胸部画像診断における高精細画像の臨床知見
中園 貴彦(佐賀大学医学部附属病院放射線部)
2024-11-25
当院では,2023年12月にキヤノンメディカルシステムズの「Aquilion ONE / INSIGHT Edition」を導入し,2024年4月からDeep Learningを応用した技術として,超解像画像再構成技術「Precise IQ Engine(PIQE)」の胸部領域のパラメータである「PIQE Lung」と,新しい体動補正技術「CLEAR Motion」の使用を開始した。本講演では,これら2つの技術の使用経験を,臨床例を踏まえて報告する。
■臨床例へのPIQEの適用
症例1(図1)は80歳代,女性,慢性線維化性間質性肺炎症例で,Hybrid IRの「Adaptive Iterative Dose Reduction 3D(AIDR 3D)」(a),Deep Learning Reconstruction(DLR)の「Advanced intelligent Clear-IQ Engine(AiCE)」(b),PIQE(c)の,それぞれスライス厚1mmの画像を比較している。PIQEにて最もノイズが低減されており,上葉の軽微な気腫性変化や胸膜直下の網状影がより明瞭である。当院ではZ軸の分解能を上げるために,スライス厚0.5mmにSR処理をかけている〔以下,0.5mm(SR)〕。PIQEと組み合わせることで,図2 a上段のように低ノイズの高解像度画像が得られ,蜂巣肺や牽引性気管支拡張,肺野の気腫性変化も明瞭に描出されている。肺底部レベルの画像(図2 a下段)では,右肺底部の蜂巣肺内にfungus ballを認めた。また,当院では,びまん性肺疾患の病変分布や経時的変化の評価にMPRを利用しているが,図2 b,cはノイズが少なく,下肺野優位の蜂巣肺や網状影,上肺野優位の気腫性変化が明瞭に描出されている。
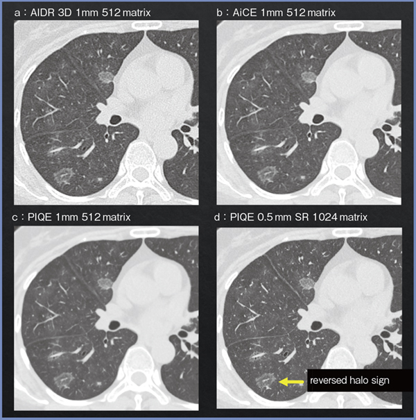
症例2は,50歳代,女性,甲状腺がん化学療法後の薬剤性肺障害疑いの症例である。AIDR 3D(図3 a)やAiCE(b)の画像と比較しPIQE(c,d)では,びまん性および斑状のすりガラス影が明瞭であり,斑状すりガラス影の辺縁には高吸収域(reversed halo sign:←)を認める。特に,0.5mm(SR)画像では,これらの所見がより明瞭である(図3 d)。MPRでも同様の所見を認めた。
症例3は10歳代,男性,急性リンパ芽球性白血病治療後に肺胞蛋白症を合併した症例である。両肺にびまん性すりガラス影が見られ,その内部に網状影を認め,いわゆるcrazy-paving appearanceを呈していた(図4)。AiCE(図4 b)ではすりガラス内部の網状影が若干不明瞭であったが,PIQE(c)では非常に明瞭に描出されている。MPRでは,すりガラス影と正常肺が小葉単位で近接しており,すりガラス影が汎小葉性分布を呈していることが明確に把握できた。
梁川らは,Aquilion Precisionの2048マトリクス,0.25mmスライス厚の画像を用いた浸潤性肺腺癌と上皮内腺癌のCT所見の検討において,多変量解析では細気管支透亮像の途絶と充実部径0.8cm以上が上皮内腺癌から浸潤性肺腺癌を区別する因子であると報告しており1),高精細CTが肺腺癌の悪性度を鑑別する一助となる可能性を示唆している。PIQE 1024マトリクス画像でも,肺結節の診断において付加情報が得られる可能性があると期待している。
図1 症例1:慢性線維化性間質性肺炎
図2 症例1のPIQEの0.5mm(SR)のアキシャル画像とMPR画像
図3 症例2:甲状腺がん化学療法後の薬剤性肺障害疑い
図4 症例3:急性リンパ芽球性白血病治療後の肺胞蛋白症合併
■CLEAR Motionの活用
CLEAR Motionは,人工知能(AI)を活用したDLRによって肺野領域のモーションアーチファクトを低減する技術である。高速ヘリカルスキャンやAiCE,PIQEと併用することで,被ばく低減や高画質の取得が可能となり,心拍動によるアーチファクトの低減が期待できる。
症例4は60歳代,男性,間質性肺炎の症例である。通常のPIQEの画像(図5 a)は心拍動によって心臓や気管支,血管のブレを認めるが,CLEAR Motionを適用した画像(b)ではブレが軽減され,下肺野の網状影やすりガラス影が評価しやすくなっている。
図5 例4:間質性肺炎症例へのCLEAR Motionの適用
■まとめ
PIQEを用いることで,肺野領域において低ノイズかつ高精細な画像が得られ,特にびまん性肺疾患の微細な病変の性状や分布,肺腫瘤性病変の辺縁および内部性状の評価に有用と思われる。特にPIQE 1024マトリクス画像は,拡大表示した際に従来の画像との画質の差を実感する。また,CLEAR Motionは,心拍動による下肺野のアーチファクトを高い確率で低減可能であり,今後,さらなる検討を進めていきたい。
*記事内容はご経験や知見による,ご本人のご意見が含まれます。
*本記事中のAI技術については設計の段階で用いたものであり,本システムが自己学習することはありません。
●参考文献
1)Yanagawa, M., et al., Radiology, 297(2) : 462-471, 2020.
一般的名称:全身用X線CT診断装置
販売名:CTスキャナ Aquilion ONE TSX-308A
認証番号:305ACBZX00005000
- 【関連コンテンツ】
