国産マグネットとPIQEがもたらす3T MRIの新たな展望
山城 尊靖(医療法人協和会 箕面市立病院 放射線部)
MRI Session
2025-6-25
箕面市立病院では,3T MRIの更新として,2024年4月にキヤノンメディカルシステムズの3T MRI「Vantage Galan 3T / Supreme Edition」を導入した。主な選定理由としては,(1) 新型マグネットの性能,(2) 超解像画像再構成技術「Precise IQ Engine(PIQE)」への期待,(3) 操作性の良さ,(4) ボア内に投影された映像によって安心な検査空間を実現する「MRシアター」の4つが挙げられる。本講演ではこれらのうち,新型マグネットの性能とPIQEへの期待について,症例などを踏まえて報告する。
新型マグネットの性能
Vantage Galan 3T / Supreme Editionの最大の特長は,3T初の自社開発マグネットを採用したことである。1μ単位の高精度なコイル巻線の設計・製造などによって高い磁場均一性〔30cm DSV(diameter of spherical volume):0.05ppm〕を実現したほか,傾斜磁場コイルやプラットフォームも一新され,広い撮像領域(最大FOV:55×55×50cm)や安定した脂肪抑制画像が得られるようになった。single-shot echo planar imaging(EPI)の撮像でも,従来のマグネットに比べて有効FOVにおける画像の歪みが大幅に低減し,画質が向上している(図1)。
図2は乳がん術後の再発症例で,手術によって左右の乳房の形状が異なっている。MRIでは左右非対照の部位の描出が不良となることがあるが,新型マグネットを用いることで,T2強調画像(T2WI),造影像,拡散強調画像(DWI)のいずれも脂肪が良好に抑制され,歪みのない画像が得られている。なお,DWIの歪みは,「Reverse encoding Distortion Correction DWI(RDC DWI)」で低減することも可能である(図3)。
また,Vantage Galan 3T / Supreme Editionでは,2台のアンプによる独立RF送信と,4ポートでの給電を行う「Multi-phase Transmission」によって安定したRF送信が可能である。新型マグネットとの相乗効果によって,高体重の被検者の撮像でもRF送信のムラがなく明瞭な画像が得られる。
図1 Single-shot EPIにおける画像歪みの改善
従来のマグネットでは画像の下端(□)に歪みが生じているが,新型マグネットでは明瞭に描出されている。
図2 乳がん術後の再発症例における脂肪抑制効果
↓:術後変化,↓:乳がん再発部位
図3 RDC DWIによる歪み抑制効果(側脳室の類表皮囊胞)
超解像画像再構成技術(PIQE)への期待
キヤノンメディカルシステムズのDeep Learningを用いたノイズ低減(デノイズ)技術には,「Advanced intelligent Clear-IQ Engine(AiCE)」とPIQEの2種類がある。原理として,デノイズにおいてはAiCE,PIQE共に同様の処理を行うが,PIQEではさらに,zero-fill interpolation processing(ZIP)処理を行うことで画像の解像度を向上する。ZIP処理では通常,画像のボケやリンギングアーチファクトが生じることが問題となるが,PIQEでは,それらをDeep Learningを用いて除去することで高解像度画像の取得が可能となる。
図4は,AiCEとPIQEを適用した画像の比較である。従来,SNRを向上するためには加算回数を上げる必要があったが,撮像時間が長くなることが課題となっていた。そこで,AiCEを適用することで,撮像時間を延長することなく大幅なデノイズが可能となる(図4 a,b)。一方,もともとの撮像条件が不十分であったため,AiCEの画像では白質と灰白質のコントラストが不十分であるが,PIQEを適用することで,撮像時間を短縮しつつ,AiCEよりも高解像度かつコントラストに優れた画像が得られている(図4 c)。
図4 PIQEによるコントラストの改善
1.関節領域への応用
PIQEを用いることでSNRが大幅に向上するため,関節領域の撮像においては撮像時間の短縮と高分解能画像の取得の両立が可能となる。特に,PIQEと16chフレキシブルSPEEDERコイルは親和性が高く,当院では三角線維軟骨複合体(TFCC)損傷のプロトン密度強調画像(PDWI)を,スライス厚2mm,マトリクスサイズ0.1×0.1mmまで分解能を上げても45秒で撮像できている(図5)。T2WIやPDWI Fatsatなどでも同様の効果が得られており,PIQEはMRIにおけるトレードオフという概念を覆す技術であると考える。当院では,従来はTFCCのルーチン検査に約27分かかっていたが,PIQEの効果によって約11分にまで短縮できている。
図5 PIQE+16chフレキシブルSPEEDERによるTFCC損傷のPDWI
2.骨盤領域への応用
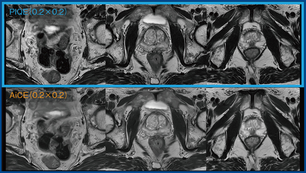
前立腺MRIの撮像はPI-RADSに準拠して行うが,推奨条件が厳しく,表面コイルを用いた撮像ではSNRが不十分となる。AiCEを適用すればSNRは改善するものの撮像時間は4分以上かかるが,PIQEを適用して周波数方向のマトリクスサイズやバンド幅,エコースペース,SPEEDER factorなどを調整することで,SNRを維持しつつ,撮像時間を3分以下に短縮できる。そのため,当院では現在,前立腺MRIのT2WIおよびDWIのすべてにPIQEを適用している。図6は実際の画像であるが,PIQEの適用によって,腸管のモーションアーチファクトが低減し,前立腺の内腺や外腺のコントラストもより明瞭になっている。
女性骨盤においては3D撮像を用いるのが一般的であるが,エコートレインが長くなるためコントラストが低下する。そこで,当院では,PIQEを用いた2D thin -slice T2WI FSEの撮像にて3D法と同等の画像を得るための検討を行っている。実際の画像を比較すると,2D法は3D法よりも圧倒的にエコートレインが短いためコントラストが良好であった(図7)。MPR画像の比較でも同様であり,また,視覚評価の結果も,コントラスト,SNR,モーションアーチファクト,鮮鋭度,画質のすべてにおいて,2D法が3D法を上回っていた。当院では,子宮全体の2D冠状断像をそのままサーバに保存しており,後から任意の断面で画像再構成しながら読影できるため,読影する医師からも高い評価が得られている。
図6 AiCEとPIQEを用いた前立腺T2WI
図7 女性骨盤の撮像における2D法(PIQE適用)と3D法の比較
まとめ
Vantage Galan 3T / Supreme Editionは,マグネットの性能が向上したことで画質が大幅に改善し,さらに,PIQEによって高分解能画像と撮像時間短縮の両立が可能となった。また,女性骨盤領域においては,PIQEを用いた2D thin -slice T2WI FSEの撮像によって,3D撮像におけるコントラストの課題を克服できる可能性が示唆された。
*記事内容はご経験や知見による,ご本人のご意見や感想が含まれる場合があります。
*本記事中のAI技術については設計の段階で用いたものであり,本システムが自己学習することはありません。
一般的名称:超電導磁石式全身用MR装置
販売名:MR装置 Vantage Galan 3T MRT-3020
認証番号:228ADBZX00066000
- 【関連コンテンツ】
