セミナーレポート(富士フイルムメディカル)
Ultrasonic Week 2019が,2019年5月24日(金)〜26日(日)の3日間,グランドプリンスホテル新高輪(東京都港区)にて開催された。26日に行われた株式会社日立製作所共催のランチョンセミナー11では,日本大学医学部附属板橋病院乳腺内分泌外科部長の櫻井健一氏を座長に,済生会松阪総合病院乳腺外科の柏倉由実氏と川崎医科大学総合医療センター外科部長 / 同大学総合外科学特任教授の中島一毅氏が,「乳腺超音波検査における今と今後」をテーマに講演した。
2019年9月号
Ultrasonic Week 2019 ランチョンセミナー11 乳腺超音波検査における今と今後
乳房超音波検査の今と今後 Comprehensive Ultrasound
中島 一毅(川崎医科大学総合医療センター / 同大学総合外科学)
われわれは以前,超音波Bモードにエラストグラフィによる硬さの情報とドプラ法による血流の情報を追加した“Comprehensive Ultrasound”の概念を提唱し,その有用性について発表してきた。2mmの乳管内進展など微小病変でもエラストグラフィで評価・描出可能であり,乳がん手術における切除断端陽性率を大幅に低減できることも論文報告している1)。また,日常臨床で高頻度に遭遇する乳管内乳頭腫もComprehensive Ultrasoundで診断可能であり,生検のコスト削減や患者の負担軽減にも貢献すると考えている。現在,Bモード,エラストグラフィ,ドプラ法に加えて造影超音波が保険適用となり,これら4つの柱をComprehensive Ultrasoundとして診断の組み立てに利用できるようになった。本講演ではComprehensive Ultrasoundに役立つ日立製の超音波診断装置「ARIETTA 850」の最新技術について,症例を踏まえて報告する。
エラストグラフィの新技術
われわれは,日立との共同研究によりStrain Ratioの自動化プログラム“Auto Strain Ratio System(ASRS)*”を開発してきた2)。Strain Ratioはエラストグラフィでの診断手法の一つで,2種類の組織(乳房では脂肪と腫瘍)にROIを設定し,その歪み比を定量評価する手法であるが,剪断波を用いて加振を行うShear Wave Elastographyに対し,用手的加振を行うStrain Elastographyでは検査者の技術依存性が懸念される。そこで,検査者の誤差の原因となる加振手技や,計測に適したフレームの選択,計測するROIの設定の自動化・標準化をめざした。具体的には,加振に関しては,プローブを動かさずに皮膚に当てるだけの“No Manual Compression法”とし,計測に最適なフレームの選択には,歪み方向が均一でないフレームを“フレームリジェクション機能”により表示から除去した上で,その前後を補完して画像を作成するプログラムを付加,さらに計測すべきROIの位置と大きさは,最適な位置をBモードの輝度変化率を基に自動選択する機能を追加した。これにより,誰でも安定した結果が得られるような自動化プログラムとして完成した。
本機能を検証するための前向き臨床試験として,ASRSと当科の3名の医師による計測を比較したところ,ほぼ相関しており,ROC解析ではむしろASRSの方が優れているという結果となった。さらに,この研究ではASRSにより線維腺腫と浸潤癌の鑑別などがある程度可能であり,再現性の高い臨床上有用な機能であることが証明できた。
画質向上に貢献する新技術
1.半導体技術を用いた超広帯域リニアプローブ「4G CMUT」
従来の超音波プローブは,分解能を上げるため非常に高周波帯化しているので,透過性が低くなっており,浅部の画像は詳細かつ境界明瞭に描出されるが,深部の画像は粗く不明瞭に描出される。さらに,周波数と空間分解能はほぼ反比例するため,比較的低周波数帯成分を多く使用する深部ではフレームレートも低下する。そこで,これらの課題を解消するために,新しい概念の超音波プローブの開発が行われた。
体表超音波検査で超音波減衰が最も著しいのは皮膚透過部である。これは皮膚の音響インピーダンスが素子と大幅に異なるためなので,従来のプローブでは音響整合層を何層にも重ねて皮膚での超音波の反射減衰を軽減しているが,至適周波数帯以外では超音波の伝搬効率が大幅に低下する欠点がある。新開発の4G CMUTでは,振動膜が薄く軽くなり,音響インピーダンスが生体に近いため整合層が不要となり,透過性の向上とともに,超音波伝搬効率が大幅に改善した。さらに,点音源によって生体に理想的なパルス波を送信可能となったことで,低周波数でも高解像度が得られる超広帯域特性を達成し,結果として超音波透過性と分解能の両立を実現した。音響出力の指標であるMI値も従来の半分程度となった。このMI値の低下は造影超音波検査でアドバンテージとなる。また,超音波素子のマトリックス化によりビーム幅方向にもフォーカシングが可能であり,ビームフォームが深部まで最適化可能となった。
2.新しい送受信技術“eFocusing”
画質向上に貢献するもう一つの新技術であるeFocusingは,送信ごとに広域受信を行い,各受信点で信号を合成することでSNRを向上するほか,浅部から深部までダイナミックなフォーカスを実現したことで,フォーカス深度の手動設定が不要となっている。これにより,浅部から深部まで均一で高画質な画像を誰でも簡単に得られるようになっている。4G CMUTとの組み合わせは超音波診断装置として理想的であると言える。
症例提示
1.甲状腺との相性
4G CMUTは甲状腺の描出がきわめて良好である。症例1は,甲状腺がんリンパ節転移である。低流速の血流を表示する新しいイメージング技術“Detective Flow Imaging”(DFI)を用いることで,頸動脈の拍動の影響を受けることなく血管走行が描出されており,リンパ節転移も明瞭に診断可能である(図1)。
図1 症例1:甲状腺がんの血管走行およびリンパ節転移の描出
2.高透過性+高分解能の有用性:甲状腺
4G CMUTは,高透過性+高分解能に加え,超音波ビームが点音源で広がるため反射や散乱を起こしにくいことから,特に甲状腺の描出に適しているようである。
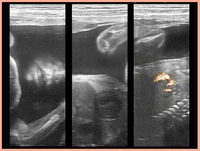
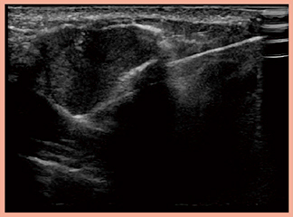
症例2はびまん性硬化型乳頭癌で,微細石灰化を多数伴うため,通常の超音波では石灰化表面で超音波が反射して描出不能となることが多いが,4G CMUTでは石灰化の状態だけでなく,内部血流までが明瞭に観察可能である(図2)。また,甲状腺乳頭癌の術前評価においては,術後気管切開の必要性を判断するために気管浸潤の有無を評価する必要があるが,症例3では4G CMUTにて気管と腫瘍との境界が明瞭に描出され,術前に浸潤なしと判断できた(図3)。
このように,従来のプローブでは超音波の反射や散乱などによる透過性の低下によって評価が困難であった腫瘍の後方などを観察可能となったことは,術前評価においてきわめて有用である。
図2 症例2:びまん性硬化型乳頭癌の石灰化(a),血流(b),エラストグラフィ(c)の描出
図3 症例3:甲状腺乳頭癌の気管浸潤の有無の評価
3.高透過性+高分解能の有用性:乳房
4G CMUTでは,乳がんの術前化学療法後のマーキングクリップや,乳房の一次再建術後に注入したエキスパンダーの後方も良好に視認できる。超音波ガイド下手術での線維腺腫の摘出術に用いる外科剪刀も,4G CMUTでは反射が非常に少なく描出でき,さらに,高い透過性により病変を明瞭に確認できるため(症例4:図4),切除マージンをほぼゼロに切除できる点も魅力的である。
図4 症例4:線維腺腫の超音波ガイド化手術
4.Vascularity評価の可能性
4G CMUTは,周波数が2〜22MHzと超広帯域である上,音響出力が低いため,理論上,ソナゾイド造影超音波が可能である。実際に,乳がんの症例(症例5)を低音圧で撮像したところ,血管の走行がかなり緻密かつ高コントラストに描出された(図5)。乳腺悪性リンパ腫においても同様の画像が得られている。腫瘍内音速が速くフォーカスがずれやすい病変でも血管のフォーカスが比較的安定しているのは,eFocusingとの相乗効果と考えられる。
症例6は乳がんの術前化学療法後で,造影超音波にて残存する腫瘍血管が明瞭である(図6)。将来的には乳がんの化学療法後に切除を行わない時代が来ると考えられており,その場合,治療方針を決定する上で重要な新生血管の評価に,造影超音波は欠かせないツールになると考えている。
図5 症例5:乳がんのソナゾイド造影超音波
図6 症例6:乳がん術前化学療法後の腫瘍血管の残存の評価
新しい領域への可能性
4G CMUTは,超広帯域化したことで,プローブを持ち替えることなくさまざまな領域の検査が可能であり,非常に便利である。実際に,乳腺の設定のまま胎児を撮像したところ,顔のしわや唇の動き,心臓の動き,臍帯血流などが明瞭に描出された(図7)。先天的な胎児異常の診断や胎児手術のガイドにも有用と考えられた。さらに,4G CMUTの高い透過性により,骨の後方や,双子の羊膜の境界,頭蓋内の構造まで視認可能であり,高い将来性を感じている。
図7 4G CMUTによる胎児の描出
4G CMUTの可能性
4G CMUTは,高透過性+高分解能+低周波数の撮像が可能で,浅部から深部まで均一な画像を高分解能に表示可能である。超音波減衰に強く,通常は影となる部分も描出できるため,手術器具やクリップなども視認でき,外科的にも非常に有用である。領域としては,特に甲状腺との相性が良好で,Bモードはもとより血流評価においても高画質が得られる。外科領域での有効性がきわめて高く,乳腺・甲状腺以外の領域にも使用可能なことから,今後の発展に期待したい。
* Auto Strain Ratio System(ASRS)は,Auto Frame Selection(AFS)とAssist Strain Ratio(ASR)の2つを組み合わせたものです。
●参考文献
1)Nakashima, K., Moriya, T., Breast Cancer, 20・1, 3〜13, 2013.
2)Nakashima, K., et al., J. Med. Ultrason.(2001), 45・2, 261〜268, 2018.
中島 一毅(Nakashima Kazutaka)
1988年 山口大学医学部卒業。1995年 同大学大学院修了。2002年 川崎医科大学乳腺甲状腺外科学講師。2012年 同大学総合外科学准教授。2016年 同外科副部長。2019年~同特任教授,総合医療センター外科部長。
- 【関連コンテンツ】
