquilion Precisionベース,PCDはレドレン・テクノロジーズ社のCZT(CdZnTe)半導体検出器,撮影スライス厚:6mm×64列および0.2mm×192列,最速スキャン速度:0.35s/rot,X線管/焦点サイズ:0.4mm×0.5mm,FOV:500mmである。また,以下の画像はすべて,逐次近似応用再構成法「Adaptive Iterative Dose Reduction 3D(AIDR 3D)」を適用した。
●肺条件
肺条件・NRモードの画像を見ると,十分に良好な画像が得られているが,MPR画像ではややボケが生じる。また,NRモード(スライス厚0.6mm)とSHRモード(スライス厚0.2mm)の画像を比較したところ,アキシャル画像ではそれほど画質に差を認めないが,スライス厚1mmのMPR画像では,SHRモードの方が病変がより明瞭であった(図2)。
図2 肺条件におけるNRモードとSHRモードの比較
●血管系
図3は,腹部大動脈ステント留置後症例であるが,腸間膜動脈に留置されたステントがSHRモードにて明瞭に描出されている。
図3 腹部大動脈ステント留置後症例のSHRモードの画像
●頭頸部
頭頸部の中でも耳小骨は特に高精細画像が要求されるが,PCD-CTのSHRモード画像(スライス厚0.2mm)にて明瞭に描出可能である。さらに,MPR画像にて耳小骨の連結も明瞭に視認できる(図4)。
咽頭後壁がんの症例について,NRモード(スライス厚0.6mm)とSHRモード(スライス厚0.2mm)を比較した。SHRモードのアキシャル画像およびサジタル画像(図5)では,ややノイズが目立つものの,腫瘍内部の乳頭状の充実成分が明瞭に描出された。
また,喉頭がんの症例について,NRモード(スライス厚1mm)とSHRモード(スライス厚2mm)の画像を比較したところ,SHRモードでは画像を拡大しても病変が明瞭に描出された。
図4 SHRモードのMPR画像による耳小骨の連結の描出
図5 咽頭後壁がん症例におけるNRモードとSHRモードの比較(サジタル画像)
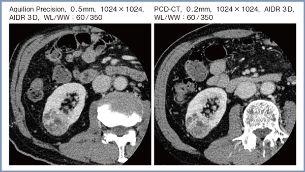
■Aquilion PrecisionとPCD-CTの画像比較
右腎腫瘍の症例にて,Deep Learning Reconstruction(DLR)の「Advanced intelligent Clear-IQ Engine(AiCE)」を適用したAquilion Precisionの画像と,AIDR 3Dを適用したPCD-CTの画像(共に1024×1024マトリックス,スライス厚5mm)を比較したところ,ほぼ同等の画質が得られた。また,AIDR 3Dを適用したAquilion Precision(スライス厚0.5mm)およびPCD-CT(スライス厚0.2mm)のthin slice画像を比較したところ,解像度はほぼ同等であった(図6)。なお,同じthin slice画像で,Aquilion PrecisionにはAiCEを適用したところ,ノイズが低減し良好な画質が得られた。ここからわかるとおり,DLRの画質改善効果は高く,PCD-CTにおいても有効性が期待される。
図6 右腎腫瘍におけるAquilion PrecisionとPCD-CTのthin slice画像の比較
■まとめ
PCD-CTは現時点で,Aquilion Precisionとほぼ同等の高精細画像を提供することができている。今後は,DLRの併用やSpectral解析の適用などのさらなる発展が期待される。
*記事内容はご経験や知見による,ご本人のご意見や感想が含まれる場合があります。
*AiCEは画像再構成処理の設計段階でAI技術を用いており,本システム自体に自己学習機能は有しておりません。
一般的名称:全身用X線CT診断装置
販売名:CTスキャナ TSX-501R
認証番号:304ACBZX00019000
- 【関連コンテンツ】
