頭頸部癌の画像診断におけるフォトンカウンティングCTのポテンシャル ―臨床現場でどう使われるか?―
久野 博文(国立がん研究センター東病院放射線診断科)
2026-1-23
国立がん研究センター東病院が,キヤノンメディカルシステムズ製フォトンカウンティング検出器搭載型X線CT(photon counting detector CT:PCD-CT)のプロトタイプ第1号機を導入してから約2年半が経過した。本講演では,頭頸部がんの診療におけるPCD-CTの活用法を,症例を踏まえて報告する。また,2025年5月に発刊された最新のTNM分類(TNM Classification of Malignant Tumours 9th Edition)では,頭頸部がんの画像診断における客観的な指標として画像的リンパ節外浸潤(image-detected ENE:iENE)という新しい概念が示された。そこで,PCD-CTを用いた新たな展開として,iENEへの応用についても紹介する。
■頭頸部がん診療におけるPCD-CTの活用
1.PCD-CTの位置づけ
国内にX線CTが導入されてから,今年で50周年を迎えた。この間,CTはハードウエア,ソフトウエア共にさまざまな発展を遂げ,頭頸部がんの診断においては,dual energy CT(DECT)や骨差分ヨード画像など,コントラスト分解能を向上する技術が応用されている。また,キヤノンメディカルシステムズの高精細CT「Aquilion Precision」によって1024マトリクスの高空間分解能化が図られ,さらに,Deep Learning Reconstruction(DLR)によって,大幅なノイズ低減と画質向上がもたらされた。その後,登場したPCD-CTは,従来CTで培われた技術を継承し,かつ高空間分解能化とコントラスト分解能の向上を同時に実現する装置となっている。
2.頭頸部がんの精査におけるPCD-CTの活用
1)DLRがもたらす効果
このようなPCD-CTの特長を生かすため,当院では頭頸部がんの精査においては,造影剤注入後7秒に腫瘍部の単純CT,70秒後に頸部全体の造影CTを撮影し,subtraction iodine image(SII)を作成。また,70秒後の造影CT画像からspectral iodine overlay image(IO)を作成している。
頭頸部がんでは,頭蓋底浸潤や頭蓋内進展の評価は治療方針決定において重要であるが,DECTのヨード画像では,骨とヨードがどちらも高吸収に描出されるため,両者を判別する画像作成は困難であった。そこで,SIIを用いることで骨内のヨードを強調することが可能となり,時間・空間分解能の高さといったCTの優位性を保ちつつ,造影MRIに類似した腫瘍のコントラストが得られる。当院では,15年ほど前から従来CT(energy integrated detector CT:EID-CT)を用いて,上記の方法で頭頸部がんの評価を行ってきたが,PCD-CTではマルチエネルギーでのデータ収集(spectral imaging)が可能なことに加え,DLRを併用することで,従来よりも高精細なSIIの取得が可能となる。
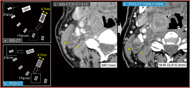
図1は,従来CT(EID-CT)とPCD-CTの比較であるが,PCD-CTではファントムの微細なスリットが明確に分離して描出されている(a,b)。また,臨床画像(図1c,d)でも,PCD-CTは0.2mmと薄いスライスであるにもかかわらず,高分解能と低ノイズを両立しており,微小病変や微細構造の評価に有用である。
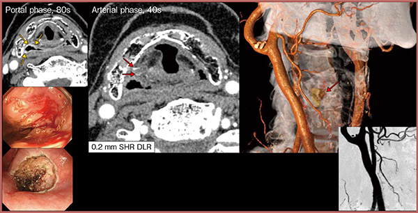
図2は,下咽頭早期がんの内視鏡手術前の血管評価の画像であるが,PCD-CTの高分解能画像にDLRを併用することで,腫瘍に向かう微細な血管の走行(→)まで描出可能である。
図1 EID-CT(512マトリクス,NRモード)とPCD-CT(1024マトリクス,SHRモード+DLR)の比較
従来CT(EID-CT)はリンパ節転移の辺縁が不整に見えるが,PCD-CTは0.2 mmスライスで高分解能と低ノイズを両立し,リンパ節転移辺縁と周囲脂肪織との境界を詳細に評価可能(▶)
図2 PCD-CT(SHR+DLR)による下咽頭早期がんの内視鏡手術前の血管評価
→:下咽頭表在がん →:微細な血管
2)spectral imagingの活用
EID-CTではこれまで,dual energy imagingや差分画像を用いてヨードマップを作成し,MRIを追加撮像することなく軟骨浸潤の有無を評価可能であったが,高精細撮影モードとは両立できず,両方の画像を同時に得ることはできない。これに対し,PCD-CTではspectral imagingにより,単一撮影で高空間分解能画像とスペクトラル情報を同時に取得することができる。
図3は実際の画像で,EID-CT(a)では軟骨および椎前筋への浸潤を否定できないが,PCD-CT(b)では高分解能に加え,一度の撮影でさまざまな種類の画像を取得し,差分画像やヨードマップによって軟骨浸潤を否定できる。また,virtual monochromatic image(VMI)の低keV画像ではヨードと軟部組織とのコントラストが向上するため,椎前筋浸潤は陰性であると評価可能であった。
図3 PCD-CTによる軟骨および椎前筋への浸潤の評価
→:EID-CTや120 kV画像では軟骨浸潤や椎前筋浸潤の評価が難しい。
→:非骨化軟骨へのヨード増強を認めず,軟骨浸潤陰性と判断可能
→:椎前筋との境界が明瞭で,浸潤なしと評価可能
■PCD-CTのiENEへの応用
1.iENEの概要
リンパ節外浸潤(ENE)は,転移腫瘍細胞がリンパ節被膜を超えて周囲組織に浸潤する病理学的所見で,頭頸部がんの重要な予後不良因子である。このENEを画像によって評価する診断基準(iENE)が2024年頃から活発に議論されるようになり,iENEの客観的指標が最新のTNM分類に反映された。
従来,ENEの評価は,手術切除標本のみに適応可能なpathological ENE(pENE)と,身体診察のみで固定・癒着リンパ節を評価するclinical ENE(cENE)で行われてきたが,pENEは非手術治療には適応できないほか,2mm以下のENEは予後に影響を与えないことがわかってきた。また,cENEは臨床的な診察によってのみ定義されるため,評価の客観性を欠くことが問題であった。そこで,国際頭頸部がんグループ(Head & Neck Cancer International Group)が画像によるENE分類システム(iENE)を提唱し,所見をGrade 0〜3に分類した。この分類は,外科的に頸部リンパ節郭清を行っていない症例においても予後の層別化が可能とされており,当院で検証したところ,iENE陽性と陰性で明確な予後の層別化が可能であった1)。今後,iENEは適切な治療強度を決定する上で重要な指標になっていくと考えられる。
2.iENEの評価におけるPCD-CTの有用性
PCD-CTにて取得した高分解能な画像を用いることで,iENEのGrade分類の精度が向上すれば,過診断の回避や,陽性・陰性の評価の確信度が向上するなどメリットが大きい。また,PCD-CTではspectral画像が得られるため,高分解能画像のみではiENEの評価が困難な症例でも,ヨードマップやVMIの低keV画像を用いてコントラストを最適化し,より正確な評価が可能となることが期待される2)。
■まとめ
PCD-CTは,高分解能かつspectral画像を提供する次世代の万能型CTである。わが国の大規模医療施設においては,2023年時点ですでに70〜90%の施設にDECTや高精細CTなどの高位機種が普及しているため,これまでに培った運用知見を継承し,PCD-CTのスムーズな導入・運用を実現できる環境が整っていると言える。
また,頭頸部がんの画像診断においては,客観的な指標の重要性が高まっており,PCD-CTの活用によって診断の不確実性が軽減することが期待される。
*記事内容はご経験や知見による,ご本人のご意見が含まれます。
*本記事中のAI技術については設計の段階で用いたものであり,本システムが自己学習することはありません。
●参考文献
1)Onaga, R., Kuno, H., et al., Oral Oncology, 165 : 107351, 2025.
2)Kuno, H., Hiyama, T., et al., Jpn. J. Radiol., 2025(Epub ahead of print).
- 【関連コンテンツ】
