Aquilion ONE / INSIGHT Edition の初期使用経験
山口 仰(北海道大学病院 医療技術部放射線部門)
CT Session
2024-6-25
北海道大学病院では,3台のCT装置のうち2台を更新し,2023年8月にはキヤノンメディカルシステムズの高精細CT「Aquilion Precision」を導入,同年10月には最新機種である「Aquilion ONE / INSIGHT Edition」が先行導入された。本講演では,Aquilion ONE / INSIGHT Editionに搭載されたさまざまな技術の特長を報告する。
Aquilion ONE / INSIGHT Editionの特長
1.新コンソールに搭載された自動化技術「INSTINX」
一新されたコンソールには,人工知能(AI)を活用した自動化技術INSTINXが搭載された。コンソールのモニタには27インチのワイド液晶モニタが採用されたほか,CT検査のワークフローが検査の流れに沿って左から右へ時系列で表示されるため,シンプルで直感的な操作が可能である。再構成キューは,サブコンソールでも参照可能で,参照時に再構成が停止しないことも利点である。また,再構成の順番の変更も容易に可能となった。
2.ワークフローの効率化を支援する「3D Landmark Scan」
3D Landmark Scanは,ヘリカルスキャンで位置決めデータを収集し,得られたデータより,AI技術を用いて骨や臓器,筋肉などの位置情報を解析し,プリセットされた撮影範囲を自動で設置する「Anatomical Landmark Detection(ALD)」を搭載している。「SilverBeam Filter」によって,従来の1方向のスカウト撮影と同等の低線量で正面・側面2方向の画像を取得できる。アキシャル画像を基に本スキャンのFOVの設定が可能なため,整形領域においてFOVを再設定し再構成し直す必要がなくなった。また,モニタリング用のROI設定も可能である。
3.新型検出器+新型X線管
新型検出器の最大の特長として,電気ノイズが従来比で約40%低減されたことが挙げられる。図1は,同社の従来CTとAquilion ONE / INSIGHT Editionの画像比較で,共に「Adaptive Iterative Dose Reduction 3D(AIDR 3D)」使用,5mmSD:11で肝実質を撮影し,それぞれのSDを計測した。AIDR 3Dを用いた場合のSD値は両装置とも同等であるが,Aquilion ONE / INSIGHT Editionの画像にDeep Learning Reconstruction(DLR)を適用することでSD値が向上し,特に「Precise IQ Engine(PIQE)」では5.59にまで向上していた。また,CTDIvolは従来CTの6.9mGyに対し,Aquilion ONE / INSIGHT Editionでは3.6mGyと,大幅な被ばく低減が可能であった。
新型X線管「CoolNovus」は,液体金属ベアリングを使用することで,ベアリング部分の負荷軽減とターゲット高速回転の実現により,X線管の出力が強化された。最大出力1400mAで70kVの撮影が可能となった。これにより,きわめて高体重(163kg,BMI:60.6)な患者の撮影においても,ノイズが少なく,依頼医の期待に応える画像が得られた。
図1 従来CTとAquilion ONE / INSIGHT Editionの画像比較
AiCE:Advanced intelligent Clear-IQ Engine
4.ガントリ回転速度の向上
ガントリ回転速度は,最速0.24秒にまで高速化した。
図2は,ファロー四徴症疑いの小児における心電図同期CT画像である。本症例は110bpmと高心拍であるが,0.24s/rotのハーフ再構成を用いることで,心室中隔欠損,肺動脈弁下部狭窄,左肺動脈屈曲部の狭小化,動脈管開存を画像のブレなく明瞭に描出可能であった。
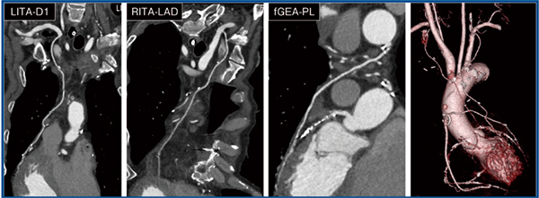
また,Aquilion ONE / INSIGHT Editionでは,160列での高速ヘリカル撮影(0.24s/rot,HP:215)によって,成人男性の体幹(胸部〜骨盤)を2〜2.5秒で撮影可能である。図3は冠動脈バイパス術(CABG)後評価目的のCT angiography(CTA)である。従命・息止め困難なため心電図非同期での高速ヘリカル撮影を行ったところ,CABGルートをほぼブレなく撮影可能であった。従来CTで同等の画像を取得するのは困難と思われ,Aquilion ONE / INSIGHT Editionの威力を実感した一例である。
図2 ファロー四徴症疑い症例の心電図同期CT画像(1歳,女児)
図3 CABG後評価目的のCTA
5.超解像再構成PIQEの評価
PIQEは,Aquilion Precisionで撮影された高精細画像を教師データとして用いることで,「Aquilion ONE」などの通常解像度のCT画像から教師画像のような高解像度画像を出力する技術である。Aquilion ONE / INSIGHT EditionではPIQEの適用領域が拡大し,「PIQE Body」を使用可能となった。
当院にて,PIQE Bodyの基礎的物理評価を行った。Catphanファントムを用い,120kV,50mA,1s/rot,512マトリックス,FOV:220mmの条件で,FBP,AIDR 3D,Forward projected model-based Iterative Reconstruction SoluTion(FIRST),AiCE,PIQE(512マトリックス),PIQE(1024マトリックス)の分解能を評価したところ,PIQE(1024マトリックス)が最も高分解能であった。FOV:500mmにおいても同様の結果を示した。
次に,直径20cmの水ファントムに直径5cmのアクリル円柱を設置して,120kV,1s/rot,50mA固定にてFOVを240〜500mmまで変化させながらTTFを測定し,512マトリックスでのAiCEとPIQEにおけるFOV依存性を比較したところ,PIQEの方がFOVの影響を大きく受けていた。AiCEとPIQEのTTFの差はFOV:240mmで最も大きく,PIQEの方が高分解能であるが,FOVが大きくなるに従ってその差は徐々に縮まり,FOV:450mm以上ではほぼ同等となった。さらに,FOV:500mmにおける512マトリックスのAiCEとPIQEのTTFの値をPIQE(1024マトリックス)の値と比較したところ,PIQE(1024マトリックス)の方が高く,より高分解能であることが示された。
続いて,管電流の影響について評価した。上記と同じ水ファントムを使用し,120kV,1s/rot,FOV:320mm固定にて,管電流を840〜10mAsまで徐々に下げながらFBP,AiCE,PIQE(512マトリックス)のTTFを測定した。PIQEは,50mAsまでは最も高値でmAs値による変化もほぼ認めなかったが,その後急速に値が低下し,10mAsではFBPの値を下回った。AiCEも同様の傾向を示し,25mAs以下で最も低い値となった。以上より,極端に線量を低下させると画質に影響を与えるため,注意が必要と考える。
NPSについて再構成関数の違いを検討した。直径30cmの水ファントムを使用し,120kV,1s/rot,50mA固定,FOV:320mm固定にて,FBP,AIDR 3D,FIRST,AiCE,PIQE(512マトリックス)のNPSを測定したところ,低周波ノイズはPIQEが最も抑制されており,また,高周波ノイズについてはAiCEよりもPIQEの方が値が高かった。
図4は,前述の超高体重患者における,異なる再構法による画像比較である。PIQEはSD:9.16と最もノイズ抑制効果が高く,分解能を維持したままノイズが抑制されていることがわかる。
図4 異なる再構成法による画像比較
まとめ
Aquilion ONE / INSIGHT Editionは,ハードウエアを一新し,AIを活用したさまざまな技術を搭載したことで,シンプルかつ直感的な操作性やワークフローの効率化,撮影の高速化,画質向上,被ばく低減を実現している。今後は症例を重ね,さらなる検討を進めていきたい。
*記事内容はご経験や知見による,ご本人のご意見や感想が含まれます。
*本記事中のAI技術については設計の段階で用いたものであり,本システムが自己学習することはありません。
一般的名称:全身用X線CT診断装置
販売名:CTスキャナ Aquilion ONE TSX-308A
認証番号:305ACBZX00005000
- 【関連コンテンツ】
