技術解説(キヤノンメディカルシステムズ)
2020年2月号
Cardiac Solution No.2[US]
Aplio i-seriesの最新技術による心臓超音波診断サポート
キヤノンメディカルシステムズ株式会社 超音波事業部超音波クリニカルソリューションプロジェクトチーム 本庄 泰徳
■技術紹介
キヤノンメディカルシステムズ社製プレミアム超音波診断装置の最上位機種である「Aplio i900」では,鮮明な画像を描出するための映像化技術と,日本超音波医学会第10回,第17回技術賞を受賞した“3D Wall Motion Tracking”や大動脈弁解析をはじめとする先進アプリケーション技術によって,循環器エコー診断を支えている。
映像化技術iBeam Formingは,次の3つの技術によって構成される。1つ目はMulti-Sync Pulserで,精度の高い波形形成を担い,Tissue Harmonic Imagingにおいて高純度な二次高調波の抽出を可能とする。2つ目のMulti-Beam Receiverは,一度に受信できるビーム本数を従来の装置から格段に増やし,フレームレートを落とすことなく方位分解能を向上させる。3つ目のMulti-Harmonic Compoundingは,Multi-Beam Receiverで受信した複数のビームを重ね合わせることで,細く鋭い均一なビームを形成する。
さらに,超音波ビームのスライス方向の音場を細く絞るためにintelligent Dynamic Micro Slice (iDMS)プローブを用いたiBeam Slicing技術を開発した。これにより,iDMSプローブのスライス方向に分割された振動子それぞれを独立して制御することで,スライス方向に対しても電子フォーカスが可能となっている。断層像の厚みを薄く均一にすることができ,コントラスト分解能の良い画像を提供できる。
以上のような浅部から深部まで鮮明かつ詳細に組織構造を描出できる映像化技術により,Aplio i900は基本画質の面から信頼度の高い診断をサポートする。
■プローブ紹介
Aplio i-seriesでは,心臓超音波検査に用いる体表用セクタプローブとして,「PSI-30BX」や「PST-65BT」などを取りそろえている。
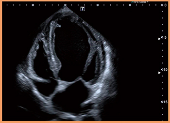
PSI-30BXは,高感度,広帯域,高スライス分解能を実現するとともに,iDMS技術により均一かつ高精細な画像を提供できるプローブである(図1)。また,経胸壁からのアプローチに合わせて最適化された先端形状と,操作性に優れたグリップ形状である。
図1 PSI-30BXによる心尖部四腔像
(画像ご提供:杏林大学・坂田好美先生)
PST-65BTは,小児循環器超音波検査向けに開発した新しいセクタプローブである。新生児から乳幼児の検査で高画質画像を提供する(図2)。従来の成人向けのセクタプローブからグリップ形状を一新し,小児領域向けに小型かつ把持性に優れたグリップとなっている。
また,経食道セクタプローブとしては,「PEI-512VX」や「PET-609MA」が使用できる。
図2 PST-65BTによる小児心臓のCDI像
(画像ご提供:長野県立こども病院循環器センター・安河内 聰先生)
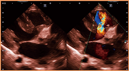
PEI-512VXは,マトリックスアレイ技術を採用し,短時間で高解像度のボリュームデータを取得可能な3D経食道プローブである(図3)。挿入性に優れた先端部形状と,把持しやすい操作部形状が特長である。また,X線が透ける素材を使用しているので,治療用のデバイスとプローブの先端が重なったとしても,ストレスなく手技を実施することが可能である(図4)。
図3 PEI-512VXによる僧帽弁のマルチプレーン像および3D像
(画像ご提供:聖マリアンナ医科大学・出雲昌樹先生)
図4 TAVI中のPEI-512VXのX線像
(画像ご提供:聖マリアンナ医科大学・出雲昌樹先生)
PET-609MAは,体格が小さい幼児や小児を対象とした新しいマルチプレーン経食道プローブである。上下屈曲操作が可能で,導中管の直径は従来のプローブと比べて約30%減ときわめて細く,高い空間分解能と時間分解能に加え,優れた操作性を有している。また,成人の経食道検査においても,血栓確認に使用できるのではないかという評価もいただいている(図5)。
図5 PET-609MAの成人心臓断層像
(画像ご提供:桜橋渡辺病院心臓血管センター・大西俊成先生)
■虚血性心疾患に対する診断支援アプリケーション
Aplio i-seriesには,虚血性心疾患の診断を支援する代表的な解析アプリケーションとして,Auto EF計測,“2D Wall Motion Tracking(WMT)”,“3D WMT”が搭載されている。
Auto EF計測は,2D WMTのトラッキング手法を応用し,ワンタッチ操作で自動計測を行う。計測結果にはBi-Plane Disk法のEFだけでなく,心筋ストレインの指標となるGlobal Longitudinal Strain値も同時に出力されるため,ルーチン検査での心機能評価をすばやく簡単に行うことができる(図6)。
図6 Auto EF計測による左室機能評価
2D WMTは,独自のスペックルトラッキング手法による左室機能評価用アプリケーションである。拡張早期のストレイン比から虚血のサインを検出し,虚血疑いの領域を標識してマッピングすることで,局所的な心筋の動態を客観的かつ定量的に評価できる(図7)。
図7 2D WMTによる左室機能評価
(画像ご提供:岡山大学・高谷陽一先生,当社にて解析を実施)
3D WMTでは,2D WMTの欠点である心拍による解析断面のズレの影響が克服され,心臓の動きを三次元的にとらえられるため,より正確に心機能を評価することが可能となる。本機能を右室解析用に発展させた“3D RV Tracking”では,右室を7分画に分割し,局所的な心筋収縮動態評価が可能となる(図8,9)。
図8 3D RV Trackingによる右室機能評価
(画像ご提供:杏林大学・坂田好美先生)
図9 3D RV Trackingによる右室7分割表示
■Structural Heart Disease(SHD)に対する支援アプリケーション
SHDに対する支援アプリケーションとしては,僧帽弁解析ソフトウエア“Mitral Valve Analysis(MVA)”および大動脈弁解析ソフトウエア“Aortic Valve Analysis(AVA)”が搭載されている。
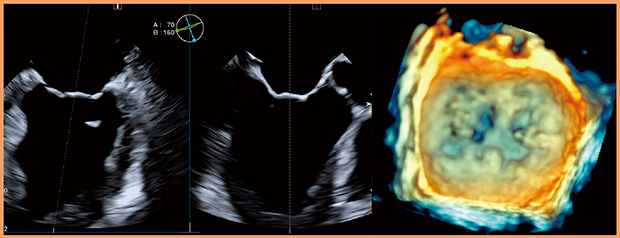
MVAでは,1心周期の動画解析が可能となっており,マイトラクリップ前後の弁輪部や弁口面積などの計測を可能としている(図10 a)。
AVAは,TAVIに特化した支援アプリケーションである。大動脈弁が観察可能な3D画像上で軸の設定を行い,ワンクリックで自動的にトレースラインが決定される。装置上で簡単に解析が可能なため,TAVIの術場においても利用できる(図10 b)。
さらに,生体弁の種類・サイズを選択すると弁輪径や弁輪面積の目安を示す機能も実装されており,実際の計測値と比較することが可能である。
図10 MVAによる解析結果(a)とAVAによる解析結果(b)
(画像ご提供:聖マリアンナ医科大学・出雲昌樹先生)
■最先端技術への取り組み
最後に,キヤノンメディカルシステムズは,医療現場や共同研究先(例:月刊インナービジョン2020年1月号掲載の国立循環器病研究センターなど)と連携して新技術開発に精力的に取り組んでおり,これからも最先端技術で循環器医療に貢献していく。
