最新の心臓CT技術:心筋評価の最前線
加藤 真吾(横浜市立大学大学院医学研究科放射線診断学教室)
2024-11-25
心臓CTは,冠動脈の高精度な形態評価はもとより,心筋機能や組織性状の評価などへの応用も可能である。本講演では,キヤノンメディカルシステムズの320列Area Detector CT(ADCT)「Aquilion ONE / PRISM Edition」に搭載されているDeep Learning Reconstruction(DLR)の「Advanced intelligent Clear-IQ Engine(AiCE)」と「Precise IQ Engine(PIQE)」が心臓CTにもたらす有用性を報告する。
■遅延造影CTへのPIQEの応用
PIQEは,高精細CT「Aquilion Precision」の高精細データによって実現した超解像画像再構成技術で,ADCTの画像を高分解能化することができる。冠動脈ファントムを用いて,hybrid IRである「Adaptive Iterative Dose Reduction 3D(AIDR 3D)」,model-based IRである「Forward projected model-based Iterative Reconstruction SoluTion(FIRST)」,AiCE,PIQEで再構成した画像の画質を比較した結果,PIQEで最もノイズが低減し,高精細な画像が得られた。定性(視覚)評価でも,血管の鮮鋭性,粒状性,視認性のすべての項目でPIQEが最も優れていた。
当施設では,心筋の評価にもPIQEを用いている。遅延造影CTに適用したところ(図1),PIQEにて最もノイズが低減され,心筋が明瞭に描出された(d)。
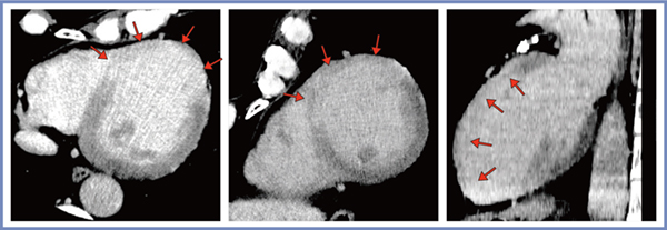
実際の症例を提示する。症例1は左室前壁の陳旧性心筋梗塞症例で,PIQEにて梗塞が高吸収域として明瞭に描出されている(図2↓)。症例2は60歳代,男性,狭心症疑い症例(図3)で,心臓CTにて左冠動脈前下行枝の高度狭窄と心尖部に構造物を認めた(a)。遅延造影CTでは,梗塞を示す白い領域の表面に黒い領域が描出され(図3 b↑),超音波検査にて心尖部の血栓が確認された(c↑)。
図1 画像再構成法による画質の比較(遅延造影CT)
図2 症例1:陳旧性心筋梗塞症例のPIQEの画像
図3 症例2:狭心症疑い
■CT-ECVによる心アミロイドーシスの診断
心筋線維化には,(1) 間質へのコラーゲン沈着を主とする反応性線維化,(2) 間質にアミロイドーシスなどの病的物質が沈着する浸潤性間質性線維化,(3) 心筋梗塞などの細胞死を伴う瘢痕である置換性線維化がある。これらのうち,置換性線維化は限局性の病変のため,通常の遅延造影CTなどで評価が可能だが,反応性線維化や浸潤性間質性線維化はびまん性の淡い病変であり,遅延造影CTでの評価は困難である。しかし,これらの線維化は,細胞外液分画(extracellular volume fraction:ECV)で評価可能である。
ECVは,病理所見のコラーゲン蓄積量や予後との相関が明らかになっており,心臓MRIを用いたECV評価(MRI-ECV)ではさまざまな心筋症の鑑別が可能である。また,ECVは心臓CTからも算出可能で,CT-ECVはMRI-ECVより短時間で評価できるため臨床応用が容易である。われわれが行ったメタ解析の結果,CT-ECVとMRI-ECVは非常に高い相関(相関係数=0.91)があり,両者の値は平均差0.16%でほぼ一致していた1)。
さらに,CT-ECVは心アミロイドーシスで著明な高値を示すため,診断的価値が非常に高い1)。心アミロイドーシスには,トランスサイレチン(ATTR)型(遺伝性または野生型)と免疫グロブリン(AL)型があり,特にHFpEF(左室駆出率が保たれた心不全)や大動脈弁狭窄症(AS)の患者に潜在的に多く存在し,一般に予後は不良とされる。しかし,ATTR型に対する新たな治療薬(タファミジス)が開発され,予後の改善が示されていることから,画像診断による早期診断や早期治療介入が重要となる。
心アミロイドーシスの画像診断には,MRI,CT,骨シンチグラフィが用いられる。症例3は,冠動脈疾患の精査目的で冠動脈CTを行った症例で,CT-ECVが診断のきっかけとなった一例である。CT-ECVの値は正常値(0.30未満)の約2倍に当たる0.68という高値を示し(図4),MRI-ECVでも0.66と,ほぼ同等の値を示した。本症例は,ピロリン酸シンチグラフィや心筋生検でもアミロイド陽性となり,野生型のATTR型心アミロイドーシスと診断された。
図4 症例3:冠動脈疾患の精査目的で冠動脈CTを施行した症例
■CT-ECVの新たな展開
心アミロイドーシスは偶発的に発見されるケースがあり,欧米のデータでは,HFpEFと診断された患者の約14%に心アミロイドーシスが,また,経カテーテル大動脈弁置換術(TAVI)を施行したAS患者の16%にATTR型心アミロイドーシスが認められたという報告もある。ASと心アミロイドーシスはいずれも高齢者に多く,心肥大を呈するため,両者が判別されていない可能性が高いと考えられる。そこで,TAVIで必須のプランニングCTに造影CTを追加し,CT-ECV評価を行うことで重症AS患者に潜在するアミロイドーシスを評価できる可能性が高いことが報告されている。CT-ECVの心アミロイドーシスに対する診断能は,サマリーAUCが0.94と非常に高く,ASと心アミロイドーシスのCT-ECVの値には有意差があることから,TAVI術前のCT-ECV追加は非常に有用と言える1)。
一方,CT-ECVの計算に用いるヘマトクリット値の測定には採血を必要とし,日によってデータにバラツキが見られるという課題がある。しかし近年では,単純CT値からヘマトクリット値を予測する合成ヘマトクリット値を基にECV値を計算する合成ECVが提唱されている。また,合成ECVは,ヘマトクリット値を用いたECVと良好に相関することが報告されている。
合成ECVは,単純CTで合成ヘマトクリット値を推測し,さらに,合成ヘマトクリット値から合成ECVを予測する,という2段階で行う手法のため,より高画質な画像が必要となる。当施設で,合成ECVについてAIDR 3D,FIRST,AiCE,PIQEの4つの再構成法を用いて検討した結果,従来法のECV(Lab ECV)と合成ECVの相関は高く,特にPIQEで良好な一致を示した(図5)。これは,PIQEの画像が最も高画質であったためと考えられる。
図5 画像再構成法ごとの従来法のECV(Lab ECV)と合成ECVの相関
■まとめ
心臓CTによる心筋評価においては,DLRであるPIQEを用いることでノイズの少ないクリアな遅延造影CT画像が得られ,診断に役立つと考える。また,PIQEはCT-ECVの計算にも有用であり,特にアミロイドーシスの診断への活用が期待される。
*記事内容はご経験や知見による,ご本人のご意見が含まれます。
*本記事中のAI技術については設計の段階で用いたものであり,本システムが自己学習することはありません。
●参考文献
1)Kato, S., et al., JACC Cardiovasc. Imaging,
17(5): 516-528, 2024.
一般的名称:全身用X線CT診断装置
販売名:CTスキャナ Aquilion ONE TSX-306A
認証番号:301ADBZX00028000
- 【関連コンテンツ】
