技術解説(キヤノンメディカルシステムズ)
2019年6月号
US Today 2019 超音波検査・診断最前線
超音波診断装置の特長と開発の方向性
浜田 聡明[キヤノンメディカルシステムズ(株)国内営業本部超音波営業部]
■「Aplio* i」シリーズ
キヤノンメディカルシステムズ株式会社の提供する超音波診断装置Aplio iシリーズ(図1)は,常に最新の技術で臨床応用の分野を広げてきた「Aplio」に加わった最上級シリーズである。本稿では,「Aplio i」シリーズに搭載された最新技術について紹介する。
図1 Aplio iシリーズ外観
■Differential THI:差音技術を用いた高画質化送受信技術
tissue harmonic imaging(以下,THI)では,高調波成分で画像を描出することでビーム幅が細くなることによる方位分解能の向上,サイドローブレベル軽減効果によるアーチファクトの軽減という効果が得られる。ただし,帯域が制限されるため,fundamentalの画像に比べて距離分解能の低下や,深部領域ではTHIの効果が得られにくいなどの問題点があった。
新たに開発された当社独自の高画質化技術“Differential THI”では,2つの周波数成分(f1,f2)を含む超音波パルスを送信し,二次高調波(2f1)だけでなく,差音成分(f2−f1)を受信することによって受信信号を広帯域化し,結果,従来のTHIに対して距離分解能の改善および深部感度の向上が図られる(図2)。
図2 Differential THIで使用する周波数
■iBeam Forming & iBeam Slicing:さらに高精細なBモード画像を実現
Aplio iシリーズの装置性能を最大限に発揮させるために,スライスの厚み方向にも超音波音場を制御可能な「ワイドバンドiDMSプローブ」を新たに開発した。同プローブを使用すると,“iBeam Slicing”技術で断層像の厚みを均一に薄くできることにより,にじみやボケ,余分な信号の混入が少ない鮮明な画像描出を実現できる。さらに,超広帯域な周波数帯域を利用できるので,従来は2本の周波数の異なるプローブを使い分けて実施していた検査を,1本のワイドバンドiDMSプローブで行えるようになった。
Aplio iシリーズは,ワイドバンドiDMSプローブとともに新たに開発された送受信技術“iBeam Forming”により,Bモード画質およびフレームレートが大きく向上した。iBeam Formingの機能中の“Multi-Sync Pulser”は,プローブの各素子に対してそれぞれ同時に異なる波形を重ね合わせて駆動することにより,深さ方向に連続的に絞れたビーム照射を可能とする。さらに,Multi-Sync Pulserで発生するパルスを理想的な帯域分布とし,THIで基本波成分をほぼ完全に消し去りノイズの少ない信号とすることで,深部感度,空間・コントラスト分解能の向上とアーチファクトやクラッタの低減を実現している。
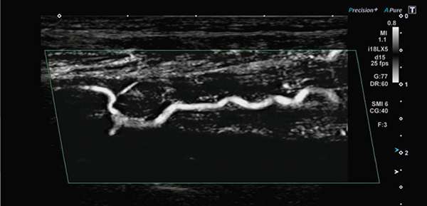
■Superb Micro-vascular Imaging:低速血流を高フレームレートにとらえる
“Superb Micro-vascular Imaging”(以下,SMI)は,当社独自のアルゴリズムを用いて低流速の可視化を実現した手法である。SMIでは,組織の動きと重なっているような低流速の血流を,組織の動きの特徴を解析して分離することで,従来のカラードプラ法と比べ,モーションアーチファクトが大幅に減少した血流像が表示できる。SMIの表示法として,モノクロの表示の“monochrome SMI(mSMI)”とカラー表示の“color-coded SMI(cSMI)”とがある。また,SMIは,従来のドプラ法と比較して,高分解能,高フレームレートかつ低ノイズを実現し,それゆえこれまで検出困難であった低流速の血流を高精細に描出できる血流表示法でもある。実際の下肢動脈のSMI像においてもノイズを抑え,高分解能に血流が描出されていることがわかる(図3)。
図3 閉塞性動脈硬化症のSMI像
*Aplioはキヤノンメディカルシステムズ株式会社の商標
【問い合わせ先】
広報室
TEL 0287-26-5100
https://jp.medical.canon/
