技術解説(キヤノンメディカルシステムズ)
2018年4月号
Abdominal Imagingにおけるモダリティ別技術の到達点
血管撮影装置用FPDの到達点─超高精細検出器
古田 宜弘(X線営業部営業技術担当)
近年,IVRはその発展に伴い対象疾患の拡大,手技の複雑化が進んでおり,今もなお進化を続けている。IVRに用いられる血管撮影装置も,いくつかの大きな技術革新を経て発展してきたが,大きなブレイクスルーとなったのは,やはりフラットパネルディテクタ(以下,FPD)の登場であろう。FPDの登場により,これまで血管撮影装置の検出器として主流であったイメージインテンシファイア(以下,I.I.)の課題を克服し,さまざまな臨床用途に応じた血管撮影が可能となった。当社では,FPDは高度化するIVRを支える血管撮影装置のキーコンポーネントであると考え,これまで開発に取り組んできた。
本稿では,I.I.,FPDの特性を概説するとともに,このたび当社が新たに開発した超高精細検出器について述べる。
■I.I.,FPDの特性について
前述したとおり,FPDは,これまで血管撮影装置の検出器として主流であったI.I.の数々の課題を克服した。
まず,I.I.は真空管であることによる大容積,曲面による画像ゆがみ,丸い視野という弱点があった。また,I.I.の信号変換過程においては,X 線を光にし,それを電子に変換した後,もう一度光に変換し,これをI.I.の後段に置かれたテレビカメラで電荷として観察するなど,各変換過程で信号の劣化が発生していた。加えて,I.I.は光学ズームによる視野拡大に伴う線量増加にも注意が必要であった1)。このほかにも,真空管であるI.I.は,使用頻度と経年変化に伴いX線を光に変換する能力が低下することが課題として挙げられる。
FPDは,I.I.に比べると薄型化が実現でき,装置自体の小型化を図ることができる。また,大画面で画像ゆがみが少なく,かつ高分解能の画像を得ることも可能である。さらに,FPDはデジタルズームを用いることにより,線量増加を抑えつつ視野拡大を行うことも可能となっている2),3)。加えて,FPDは経年変化による劣化が少ないと言われている4)。
■当社のFPDへの取り組みについて
現在,当社が販売する「Infinix Celeve-i」シリーズの最新バージョン「Rite Edition」5)では,新たな画像処理コンセプト“PureBrain Rite”に基づき,X線を出力するX線制御系から医療従事者の目に届く画像出力まで,すべてのコンポーネントを最適化しており,キーコンポーネントであるFPDについてもこれまでより高感度・低ノイズ化したものを搭載している(図1)。
図1 画像処理コンセプトPureBrain Rite
X線出力,X線検出,画像処理,画像出力にかかわるすべてのコンポーネントを最適化している。
■超高精細検出器について
先にも述べたIVRの発展に伴い,血管撮影装置にはより細かなデバイスや微細な病変,目的血管の描出能,つまり高い空間分解能が求められている。
FPDの空間分解能は,そのピクセルサイズに依存する。各社が販売している血管撮影装置用FPDのピクセルサイズは150〜200μmであり,当社が搭載するFPDのピクセルサイズは194μmとなっている。
そのような現状の中,既存のFPDより格段に精細な検出器を作ることができれば血管撮影装置は新たな次元に到達できるのではないかと考え,当社ではこれまでのFPDのピクセルサイズよりも圧倒的に細かなピクセルサイズのFPDの研究を進めてきた。
そして,2017年,ピクセルサイズを76μmまで極小化した超高精細検出器の開発に成功した。
X線チャートを用いた従来FPDとの画像比較では,超高精細検出器が圧倒的な空間分解能を有することがわかる(図2)。
図2 X線チャートの透視画像比較
a:従来FPD
b:超高精細検出器 超高精細検出器で得られた画像は,より細かなラインまで視認可能であり,高い空間分解能を有することがわかる。
また,先にも述べたとおり,FPDは視野拡大の際にデジタルズームを用いるが,デジタルズームでは視野拡大に伴いFPDのピクセルサイズはそのままに入力画像のマトリックスサイズが減少するため,単純に拡大しただけでは解像度が劣化することとなる。当社の血管撮影装置Infinix Celeve-iシリーズでは,FPDから得られた入力画像に対し補間処理を行い画像拡大による劣化を抑制しており,最大2.4倍のデジタルズームにより約3インチの拡大視野を,透視中などリアルタイムに提供することが可能となっている。さらに,このたびの超高精細検出器では76μmというピクセルサイズを有することにより,画像劣化がほとんどなく1.5インチまでの拡大を可能としている(図3)。
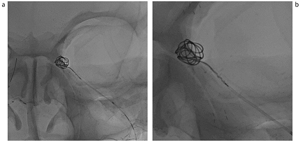
図3 超高精細検出器を用いた拡大撮影画像
a:FOV 3.3インチ
b:FOV 1.5インチ
頭部ファントム上のコイルの観察において,1.5インチまで拡大した場合でも劣化の少ない画像を得ることができる。
◎
今後,この超高精細検出器が血管撮影装置に搭載されることにより,これまで成し得なかった微細な血管や病変,また,今後も精密化が予想される各種デバイスの描出が可能となることが期待され,腹部領域においてもさらなるIVRの発展に寄与できるものと考える。
*「Infinix Celeve」および「PureBrain」はキヤノンメディカルシステムズ株式会社の商標です。
●参考文献
1)宮崎 茂・他 : IVR用X線装置の被検者入射線量率評価. 日本放射線技術学会雑誌, 59・7, 839〜847, 2003.
2)片山礼司・他 : FPDシステムにおけるリサンプリングが基本的な画質特性の測定に及ぼす影響. 日本放線技術学会雑誌, 63, 749〜756, 2007.
3)加藤 守・他 : Flat-panel Detector 搭載型血管撮影装置における視野サイズを考慮した患者被ばく線量低減法. 日本放射線技術学会雑誌, 67・11, 1443〜1447, 2011.
4)斉藤啓一 : ディジタル化を加速する医用画像におけるX線検出器. 日本写真学会誌, 72・6, 379〜385, 2009.
5)黒瀬武文 : 最適化が導くインターベンションサポートシステムの到達点「Infinix Celeve-i Rite Edition」. INNERVISION, 32・4, 30〜31, 2017.
●問い合わせ先
キヤノンメディカルシステムズ(株)
広報室
TEL 0287-26-5100
https://jp.medical.canon/
