技術解説(キヤノンメディカルシステムズ)
2017年4月号
Cardiac Imagingにおけるモダリティ別技術の到達点
最適化が導くインターベンションサポートシステムの到達点「Infinix Celeve-i Rite Edition」
黒瀬 武文(X線営業部営業技術担当)
近年,IVRの発展に伴い血管撮影装置は,「画像診断装置」ではなく「治療支援装置」として認識されているが,当社の血管撮影装置「Infinix Celeve-i」シリーズは,IVRを実施する先生方の手技をいかにしてサポートするかを最優先に考え,新たなバージョン「Rite Edition」として販売を開始している。Rite Editionは,血管撮影装置の性能を示す主な要素である“画質” “被ばく” “アプリケーション”とともに,それらの性能を最大限に発揮するための“操作性”を含むすべての要素を最適化(Rite=Right)したシステムである。また,IVRを支援する上で必要不可欠なリアルタイム性を追究することで,さまざまな臨床現場の「今」に対応し,「その瞬間の最適」を提供できるよう開発に取り組んだ。本稿では,循環器領域で有効なその性能について紹介する。
■新たな画像処理コンセプト“PureBrain Rite”
PureBrain Riteは,IVRを行う術者にとって最も重要な透視画質を飛躍的に向上させることを目的として,2009年に打ち立てた当社独自の画像処理コンセプト“PureBrain”の進化形として登場した,新たな画像処理コンセプトである。X線の出力からさまざまな過程を経て画像がモニタに映し出され,最終的に術者の目に届くまでのすべてのコンポーネントを今一度見直し,おのおのを最適化することで今まで以上の高画質を担保しつつ,大幅な被ばく低減を実現している。今回は,その中で特長的な新しいX線制御方式“ROI Control”を紹介する。
従来装置のX線制御方式は,画像中の関心領域(ROI)内の平均輝度でX線条件を決定していたが,PureBrain Riteでは,患者の体厚や解剖学的構造を考慮して撮影する角度や部位に応じた適正なX線量を自動計算・制御する,ROI Controlという新たなX線制御方式を搭載している。ROI Controlでは,適正なX線制御により,観察領域やフレーミングによらず,画像の明るさを一定に保つことができるため,従来,暗くなり視認性が低下してしまいがちであった椎体や横隔膜部にデバイスが重なっても,高い視認性を確保することが可能になった。また,一連の冠動脈造影(以下,CAG)撮影において,深い角度付けの撮影時にのみX線量を自動で増加させるため,基準となる撮影線量を下げて設定することが可能となり,検査トータルでの大幅な被ばく低減化の一翼も担っている(図1)。
図1 従来装置と新装置での1検査(CAG)における総入射線量の比較
PureBrain Riteを実装した最新装置Rite Editonでは従来装置と比較して,1検査あたりの総入射線量が約50%低減したと報告いただいている。
〔縦軸:総入射線量(mGy),N:検査数〕
(画像ご提供:医療法人社団さくら会高橋病院様)
■被ばく線量マネジメント“DoseRite”
IVRの手技は,デバイスの開発とともに日々進化し,複雑な病変にも適応範囲を広げ,その治療時間は長くなる傾向にある。IVRの目的は,患者に必要な治療を完遂することであるが,その過程で生じる合併症を考慮しX線を用いる以上,被ばく低減に取り組むことは異論のないところである。さらに近年では,世間的にも被ばくに対する関心が高まり,患者のみならず医療従事者の被ばくについても注目されるようになってきた。
そこで当社は,この“被ばく”に対して,医療の質を保ちつつ,患者被ばくの最適化,術者をはじめとする医療従事者の安全,そして施設管理者へ安心を提供する,という被ばく線量マネジメントDoseRiteをコンセプトとして展開している。今回は,多数搭載されている被ばく低減機能の中でも,当社独自の機能について紹介する。
1.術者被ばく低減機能“DoseRite SpotFluoro”
術者は手技中に,透視画面中の一部分(関心領域)を集中して見ていることが多い。また,関心領域以外の周辺部は,全体における位置関係や拡大率の情報を与えてくれるものである。DoseRite SpotFluoroは,その術者特性を考慮することで開発された機能である。
これは,X線絞りを利用し,設定した関心領域にのみX線を照射し,患者に照射される面積線量を低減するとともに,患者や寝台などにX線が跳ね返ることで発生する散乱線を減少させるため,術者被ばくの低減を可能とする機能である。X線照射範囲外の領域には,直前の最終透視画像を静止画で表示することで,真っ暗にならず,位置関係や拡大率など手技に必要な情報を消失させない工夫を施した。本機能を活用することで,患者はもちろん術者をはじめとするカテ室内に従事するすべてのスタッフの被ばくも低減でき,医療従事者への安全を提供している(図2)。
図2 DoseRite SpotFluoroの活用例
照射範囲内(□)にのみX線を照射し,照射範囲外は直前の最終透視像を静止画で残すことで,位置情報を確保している。
2.被ばく線量のマネジメント機能“DoseRite DTS(Dose Tracking System)”
DoseRite DTSは,Cアームおよびカテーテル寝台の角度や位置,X線条件などから,仮想の患者モデル上にX線を照射した箇所と線量を表示して,入射皮膚線量分布をリアルタイムにカラーマッピングし,可視化する機能である。また,X線条件から後方散乱・組織荷重係数を考慮して,表示線量を算出しているため,入射皮膚線量として参考にできる。さらに,術中にリアルタイム表示することにより,これを指標としてX線照射時間(回数)の低減やパルスレート・線量モードの変更をはじめとする多彩な被ばく低減機能が,より積極的に使用されるため,最も有効な被ばく低減ツールの一つであり,今までにない術中の被ばく管理(マネジメント)ツールとしても活用することが可能である(図3)。
図3 DoseRite DTSの活用例
仮想の患者モデル上に,リアルタイムに患者入射皮膚線量を積算,カラーマッピングするアプリケーション。従来不可能であった,術中の被ばくマネジメントを可能にする。
■最先端のIVRを支援するRite Application
Rite Editionシリーズでは,前述した基本性能である“画質”“被ばく”に加えて,クリニカルに術者をサポートする“アプリケーション”も充実し,最適化されている。その中でも,循環器領域で特に有効な機能を紹介する。
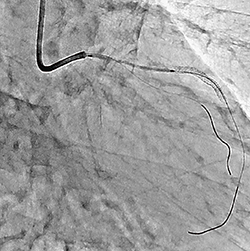
1.PCIサポートアプリケーション“ステント強調モード”
昨今,経皮的冠動脈形成術(PCI)においては,再狭窄の少ないストラットの薄いステントが主流となっており,大きな体格の患者で深い角度付けをした場合など,最新の血管撮影装置であってもステント視認性が悪い場合がある。このような際,バルーンマーカーの2点を認識し,画像を固定,加算を行うことでステント視認性を向上させるアプリケーションが,当社も含め各メーカーから提供されトレンドとなっている。
しかし,このアプリケーションは,ステントを明瞭に描出可能である反面,動いている画像を止めるために,被ばくを考慮し低レート撮影を標準としている施設では,パルスレートを上げる必要性や,撮影時間が長くなり被ばくが増える傾向にある点,その表示方法が画像観察に違和感を生じさせる点,そして2つのバルーンマーカーが必ず必要であるため,従来のワークフローよりも手間がかかる点など,実用的でないという意見が多かった。
そこで当社では,ステント強調モードとして専用のX線条件と画像処理を考案することで,バルーンマーカーも画像固定も必要とせずに,ステント強調画像を提供可能とした(図4)。このモードは,撮影プログラムの切り替え作業のみで通常と同じ感覚で撮影可能であり,リアルタイムに画像を描出することができるため,ステントの位置決めやステント留置後の追加拡張の際などに有効に活用されている。
図4 PCIサポートアプリケーション:
ステント強調モード
画像中のステントは「XIENCE Alpine」
(アボット社製)
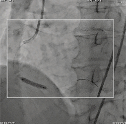
2.EP/SHDサポートアプリケーション“マルチモダリティロードマップ”
Rite Editionでは,Cアームの回転撮影により得られた3D-angio画像とともに,術前に撮影したCTやMRIなどの3Dボリュームデータをロードマップとして,リアルタイムに透視像に重ね合わせ,手技のナビゲーションとして活用可能である(図5)。透視像と重ね合わされた3D画像は,手技中に考えられる装置の機械的動作(Cアーム回転,寝台移動,画像の視野拡大など)に追随して表示されるため,一度位置合わせを行えば,マップ画像を撮影する時間や手間に加え,被ばくや造影剤が削減でき,マルチモダリティ画像を有効に活用した,より低侵襲なIVRが可能となる。
図5 EP/SHDサポートアプリケーション:
マルチモダリティロードマップ
◎
Infinix Celeve-i Rite Editionは,今回紹介したPureBrain Rite,DoseRiteおよびリアルタイムアプリケーションを中心として,血管撮影装置を構成するすべての要素を最適化したシステムであり,最先端のIVRをサポートしている。今後ますます進化するデバイスや高度化する手技に対して,より安全で正確なサポートが提供できるよう,血管撮影装置を開発する総合画像診断機器メーカーとして,イメージングガイダンスツールの充実に取り組んでいく所存である。
*Infinix Celeve, PureBrainおよびDoseRiteは東芝メディカルシステムズ株式会社の商標です。
●問い合わせ先
キヤノンメディカルシステムズ(株)
広報室
TEL 0287-26-5100
https://jp.medical.canon/
