セミナーレポート(富士フイルムメディカル)
一般社団法人日本心エコー図学会第29回学術集会が2018年4月26日(木)〜28日(土)の3日間,アイーナ いわて県民情報交流センター(岩手県盛岡市)にて開催された。26日に行われた株式会社日立製作所共催のランチョンセミナー1では,岩手医科大学医学部小児科学講座教授の小山耕太郎氏を座長に,山口大学医学部附属病院検査部講師の和田靖明氏と埼玉医科大学総合医療センター小児循環器部門准教授の増谷 聡氏が,「心不全の正確な診断に向けて—血行動態からみた心エコー検査—」をテーマに講演した。
2018年8月号
一般社団法人日本心エコー図学会第29回学術集会ランチョンセミナー1 心不全の正確な診断に向けて─血行動態からみた心エコー検査─
心不全の正確な診断に向けて ─血行動態からみた心エコー検査─
和田 靖明(山口大学医学部附属病院検査部)
日本は現在,超高齢社会に突入しており,65歳以上の人口は,2030年には3人に1人,2055年には5人に2人にまで増加すると推定されている。それに伴い,心不全の新規患者数が増加することが予想されており,2030年には約130万人に達すると報告されている1)。こうした状況においては,心エコーでいかに正確に心不全の診断を行うかが重要となる。本講演では,心不全の正確な診断および治療効果判定に有用な,日立が提案する“心不全パッケージ”の有用性を報告する。
心房細動を合併した心不全症例の評価の課題
心不全の評価に当たっては,左室の収縮機能と拡張機能の評価が重要であり,まず心筋自体の特性として心筋収縮と能動弛緩・受動拡張を考え,そこから生み出される循環動態として拍出量や充満圧を測定し評価する。Frank-Staringの法則において正常心と不全心の前負荷のかかり具合による拍出量に違いがあるとされており,Forrester分類と組み合わせることで,1回拍出量と前負荷(左室充満圧・左房圧)を用いて心不全の評価を行う。2D心エコーにおいてMethod of Disks法を用いた左室容量または1回拍出量を求める。ドプラ法を用いて左室の流出血流を計測し,1回拍出量を評価する。
左室拡張機能の評価においては,American Society of Echocardiography(ASE)のガイドラインが2016年に変更された2)。ガイドラインのフローチャートは2つに分かれており,まず1つ目のフローチャートに則って心臓の拡張機能を分類する。さらに,拡張機能の悪い分類に対しては,2つ目のフローチャートに則って左房圧の推定などを含めた分類を行う。しかし,実際にはこの診断アルゴリズムを適用できないことが多々あり,その一つが心房細動である。心房細動も加齢とともに有病率が高くなり,今後は心不全と心房細動を合併した患者が増加すると予想されることから,心房細動でも心不全の正確な診断ができるか否かが重要となる。
日立製の超音波診断装置「LISENDO 880」では,“2D Tissue Tracking”“Dual Gate Doppler”“Vector Flow Mapping”“R-R Navigation”の4つのアプリケーションを,心不全を正確に総合診断するための心不全パッケージとして提案している。本講演ではこのうち,心房細動合併心不全症例における有用性が期待されるR-R NavigationとDual Gate Dopplerについて紹介する。
R-R Navigationの有用性
1.心筋の収縮機能評価における有用性
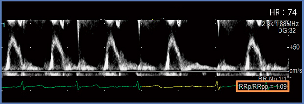
心房細動の不規則な心室興奮によって心拍ごとに左室駆出血流が異なる場合,計測する心拍の先行R-R(RRp)と先々行R-R(RRpp)がほぼ等しい区間を測定すると,1心拍で計測できることが知られている3)。従来,この先行R-R≒先々行R-Rとなる心拍は見た目で判断されてきたが,R-R間隔補正機能であるR-R Navigationを用いれば,先行R-Rと先々行R-Rの間隔がほぼ等しい,計測に最適な心拍が自動で検出される(図1)。画面右下(図1□)にはRRp/RRppの値が表示され,これが1に近いほど先行R-Rと先々行R-Rの間隔がより等しいということである。検出範囲は施設ごとに設定可能で,例えば±20%以内と設定すればRRp/RRpp 0.8〜1.2の心拍が選択される。
図1 R-R Navigationによる1心拍での先行R-Rと先々行R-Rの正確な計測
2.心房細動症例の拡張機能評価における有用性
一方,拡張機能を示す心エコー指標は収縮機能と異なり,左室流入血流速波形(transmitral flow:TMF)の拡張早期波高(E)と僧帽弁輪運動速波形の拡張早期波高(e’)の比であるE/e’は,RRp/RRppと相関していないことが報告されている4)。そこで,ASEガイドラインでは,心房細動症例の左室拡張機能評価の指標の測定に,連続10心拍の平均値,あるいは平均心拍数に近い心周期長の任意の3心拍の平均値を用いることが推奨されている。
心房細動では心房ブースターポンプ機能の消失により左房収縮期血流波形(A波)が消失するため,左室拡張能指標の一つであるE/Aの関係が見られない。そのため,ASEガイドラインのフローチャートにおいて拡張不全に分類された症例に対しては,(1) 左室前負荷:E/e’>14,(2) 肺高血圧:三尖弁逆流最高流速>2.8m/s,(3) 左房拡大:左房容積係数>34mL/m2を用いて左室充満圧の推定を行う。一方,心房細動では不規則な心室興奮が見られることから,(1) は一部の症例で評価不能,また左室充満圧とは無関係に左房が拡大することから(3) は全症例において評価不能となる。(2) の三尖弁逆流最高流速から求める肺高血圧の有無は,肺疾患がない場合は左房上昇が評価できる。三尖弁逆流最高流速は右室の収縮機能に影響を受けるため,1心拍で計測するためには先行R-Rと先々行R-Rの間隔が等しいところを用いる必要がある。そこで,R-R Navigationで示されたTR velocityの値から肺高血圧が認められれば左房圧の上昇を疑う(図2)。なお,EF低下例に限ると,E波のdiceleration time(DT)が160ms以下に短縮している場合は左房圧が上昇している可能性があることが,ASEガイドラインに示されている。
図2 R-R Navigationを用いたTR velocityの計測
また,心房細動症例の拡張機能評価に使用可能なそのほかの指標として,E波高のpeak acceleration rate(≧1900cm/s2),等容弛緩時間(IVRT)≦65ms,pulmonary venous(PV)flowのD波のDT(≦220ms),E/propagation velocity(Vp) ratio(≧1.4),心室中隔のE/e’ ratio(≧11)の5項目が示されている。ASEガイドラインでは,E波のDTも含め,これらの指標を前述の任意の3心拍の平均値から求めるとしているが,E波高の測定時にR-R Navigationを適用すれば任意の3心拍を選択する際の支援となり(図3),検査時間の短縮にもつながる。特に,E波高のpeak acceleration rateとPV flowのD波のDTの計測に非常に役立つと思われる。
図3 R-R Navigationを用いたE波高の測定
Dual Gate Dopplerの有用性
Dual Gate Dopplerは,同一心拍で2か所のドプラ波形を同時に計測できる機能である。同一心拍の左室の流入血流と流出血流の同時計測など血流ドプラと血流ドプラの組み合わせのほか,組織ドプラと組織ドプラ,血流ドプラと組織ドプラの同時計測も可能である。通常,心房細動症例ではIVRTの計測が困難であるが,Dual Gate DopplerにR-R Navigationを併用して流入血流と流出血流を同時計測することで,正確なIVRTの計測が可能となる(図4)。
図4 Dual Gate DopplerとR-R Navigationの併用によるIVRTの計測
また,心房細動症例でEとe’をおのおの任意の3心拍の平均値から求めると,同一心拍のE/e’ではないという問題がある。そこで,Dual Gate Dopplerを用いれば同一心拍のE/e’が計測可能となり,さらにR-R Navigationで選択された心拍を用いることで,より正確な評価が可能になると考えられる(図5)。つまり,R-R NavigationとDual Gate Dopplerを併用することで,心房細動症例でもASEガイドラインに示されたE波高のpeak acceleration rate(≧1900cm/s2),IVRT≦65ms,PV flowのD波のDT(≦220ms),E/Vp ratio(≧1.4),心室中隔のE/e’ ratio(≧11)の5項目すべてが評価可能となり,左室充満圧の推定が容易に可能となる。
図5 Dual Gate DopplerとR-R Navigationの併用による同一心拍でのE/e’の計測
●参考文献
1)Okura, Y., et al., Circ, J., 72・3,489〜491, 2008.
2)Nagueh, S. F., et al., J. Am. Soc. Echocardiogr., 29・4, 277〜314, 2016.
3)Sumida, T., et al., J. Am. Soc. Echocardiogr., 16, 712〜715, 2003.
4)Kusunose, K., et al., JACC Cardiovasc. Imaging, 2・10, 1147〜1156, 2009.
和田 靖明(Wada Yasuaki)
1997年 鳥取大学医学部医学科卒業。2003年 山口大学大学院医学研究科修了。2010年 同大学医学部附属病院先進救急医療センター助教。2012年より同院検査部講師。
- 【関連コンテンツ】
