高精細画像がもたらす,IVR治療へのインパクト
南口貴世介(奈良県立医科大学放射線診断・IVR学講座)
2026-1-23
奈良県立医科大学では,2025年1月から,キヤノンメディカルシステムズの最新のArea Detector CT (ADCT)「Aquilion ONE / INSIGHT Edition」が稼働を開始した。さまざまな先進技術が搭載されているが,interventional radiology(IVR)の観点では,人工知能(AI)応用技術である超解像画像再構成「Precise IQ Engine(PIQE)」による画質改善,dual energy CT(DECT)技術である「Spectral Imaging System」などに期待している。また,テーブルスピードが450mm/sに高速化したことも,日常臨床で大いに役立っている。本講演では,PIQEによる高精細画像がIVRにもたらすインパクトを中心に報告する。
■IVRにおけるPIQEの有用性
IVRにおいては,術前画像診断が治療の効果を最大限に引き出す基盤であり,術前CTは緻密な治療プランニングを支える重要な要素となっている。より高画質な術前CT画像が得られれば,精度の高い画像評価が可能となり,最適な治療戦略の決定にも寄与すると考える。
キヤノンメディカルシステムズのAIを応用した画像再構成技術には,「Advanced intelligent Clear-IQ Engine(AiCE)」とPIQEがある。AiCEは,Deep Learningを活用し,ノイズの少ない高品質な教師画像と,仮想的にノイズを付加するなどした低品質な画像をペアとしてニューラルネットワークをトレーニングすることで,低品質なデータからノイズを選択的に除去した高品質な画像を生成することができる。また,PIQEは,同社の高精細CT「Aquilion Precision」のSuper High Resolution(SHR)モード(1024マトリクス)の画像を教師画像として用いることで,低品質な画像データの超解像化を可能としている。
AiCE,PIQE(512マトリクス),PIQE(1024マトリクス)の画像の視認性について,血管模型ファントムを用いて検討したところ,通常のCT画像,VR画像共にPIQEの方が血管の末梢までより明瞭に描出されていた。また,profile curveを見ると,AiCEのCT値のピークは215HUに届かないが,PIQE(1024マトリクス)では230〜240HUと高値であり,グラフの立ち上がりも急峻で鮮鋭度が高いという結果であった。
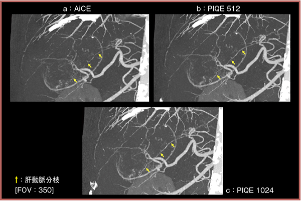
次に,実臨床画像でも視認性を比較した。80歳代,男性,造影CTにて後区域に巨大な低濃度不均一の腫瘤が認められ,肝細胞がんが疑われた症例である。腫瘤の栄養血管のMIP画像(図1)を比較したところ,PIQE(1024マトリクス:c)では血管が末梢まで連続性をもって描出されており,微細な血管構造も視認可能であった(↑)。
近年発表された,画像再構成法と解像度の関係に関する論文では,AiCEとPIQEは共に高い解像度を示すが,なかでもPIQEは比較的低いコントラストの構造においても解像度の低下の影響が少ないことが報告されており1),当院の検討でも同様の結果が得られている。PIQEは微細な血管の把握に有用であり,今後,術前プランニングにおいて威力を発揮すると考える。
図1 実臨床画像におけるAiCEとPIQEの視認性の比較
■Aquilion ONE / INSIGHT Editionが有用であった症例
IVRの術前CT画像では,腫瘍の栄養血管や出血に関与する血管など,責任血管の同定が重要となる。また,IVRのワーキングアングルを術前CTを基に事前に決定しておくことで,手技時間の短縮が可能となる。
症例1は,70歳代,男性。肝細胞がん再発の症例で,治療後の残存病変に対してリピオドールを用いた肝動脈化学塞栓療法(TACE)を施行する方針となった。PIQEを適用した術前CT画像(図2 a,b)では,腫瘍を栄養する2つの血管が同定された。この情報を基に行ったDSA(図2 d)でも同部位に責任血管が描出されたため,さらにマイクロカテーテルを進め,腫瘍に対し選択的にエマルジョンを注入,術後CT画像(e)にて腫瘍への良好な集積を認めた。IVR-CT画像(図2 c)との比較においても,術前CT画像(a)が栄養血管を末梢まで描出できていたことは明らかであり,このような正確な情報を術前に得られるメリットは非常に大きいと考える。
症例2は,80歳代,男性,膵尾部に多血性のインスリノーマを認めた。インスリノーマは多発することがあるため,微小病変の検出を目的とした選択的動脈内刺激薬注入法(SASIテスト)が施行された。PIQEを適用した術前CT画像(図3)にて微細な血管の走行を明瞭に描出できたことで,背膵動脈の分岐が正面からとらえづらいことを事前に把握できたため,適切なワーキングアングルによって薬剤の選択的動注が可能であった。
図2 症例1:70歳代,男性,肝細胞がん再発
図3 症例2:80歳代,男性,インスリノーマ
■術前画像のその先へ:Spectral Imaging Systemの活用
Spectral Imaging Systemは, Rapid kV switchingによるDECT技術で,Deep Learningを活用した画像データの取得およびノイズ低減技術によって,高画質なDECT画像の取得が可能である。なかでも電子密度画像は,悪性腫瘍との相関が高いことが報告されている。
図4は,症例1(図2)と同一症例である。肝細胞がん破裂のため,ゼラチンスポンジを用いて緊急の肝動脈塞栓術(TAE)を行ったが,その後の経過観察にて残存病変の増大を認め,薬剤溶出性ビーズを用いたTACE(DEB-TACE)を施行した。1週間後に行った,合併症評価目的のCT検査にて電子密度画像を作成したところ,出血と思われる2つの高吸収領域の間にやや信号値の高い部分が見られ(図4↓),時間の経過とともに徐々に増大した。電子密度画像はDEB-TACE後の早期から,残存病変の予測や治療効果判定の指標になる可能性があると考える。
図4 電子密度画像によるDEB-TACE後の残存病変の予測
■まとめ
IVRにおいて,PIQEは術前画像評価の精度を高め,治療戦略の立案時に真価を発揮すると期待できる。また,Spectral Imaging Systemは,治療後のマネージメントに寄与する可能性がある。
* 記事内容はご経験や知見による,ご本人のご意見が含まれます。
* 本記事中のAI技術については設計の段階で用いたものであり,本システムが自己学習することはありません。
●参考文献
1)Greffier, J., et al., Diagn. Interv. Imaging, 105(3): 110-117, 2024.
一般的名称:全身用X線CT診断装置
販売名:CTスキャナ Aquilion ONE TSX-308A
認証番号:305ACBZX00005000
- 【関連コンテンツ】
