技術解説(キヤノンメディカルシステムズ)
2019年3月号
Breast Solution No.2[UL]
Aplio i-seriesの最新技術による乳腺超音波診断サポート
キヤノンメディカルシステムズ株式会社超音波事業部 高田 優子
■新開発高周波プローブ
キヤノンメディカルシステムズ社のプレミアム超音波診断装置であるAplio i-seriesは,乳腺超音波に用いる高周波リニアプローブとして,従来からの「PLT-1005BT」,「PLT-1204BT」をはじめ,新開発プローブ「PLI-1205BX」, 「PLI-2004BX」も取りそろえている。これらのプローブには“iBeam Forming”技術を採用しており,波形形成の精度を高めることにより,高純度なTissue Harmonic Imaging(THI)成分を抽出することが可能である。このため,アーチファクトが十分低減された鮮明な画像を得ることができる。
さらに,“iBeam Slicing”技術によりスライス方向のビーム幅も細く鋭くし,コントラストの良い鮮明な画像を取得する。PLI-1205BX, PLI-2004BXは,新しく開発した“iDMS”技術を併せて搭載した二次元画像用マトリックスプローブであり,走査線の全点に関してスキャン面内と同様に電子フォーカスすることにより,送信開口直下からより薄く均一なスライスを生成している。
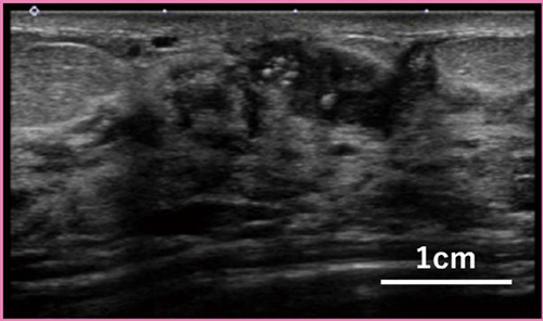
PLI-1205BXは4.0〜18.2MHzと広帯域であり,乳腺検査に十分な視野深度と浅〜深部まで均一な高画質を実現している。また,PLI-2004BX(8.8〜24MHz)は,乳腺領域の通常および精密検査に対応するため,約4cmの視野幅と実用に堪える視野深度を確保している。その上で,24MHzという高周波により,今までにない高画質画像を提供する。これらのプローブのBモード画像では,例えば腫瘤の形状や境界だけでなく,内部構造まで詳細に観察することができる(図1)。
図1 超高周波プローブ「PLI-2004BX」による乳腺のBモード画像
(画像提供:名古屋医療センター・森田孝子先生)
■Superb Micro-vascularImaging(SMI)
Aplio i-seriesには,スキャンと信号処理の単位を独立に最適化することにより,高フレームレートで微細・低流速な血流を描出可能とするSMIモードも搭載している。速度的には組織の動きと重なっているような低流速の血流を,組織の動きの特徴を解析して分離することで,モーションアーチファクトを大幅に低減して表示する。Aplio i-seriesでは,iBeam FormingのMulti-Beam Receiver機能により,より広範囲を高フレームレートで,クラッタを低減しつつ微細血流を映像化できるようになった(iSMI)。
Contrast Harmonic Imaging(CHI)モードによる造影超音波も可能であり,SMIを併用した造影SMIでは,血流がより感度良く描出される。図2は,PLI-1205BXによる乳腺腫瘤の造影SMI画像である。腫瘤内および周囲の詳細な血流形態が映像化されている。iDMSプローブであるPLI-1205BX, PLI-2004BXは,断層像のスライス厚を調整するSlice Thickness Control機能にも対応しており,スライス方向に立体的に広がる血管構造を1枚の断層像内に連続性良く描出することができる。
図2 高周波プローブ「PLI-1205BX」の乳腺造影SMI画像
(画像提供:高松平和病院・何森亜由美先生)
■Shear wave Elastography(SWE)
乳腺腫瘍の場合,悪性腫瘍は硬いことが多いため,硬さがわかれば診断の一助になりうる。硬さの情報を定量し画像化する技術として,SWEがある。この手法は,対象組織内を伝播する剪断波の速さを観測する手法であり,対象組織に固有の硬さの値を知ることができる。弾性体においては,剪断波伝播速度が大きいほど弾性率が高い,すなわち硬いということになる。
図3の画面左は,Shear waveの伝播速度のカラーマッピング表示である。本症例の乳腺腫瘍内の剪断波伝播速度は平均で8.35m/sであり,周辺組織に比べて速く,硬いことが映像化されている。画面右は,一定時間間隔で観察された剪断波の波面の位置を等高線状に表示したものである。腫瘍部のような硬いところでは剪断波が速く伝播するため線の間隔が広く,逆に腫瘍左の正常領域のような軟らかいところでは線の間隔が狭くなる。Shear waveの伝播速度は,対象組織に加わる圧力で変化する性質がある。乳腺にShear waveを適用する場合は,プローブの接触圧力に留意する必要がある。
図3 乳腺のSWE像
(画像提供:名古屋医療センター・森田孝子先生)
■Breast Scan Guide
乳がん検診においてマンモグラフィの有効性は認められているが,高濃度乳房や若年層では病変と乳腺との区別がつきにくく,マンモグラフィによるがんの発見が難しい場合がある。高濃度乳房の診断精度を向上させるために,超音波検査の併用が検討されている。
マンモグラフィ所見を参照しながら超音波検査を行う上で課題となるのは,両者の画像のオリエンテーションの違いであり,正しく位置を把握するためには検査者のスキルが必要になる。Aplio i-seriesで使用できるBreast Scan Guideは,超音波検査技師がマンモグラフィ画像上の病変位置を正しく把握し,超音波検査を行えるように支援するために開発された機能である。Aplio i-seriesでマンモグラフィ画像を読み込み,病変位置を登録すると,ボディマーク上に病変の推定位置が表示される。MLO像とCC像の2枚の画像で病変位置を登録すると2本の線が表示され,交点(←)が病変の推定位置を表す(図4)。本機能によって,マンモグラフィで病変が疑われる部位を超音波で検出しやすくなることが期待される。
図5は,マンモグラフィ画像と超音波画像の2画面表示である。画面左は右乳房のマンモグラフィCC像であり,マンモグラフィ画像上の(1)の位置とボディマーク上の推定位置とが対応している。このように,マンモグラフィ画像やボディマーク推定位置を参照しながら超音波検査を行うことができるため,マンモグラフィと超音波による総合判定を支援できると考えている。
図4 Breast Scan Guide
図5 マンモグラフィ画像と超音波画像の2画面表示
(画像提供:高松平和病院・何森亜由美先生)
■まとめ
Aplio i-seriesは,従来から搭載しているStrain ElastographyやMicroPureに加え,上述したさまざまな乳腺アプリケーションにも対応している。ルーチン検査では,基本となるBモードやカラーモードなどで高いパフォーマンスを発揮する上,アプリケーションを使用することにより,検査の支援や,病変のより詳細な情報を取得することができる。それにより,ニーズやユースケースに応じた検査をトータルサポートすることができる。
※Aplio, MicroPureはキヤノンメディカルシステムズ株式会社の商標です。
