技術解説(キヤノンメディカルシステムズ)
2019年4月号
Cardiac Imagingにおけるモダリティ別技術の到達点
Fusion技術を用いたマルチモダリティCardiac Imaging
宮木 啓介(超音波開発部ILUCAプロジェクトチーム)
●Smart Fusion
超音波診断装置の断層像は,高分解能ではあるが視野範囲が狭く自由な角度で切り出された断面であるため,検査者は描出される部位を解剖学的知識から推測しながら画像を観察する必要がある。そのため,検査者の知識や技量によって得られる情報に差が生まれやすいという傾向がある。なかでも心エコーの場合,描出された断面の位置によって容量などの応用計測や“Auto EF”“2D Wall Motion Tracking”など,多くの計測値が影響を受ける1)。そこで,Aplio iシリーズに搭載された“Smart Fusion”技術では,CTやMRIなどのボリュームデータと超音波画像を同期並列表示させることで,CT/MR画像を見ながら計測断面を決定でき,より正しい計測結果を得ることができるので,正確で再現性の高い心機能評価が可能になる。
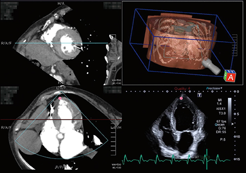
図1は,CTと超音波の4 chamber view(4CV)像をCTの短軸像やプローブ付き3D画像と同時に表示した例である。●は心尖部を指しており,エコー画像がCTの心尖部近傍を描出するとマークが×印に切り替わる。このようにマークを参照することで,CTの画を見ながら適切なエコー断面を描出することができる。
図1 CTと心エコーの4CV像のSmart Fusion表示
(画像ご提供:聖マリアンナ医科大学・出雲昌樹先生)
1.トランスミッタ
Smart Fusionでは,磁気センサをプローブに装着し,トランスミッタからの相対的な位置情報を検出することで,リアルタイムにプローブの空間的な位置を認識できる。トランスミッタは外付け型と図2のような装置一体型があり,それぞれ利点と欠点を持っている。外付けのトランスミッタは設置自由度が高いが,設置の手間がかかる上,装置を移動する際にはトランスミッタも併せて移動する必要があり,検査者一人では作業が困難である。逆に,装置と一体型のトランスミッタは,簡便に持ち運ぶことができるが,設置自由度は低い。そこで,Aplio iシリーズでは,外付け型と装置一体型の両方に対応できるようになっている。また,トランスミッタは指向性を持っているため,トランスミッタのカバー範囲が検査部位全体を包含していないとプローブの位置によってはセンサの精度が低下することがある。そこでトランスミッタ固定用30°支持台を追加して取り付けることで,トランスミッタのカバー範囲が検査部位全体を包含しやすくなり,磁気センサの精度を損なわずに画像収集を行うことができる。
図2 装置一体型トランスミッタ
2.Patient Track
Smart Fusionを用いた画像観察を行うためには,超音波検査前にCT/MR画像と超音波画像との位置合わせを行うが,検査中に体位変換したり,トランスミッタと検査部位との位置関係が変わると,再度位置合わせをする必要が生じる。しかし,検査部位とトランスミッタの位置関係のズレを補正する“Patient Track”機能により,この問題を解決できる。Patient Trackとは,“Auto Track”デバイスを患者の体表に取り付けることによって,検査中に患者の身体が動いてしまった場合や,トランスミッタの位置がずれてしまった場合などに,その位置ズレを検出して自動的に補正する機能である。
原理的には,図3 aのようにPatient TrackがOFFの時,検査開始時に設定したトランスミッタの位置を基準としたCT/MRIボリュームの距離や,患者との距離を算出してSmart Fusion画像の表示を行っている。そのため,患者の体動などによりトランスミッタと患者との距離が変わった場合,再度位置合わせをする必要がある。これに対してPatient TrackがONの時には,図3 bのようにAuto Trackデバイスを基準とした距離を基にSmart Fusion画像を表示している。したがって,患者やトランスミッタが動いてもCT/MRIボリュームや患者の位置情報は変わらず,自動的に位置ズレの補正が可能となる。
図3 Patient Trackの概要図
●医用画像処理ワークステーション「Vitrea」
1.循環器領域用fusion imaging機能“US Cardiac Fusion”
ワークステーションVitreaでは,CTによる大動脈基部および冠動脈の形態解析結果と,超音波診断装置の“3D Wall Motion Tracking(以下,3D WMT)”による壁運動解析情報とをfusion表示するUS Cardiac Fusion(図4)機能を,オフラインの診断支援ツールとして提供している。
US Cardiac Fusionでは,CTと超音波診断装置の3DやMPR形式でのfusion表示だけでなく,3D WMTによるpolar mapや各セグメントのtime curve analysis(TCA)も同時に表示できる。
図4 US Cardiac Fusionの3D WMT解析結果表示例
2.セグメンテーション
Vitreaに搭載されている冠動脈解析機能では,CT画像の冠動脈を自動でトラッキングし,ラベリングすることができる。Vitreaで冠動脈をセグメンテーションしたCTのデータを超音波診断装置に読み込ませれば,心臓の超音波検査では描出が難しいとされている冠動脈の描出が容易になり,高精度な冠動脈ドプラによる評価を実施できる(図5)。
図5 冠動脈PWD検査をCT画像でガイドした例
(画像ご提供:岡山大学・高谷陽一先生)
*「Aplio」は,キヤノンメディカルシステムズ株式会社の商標
●参考文献
1)阿部康彦 : Aplio iシリーズの循環器アプリによる診断と治療への貢献. 映像情報メディカル, 50・3, 64~72, 2018.
●問い合わせ先
キヤノンメディカルシステムズ株式会社
広報室
TEL 0287-26-5100
https://jp.medical.canon/
