セミナーレポート(富士フイルムメディカル)
一般社団法人日本心エコー図学会第30回学術集会が2019年5月10日(金)〜12日(日)の3日間,松本キッセイ文化ホール(長野県松本市)にて開催された。11日(土)に行われた株式会社日立製作所共催のランチョンセミナー8では,大阪大学大学院医学系研究科保健学専攻機能診断科学講座教授の中谷 敏氏を座長に,名古屋市立大学大学院医学研究科心臓・腎高血圧内科学助教の若見和明氏と埼玉医科大学総合医療センター小児科・小児循環器部門准教授の増谷 聡氏が,「拡張不全への新しいアプローチ─小児から成人まで」をテーマに講演した。
2019年8月号
一般社団法人日本心エコー図学会第30回学術集会ランチョンセミナー8 拡張不全への新しいアプローチ─小児から成人まで
拡張不全への新しいアプローチ ─小児からのメッセージ
増谷 聡(埼玉医科大学総合医療センター小児科・小児循環器部門)
小児における拡張不全への新しいアプローチをテーマに,小児のHFpEF,拡張能について,心機能評価のための心エコーの新機能,心エコーを深めるために追加すべき検査について述べる。
小児のHFpEF
HFpEFとは左室駆出率(EF)が保たれた心不全で,高齢,高血圧,女性に多い病態であるが,小児にもHFpEFが存在することがわかってきた。
総肺静脈還流異常症術後の1歳,女児の例では,血行動態が水分に敏感で,水分過多では肺うっ血を来し,水分不足では低血圧となり,腎機能が悪化してクレアチニン値が上昇した。一方,心エコーでは目立った所見はなく左室壁運動は良好であり,胸部X線でも心拡大は見られず,心臓カテーテル検査でも拡張末期圧が10mmHgとやや高い程度であった。拡張末期圧断面積関係(EDPAR)を構築したところ,右室面積変化率(FAC)は50%以上あり,EFも保たれていたが,腹部圧迫により前負荷を増大させると,左室拡張末期圧(EDP)が10mmHgから28mmHgへと上昇し,EDPARは急峻に増大した。収縮末期圧断面積関係も急峻であり,心室や血管が硬いことが明瞭に示され,小児でもHFpEFの病態が存在することを確信した。
小児でHFpEFとHFrEF(EFが低下した心不全)の症例を比較すると,脳性ナトリウム利尿ペプチド(BNP)はHFrEFの方が高いが,レニン−アンジオテンシン系はHFpEFの方がはるかに高く(BNPよりアルドステロン優位),これが血管や心室の硬さに関与していると考えられる。また,EDPを見ると,HFpEFでは腹部圧迫によってベースラインから大幅に上昇するほか,EDP上昇幅は左室の硬さ(stiffness)と正の相関を示した。
拡張能について
拡張能は,弛緩,サクション(吸引),stiffnessである。ここでは,弛緩とstiffnessについて述べる。
左室圧曲線にて,収縮末期圧からの等容弛緩期で圧が急峻に低下するほど良好な弛緩である1)。圧の低下が緩やかであると時定数τが大きくなり,充満にも悪影響を与える。心臓をある容積まで膨らませる際に,stiffnessが大きい(心臓が硬い)と,より高い拡張期圧を要する1)。これは,拡張末期圧容積関係で評価可能であり,圧の急峻な増大はstiffnessβの増大として表されるが,実臨床で求めるのは困難である。そこで,より簡便な方法として,拡張期に心室を膨らませるのに必要な圧を左室1回拍出量係数で割ることでstiffnessを概算する。
左室圧が急峻に低下する良好な弛緩では,左房に対して陰圧となることでサクションを生じ,E波(僧帽弁流入波形)が生じる。E波は,左房圧より左室圧が下回った時に発生し,左房圧の方が高い間は加速を続け,左室圧の方が高くなると減速する。A波(心房収縮期最大流速)のピークは左室圧と左房圧の交点で,その後に拡張末期圧が来る。
E波のピークの前後で組織ドプラのe’波が生じる。e’波は拡張早期に僧帽弁輪が長軸方向に伸びる速さであり,弛緩が良好であるほど(弛緩時定数が小さいほど)e’波が大きくなる。また,心室が硬いとdeceleration time(DT:E波の下降時間)が短縮し,E/e’は拡張末期圧と相関する。
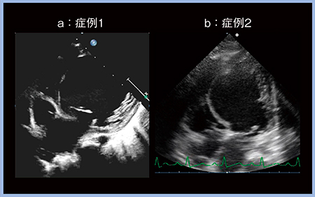
小児でe’波,DT,E/e’を検討すると,弛緩が悪くなるほどe’波は小さくなり,stiffnessが上がるほどDTが短くなり,EDPが上がるほどE/e’が大きくなるが,実際にはバラツキが非常に大きい2)。僧帽弁流入波形は,拡張能の悪化に伴いE/Aはいったん1を下回ってから再び上昇し,DTは逆にいったん上昇してから再び低下し,e’波は拡張能の悪化に伴い単調に低下すると言われている1)。僧帽弁流入波形から拡張能の悪化の程度を見ると,4つに分類できるが(図1a〜d),実際の小児の2症例(症例1,2)の波形(図1下段)はどちらもDTが非常に短く,bとdの両方の特徴を持つ波形である。したがって,実際の症例をこの4パターンのみで語ることはできない。症例1,2は同様の流入波形だが,両者の重症度は大きく異なる。症例1は肺うっ血が強く,BNPが1300〜6500pg/mLときわめて高値だが,症例2は60〜130pg/mLとやや高値であるものの,心不全入院はない。超音波の心尖部四腔断面像(図2)では,症例2も健常例より左室機能が低下しているが,右室機能は良好であり,全体として代償されていると考えられる(b)。
このように,拡張能を単一指標で語るのは困難である。ASE/EACVIガイドラインの心エコーの拡張能評価アルゴリズム3)も複雑になっているが,重要なのは,明らかな異常値でなくても異常を否定せず,一つの指標に頼ることなく負荷試験なども行って総合的に評価することである。
図1 僧帽弁流入波形のバターン分類と実際の症例の波形(症例1,2)
図2 心尖部四腔断面像(症例1,2)
心機能評価のための新機能
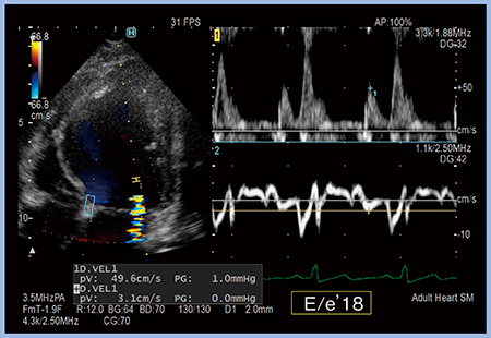
症例2について,同一心拍で2か所のドプラ波形を同時に計測可能な“Dual Gate Doppler”で計測すると,E/e’は18と高値であった(図3)。
“2D Tissue Tracking”は,スペックルトラッキングをきわめて簡便に解析し,Global Longitudinal Strain(GLS)を算出できる。症例2を解析すると,収縮および拡張の間隔にバラツキが見られ,GLSも−10.74%と低値であり(図4),左室機能が低下していることがわかる。
図3 Dual Gate Doppler(症例2)
図4 2D Tissue Tracking(症例2)
“Vector Flow Mapping”(VFM)は,血流をベクトルを用いて可視化する機能で,ROIの設定から補正,解析までを約3〜4分で行うことができる。Relative Pressure Imagingは速度ベクトル分布から,Navie-Stokesの式に基づき断層面内の相対的な圧較差分布を表示する機能で,断層面内に基準点を設け,基準点より高い場合を暖色系,低い場合を寒色系カラーで可視化し,心腔内圧を断面でとらえることが可能である(図5)。例えば,共通房室弁を合併した単心室の症例では,異なる流入方向の圧較差の評価もできる。本機能を臨床でどのように生かしていくかは今後の検討課題であるが,将来性のある技術であると考える。
図5 Vector Flow Mapping(Relative Pressure Imaging)の概要
(画像提供:株式会社日立製作所)
エコーに加えて
エコーを深めていくためのプラスアルファとして,中心静脈圧測定(CVP)の評価を挙げる。内科診断学の基本としては頸静脈を見る。採血時には血液水柱の高さから末梢静脈圧(PVP)を測定するのは容易であり,PVPからCVPを精度良く推定できる4)。
イヌの肺動脈楔入圧(PCWP)とCVPの関係の検討では,PCWPとCVPに相関は見られるが,バラツキが大きかった5)。しかし,CVPに三尖弁と僧帽弁のs’の比を掛ける〔CVP・ST/SM(mmHg)〕とPCWPとの相関が飛躍的に良好となり,PVPにST/SMを掛け〔PVP・ST/SM(mmHg)〕ても左心系の充満圧がよく推定できると報告されている5)。この時,Dual Gate Dopplerを用いて組織ドプラを三尖弁と僧帽弁の2か所で測定し,s’を同時に測定すれば,より精度が向上する可能性がある。今後,小児でも検討していきたい。
拡張能が良い左室とは,サクションが良好に働き,運動時にも左房圧を上げずに心拍出量を増やせる左室であると言える。一方,拡張不良な左室は,左房圧が安静時に高く,運動するとさらに上昇し,心拍出量を十分に増やすことができない。末梢静脈ラインを圧トランスデューサにつなげば静脈圧を連続的にモニタリング可能であることから,運動負荷試験を行いながらCVPを連続的に評価することで,運動時のCVP変化を評価できる。例えば,フォンタン術後の患者は安静時のCVPが高く,運動時のCVP上昇も大きい。その上昇は,静脈容量が低下したフォンタンで大きい。現在,さまざまな運動負荷試験の重要性が言及されているが,今後はPVPのモニタリング併用を提案したい。
まとめ
エコーで拡張能の何を見ているのか,それは本当に拡張能なのかという視点も必要である。VFMによりサクションの定量化が容易となったが,今後はその意義や限界を検討したい。また,安静時だけの評価では限界があることから,負荷時の評価が重要である。エコー評価で静脈圧評価やDual Gate Dopplerの併用は有用と考える。
●参考文献
1)増谷 聡・他,日本小児循環器学会雑誌,32・4,277〜290, 2016.
2)Masutani, S., et al., Heart Vessels, 29・6, 825〜833, 2014.
3)Nagueh, S.F., et al., Eur. Heart J. Cardiovasc. Imaging, 17・12, 1321〜1360, 2016.
4)Mastani, S., et al. J. Thorac. Cardiovasc. Surg., 153・4, 912〜920, 2017.
5)Uemura, K., et al., Heart Vessels, 30・4, 516〜526, 2015.
増谷 聡(Masutani Satoshi)
1994年 東京大学医学部医学科卒業。同大学医学部小児科入局。太田西ノ内病院を経て,1999年から埼玉医科大学で小児循環器診療に当たっている。2004~2006年 Wake Forest大学Section on Cardiologyに研究留学。2012年~埼玉医科大学総合医療センター小児循環器部門准教授。
- 【関連コンテンツ】
