技術解説(キヤノンメディカルシステムズ)
2014年9月号
Step up MRI 2014-MRI技術開発の最前線
東芝MRIの技術開発最前線
宮崎美津恵(Toshiba Medical Research Institute USA, Inc.)葛西 由守(MRI開発部)淀 健治(MRI営業部)
MRIの技術開発は,新たな局面を迎えている。本稿では,東芝が取り組んでいる新しい技術開発〔chemical exchange saturation transfer(CEST),ultrashort TE(UTE),Compressed Sensing(CS)〕について概要を述べる。
■CESTについて
近年,molecular imagingの役割を果たす技術としてCESTが脚光を浴びている。CESTとは,化学交換できるアミドプロトン(O=C-NH),アミノプロトン(-NH2),ヒドロキシルプロトン(-OH)で,水信号をF0とした場合,それぞれ3.5ppm,2ppm,1ppmに信号として見られるものである。CEST効果を観察するためには,(1)magnetization transfer(MT)パルス(通常強度│B1│が1〜2μT)をイメージングシーケンスの前に印加し,(2)約±6ppm周波数帯域にて,MTパルスの励起周波数を変えて測定する。その信号値をZスペクトラムと呼ぶ。(3)得られたZスペクトラムの中心周波数から+方向と−方向の違いをasymmetric magnetization transfer ratio(MTRasym)で計算し,上記のアミド(3.5ppm),アミン(2ppm),ヒドロキシル(1ppm)のプロトン信号を算出したものである。つまり,MTRasymは次の式で求められる。
MTRasym(Δω)=S(−Δω)/S −
S(Δω)/S
CEST効果として,アミド,アミン,ヒドロキシルのプロトンがMTRasym信号として示されるが,その信号強度は,磁場強度,それぞれのプロトンの濃度,温度,pH,分子が置かれている環境などによって異なる。CEST効果は,正常組織と異常組織で異なるため,molecular imagingとして期待されている。
CEST効果において,D-glucoseのヒドロキシルのプロトンはglucoCESTと呼ばれ,glycogenのそれはglycoCESTと呼ばれる。ヒドロキシルは,水信号に近い共鳴周波数のため,高磁場でのCEST効果が認められる。また,paramagnetic分子を用いたmolecular exchangeはPARACESTと呼ばれる。
転移性脳腫瘍のCEST効果(3.5ppm)を図1に示す。正常組織と比較して,腫瘍部分のアミドプロトン(3.5ppm)信号の上昇が認められる。
図1 転移性脳腫瘍のCEST効果(W.I.P.)
(画像ご提供:京都大学・伏見育崇先生)
■UTEについて
図2 kスペーストラジェクトリ
TE時間を極力短縮した技術としてUTEがある。UTEの技術として,(1)UTEを実現するために,RF励起パルスのすぐ後からデータ収集がはじまる,(2)ラジアルラインはkスペースの中心から収集される,(3)UTEでは2Dまたは3Dの画像化が可能,などが挙げられる。3D収集では,スライス選択励起パルス,スライス非選択パルス,どちらも使用でき,ラジアルラインのエンドポイントは球の表面上に分布し,kスペーストラジェクトリは図2に示すようにクッシュボール型であるという特徴がある。
UTEの特性として,(1)通常のMR画像で見えない短いT2/T2*の信号を観察することができる,(2)TRごとにkスペースの中心からデータ収集するため,動きの影響を受け難い,(3)TEが1ms以下と短いため,血流など流れの特性に優れている,(4)ラジアルスキャンのサンプリングの基準(Nyquistサンプリング基準)を満たすため,ある程度の繰り返しが必要である,という点が挙げられる。
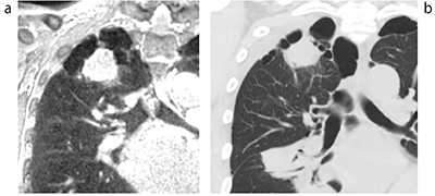
UTEの臨床応用例を示す。肺野組織は,ほかの臓器と比較して空気が支配的であるため,T2/T2*が極端に短く,通常のMR画像では描出が困難である。一方,UTEはTEが1ms以下であるため,肺野の描出が可能となる。図3に,肺野のUTE画像とthin slice CT画像を示す。UTE画像(図3a)においても,CT画像(図3b)同様に扁平上皮癌が右上葉部に認められ,肺気腫と正常部位のコントラストの違いが認められる。
図3 扁平上皮癌の例
UTE画像(a)とthin slice CT画像(b)。UTE撮像条件:(TR:4ms, TE:0.96ms, Flip Angle:6degree/1×1×1mm)。3D FFE UTE(W.I.P),Vantage Titan 3T。
(画像ご提供:神戸大学・大野良治先生)
■CSのMRIへの適用とは?
CSは,画像や情報圧縮の分野で近年大いに注目を集めている。よく知られているように,JPEGなどの画像圧縮,MPEGなどの動画圧縮は,視覚特性を利用した非可逆アルゴリズムの適用で容易に1/10,1/100オーダで情報を圧縮している。では,そもそも1/100に圧縮できる情報をすべて収集する必要があるのかというのがCSの問題意識である。
CSの目的は,圧縮された情報の収集である。収集(センシング)の量を減らしても,元の情報を収集した結果と同等の情報が得られれば良い。収集された情報とMRIの画像xの関係は,xの連立方程式として表せる。このとき,式の数を減らしてしまうと未知数が式の本数よりも多くなり,たくさんの解xが存在するようになる。そこで,CSでは画像圧縮の考え方を逆に取り入れる。図4に示すように,画像圧縮の場合,Tという変換により,0を増やした分=圧縮された情報量を表す。CSの場合,画像に合った適切なTを適用することで,ほぼ所望の割合で0を含むx’を作ることができれば,x’のいくつかが0になるような方程式の解を探すことにより,その解xを1つに絞り込める,という考えが概念的な理解となる。CSのイメージを掴んでいただくために,例として,図5のようなヒントの足りないクロスワードパズルを用意した。数学的にはどのぐらい元のデータに冗長性があって,0の量を増やすことができるかという性質のことをスパース性と呼び,スパース性の高さが圧縮しやすさを決めるファクターになる。ここから先の数学的な説明は,参考文献1),2)に詳しいのでそちらを参照いただきたい。
図4 CSの考え方
図5 CSのイメージ:ヒントの足りないクロスワードパズル
変換Tによりスパース性を向上させることはもちろんだが,JPEGでの線画の圧縮率が高いことから類推できるように,まばらでゼロの多い画像であればCSは効果的であると期待できる。そのような画像の典型例として,MRAが挙げられる。われわれも東芝研究開発センターマルチメディアラボラトリーと連携して検討を開始しており,フィージビリティスタディの一環として得られたMRAの画像を図6に示す。CSでは,原理的に細かな血管の情報が徐々に失われていくため,目的とする臨床情報と倍速率の妥協点を見つける必要がある。この場合,倍速率はおよそ3倍で,大きな画質劣化がないことを確認している。
図6 CSを頭部MRAに適応した例
MRAの場合,大きな画質劣化なしに倍速率を高められることが確認できた。
また,Toshiba Medical Research Institute USAでは,非造影MRA撮像へCSを適用し,さらにデータ収集時間を短縮する取り組み4)を進めている。Fresh Blood Imaging(FBI)の特徴として,MRAよりもコントラスト比が高いこと,差分処理を含むことなどから,図7に示すように,倍速率を上げても画質劣化が少ないことを確認している。
このように,パラレルイメージングにCSを組み合わせることで,さらに情報収集量を減らし,撮像時間の短縮をめざしている。
図7 CSをFBIに適応した例
FBIの場合,大きな画質劣化なしにMRAよりも倍速率を高められることが確認できた。
◎
当社が取り組む3つの先端研究開発を紹介した。これらは次世代の臨床価値を創造しうる最新テクノロジーである。今後も皆様のご支援と,東芝の総合技術力によって,革新的な装置を具現化していく。
*本稿で紹介する技術は薬事法未承認のため,販売・授与できません
●参考文献
1)van Zijl, P., et al. : Chemical exchange saturation transfer(CEST); What is in a name and what isn’t? Magn. Reson. Med., 65・4, 927〜948, 2011.
2)田中利幸 : 圧縮センシングの数理. 電子情報通信学会 Fundamentals review, 4・1, 39〜47, 2010.
3)町田好男, 齋藤俊輝 : 圧縮センシング(CS)MRイメージング─情報技術による新しい高速撮像法. INNERVISON, 28・9, 2〜4, 2013.
4)Ouyang, C., et al. : Time Resolved Non-Contrast Fresh Blood Imaging MRI using Compressed Sensing reconstruction. Proc. ISMRM 2014, 2518, 2014.
●問い合わせ先
キヤノンメディカルシステムズ(株)
広報室
TEL 0287-26-5100
https://jp.medical.canon/
