技術解説(キヤノンメディカルシステムズ)
2014年8月号
Women's Imaging 2014 最新技術[Breast Imaging]
超音波診断装置「Aplio」 Platinum Series 〜さらに輝きを増したプレミアムシステム
東芝のプレミアムクラス超音波診断装置「Aplio」 は,その優れたプラットフォームに数々のイノベーションを融合し,さらにそのパフォーマンスを向上させたPlatinum Series(プラチナ・シリーズ)として再登場しました。
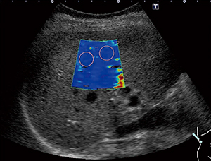
●Shear wave with Smart maps
プローブを静止した状態で,組織を圧迫することなく組織の硬さの絶対値を求めることができます。プローブからのPush Pulseによってせん断波を発生させ,その伝搬速度をカラーマッピング表示することにより,硬さの空間的分布を表示できます(図1)。これに加え,せん断波の到達時間を等高線表示する東芝独自の表示モードにより,せん断波の伝播状態を確認して検査結果の信頼性を判断することができます(図2)。
図1 カラーマッピング表示 |
図2 等高線表示 |
| (図1,2画像ご提供:兵庫医科大学・飯島尋子先生) | |
●Strain elastography
プローブの圧迫動作により,病変部位の硬さ(弾性)を映像化します(図3)。プローブの動きをグラフ化することで,圧迫の与え方が適切であるかどうか確認できます。さらに,再現性の高い弾性イメージング検査が可能となりました。
図3 Strain elastography |
| (画像ご提供:名古屋医療センター・遠藤登喜子先生) |
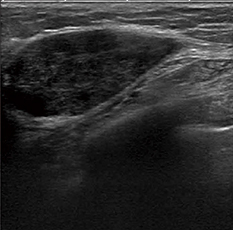
●BEAM(Biopsy Enhancement Auto Mode)
穿刺を行う際に,針を見やすくする技術です。Bモード画質を劣化させることなく,針の映像化にとって最適な送受信を実現することにより,細い針でも強調表示することが可能です(図4,5)。
図4 針強調オフ |
図5 針強調オン |
| (図4,5画像ご提供:ちば県民保健予防財団・橋本秀行先生) | |
●問い合わせ先
キヤノンメディカルシステムズ(株)
広報室
TEL 0287-26-5100
https://jp.medical.canon/
