技術解説(キヤノンメディカルシステムズ)
2016年4月号
Abdominal Imagingにおけるモダリティ別技術の到達点
診断から治療までトータルでサポート「Aplio Platinum Series」
浜田 聡明(超音波営業部)
被ばくのない超音波診断は,スクリーニングから精査,治療のガイドからフォローアップまで幅広く用いられており,特に近年,腫瘍の確定診断,治療方針の決定,そして治療後の効果判定まで,その有用性が高まっている。
「Aplio Platinum Series」は,そのようなニーズに応えるべく,さらなる高画質化技術およびさまざまな臨床アプリケーションを搭載した,プレミアムハイエンドな超音波診断装置である(図1)。本稿では,その最先端技術のいくつかを紹介する。
図1 Aplio Platinum Series
(左からAplio400,Aplio500,Aplio300)
■組織の硬さを映像化:Shear Wave Elastography
プッシュパルスの照射によって生体組織に圧迫を加えると,それにより発生した剪断波(shear wave)が横方向に伝わる。剪断波の伝播速度は組織の弾性(硬さ)によって変化するため,その速度を計測することにより,組織の硬さの空間分布を映像化することができる。正常組織の中に腫瘍などがあると,その内部では剪断波の速度が周囲の正常組織とは違ってくる。組織が硬い場合は波が速く伝わり,軟らかい場合には遅くなるので,例えば肝臓内に硬い腫瘍がある場合には,剪断波速度が速くなった部分,すなわち硬いと判定された部分が画面上に赤く表示される(図2)。
図2 Shear Wave Elastography:3つの表示モード
さらに,東芝の“Shear Wave Elastography”には,剪断波のPropagation(到達時間等高線)表示がある。等高線が平行でなめらかに表示されている部分はデータの信頼性が高いが,均一性がなくギザギザになった部分は信頼性が低い。つまり,等高線を確認することにより,データの信頼性が担保される(図3)。
図3 Propagation(到達時間等高線)表示
■低流速血流を高フレームレートでとらえる新しい血流イメージング機能:Superb Micro-vascular Imaging
血流の二次元画像での観察には主にカラードプラ法が使用されてきたが,微細で低流速な血流の描出には技術的な限界があった。そこで,超音波造影剤を用いて描出能を高める工夫がされてきたが,適応部位には制限があり,医師でなければ行えず,コストがかかり患者の負担も大きいといった問題があった。こうした現状の下,東芝メディカルシステムズは,従来より微細で低流速の血流を簡便に描出できる新しい血流イメージング機能“Superb Micro-vascular Imaging(SMI)”をAplio Platinum Seriesに搭載可能とした。
これまでの血流イメージング機能は,東芝メディカルシステムズが2001年に搭載した高分解能血流表示機能“Advanced Dynamic Flow(ADF)”のように,血流を「より高分解能に描出すること」を主な目的としていた。今回のSMIは血流を「より高分解能に描出すること」に加え,「より低流速の血流を描出すること」を目的に搭載されている。
従来の血流イメージング機能では,低流速域の血流描出を行う際に,血流以外の対象物からの不要なドプラ信号(モーションアーチファクト)に血流信号が埋もれてしまい,モーションアーチファクトを除去するために低流速域の血流情報を同時に失っていた。これに対し,SMIはモーションアーチファクト特有の特徴を解析し,選択的に除去することにより,低流速域の血流情報を損なうことなく表示することが可能となった(図4)。非造影でも低流速血流を高精細に描出することができ,また超音波造影剤とSMIを組み合わせることで,従来の造影超音波よりさらに高感度に低流速血流を映像化することができる。
図4 SMIのキーテクノロジー
新技術SMIは,低流速検出能に優れた血流イメージングを提供することが可能である(図5)。従来では描出できなかった血流を高精細・高フレームレートに描出することにより,腫瘍性病変などの早期診断や治療方針の決定などをサポートし,確かな診断に寄与する。
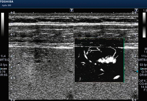
図5 SMIによる肝血管腫:血流像
(画像ご提供:成田赤十字病院・長谷川雄一先生)
■さらなるSMIの進化:Smart 3D with SMI
また,SMIは新たに“Smart 3D with SMI”として,高精細血流3D画像を構築することが可能である。プローブをスライド走査または扇形走査することにより,血管構造を簡便に3D化でき(図6),Bモード像と重ねて表示することもできるので,腫瘍性病変の血管構造と周囲組織の位置関係の把握にも役立つ。
図6 SMIの新たな進化:Smart 3D with SMI
(画像ご提供:川崎医科大学・畠 二郎先生)
*Aplio,Advanced Dynamic Flowは,東芝メディカルシステムズ株式会社の商標です。
●問い合わせ先
キヤノンメディカルシステムズ(株)
広報室
TEL 0287-26-5100
https://jp.medical.canon/
