ユーザー訪問
池本脳神経クリニック
検査時間の短縮が可能なAPERTO Lucent Plusへの更新でより迅速・快適な検査をめざす
優しさを“プラス”した検査をより多くの患者に提供
2021-5-25
2011年に兵庫県芦屋市で開業した池本脳神経クリニックは,開業当初から使用していた日立社製0.4TオープンMRI装置「APERTO Lucent」を,2021年1月に最新装置「APERTO Lucent Plus」に更新した。新たに搭載された高速撮像技術“IP-RAPID”や自動化機能“AutoExam”を活用し,迅速かつ快適なMRI検査を提供している。さらに,MRIボア内映像投影システム「Smart Theatre」を導入,よりハードルの低いMRI検査の実現をめざしている。APERTO Lucent Plusの使用感や今後の展望について,池本秀康院長と診療放射線技師の下田 賢技師に取材した。
地域のホームドクターとして住民の脳と神経の健康を守る
池本脳神経クリニックは,JR芦屋駅から徒歩5分の閑静な住宅街にある。池本院長は,大学病院などでの勤務を経て開業を決意。芦屋で初のMRIを備えた脳神経クリニックを,2011年6月に開設した。
1日の来院患者数は約40人で,頭痛やめまい,しびれ,物忘れなどの主訴が多い。比較的高齢の地元住民が多く来院するほか,近隣のクリニックなどからの紹介も受け入れており,「身近なあなたの脳と神経を守りたい」を理念に,地域のホームドクターとしての役割を担っている。
同クリニックは,日立社製のMRIはじめ一般撮影装置,超音波診断装置のほか,脳波装置,脈波装置などを備え,看護師3名,臨床検査技師2名,診療放射線技師2名,医療事務5名の体制で運営している。MRI検査の多くは頭部が対象で,ほかに頸椎や腰椎検査なども行っている。現在は,新型コロナウイルス感染症対策のためほぼ予約制で,1日10件の予約枠に加え,近隣施設からの紹介や急患用の検査枠などを設けている。
池本秀康 院長 |
下田 賢 技師 |
高速撮像技術IP-RAPIDで約20%の時間短縮を実現
2011年の開業時,MRI装置として日立社製APERTO Lucentを選択,導入した。その理由について池本院長は,「CTも検討しましたが,頭部の検査が主になるため,MRIを第一選択としました。また,オープンMRIを念頭に置いていたことから,その中でも,磁場強度の高いAPERTO Lucentを選択しました」と話す。更新時期を迎え,高磁場装置も検討したが,改装工事の問題などもあり断念していた。そんな時,フルモデルチェンジされたAPERTO Lucent Plusが2020年11月に発売されたことで,更新を決意したという。
APERTO Lucent Plusには,日立社製超電導型1.5T MRI装置「ECHELON Smart Plus」に搭載された高速撮像技術IP-RAPIDや自動化機能AutoExamが新たに導入された。IP-RAPIDは,アンダーサンプリングと繰り返し演算処理を活用した画像再構成演算を適用,画質の維持と撮像時間の大幅な短縮の両立を可能にする。同時に,従来の撮像時間のまま,画質を向上させることも可能だ。
池本院長は,IP-RAPIDについて,「最大のメリットは高速撮像による検査時間の大幅な短縮です」と話す。同クリニックのMRI検査は3パターンのルーチン検査を設定しており,初診や再診,フォローアップなどの目的に応じて撮像シーケンスを決定する。再診患者の場合は,通常,T2強調画像(短時間設定),FLAIR,拡散強調画像(DWI),MRA(短時間設定)を撮像するが,装置更新後は大幅に撮像時間が短縮されたという。
「当クリニックでは,IP-RAPIDの機能を撮像シーケンスごとに使い分けて活用しています。FLAIRやT2強調画像は画質を優先させるため,撮像時間は変わりませんが,MRA撮像で大幅に時間が短縮されます。そのため,再診患者の検査では,撮像時間が平均15分42秒から13分16秒へと約20%短縮されました。従来は着替えなども含めて1検査あたり約30分かかっていたのが,5分程度短縮できることで,1日あたりの検査数を増やすことが可能になりました」
実際に,装置更新前の1日の検査数は10~11件だったが,更新後は13~14件に増加。2020年1月25日~2月24日のMRI検査数が219件だったのに対し,更新後の2021年の同期間は288件になった。池本院長は,「検査数の増加は,経営面でも大きなメリットです」と話す。一方で,スタッフの勤務時間はほぼ変わっていないという。「APERTO Lucent Plusは,『働き方改革』という時代のニーズに合致しており,スタッフにも優しい装置だと思います」と評価している。
さらに,検査時間の短縮は患者の負担軽減にもつながるという。「検査枠に余裕ができたことで,ほとんどの初診患者で来院当日に検査結果の説明までできるようになりました。また,オープンMRI装置でも,検査時間が長くなれば患者さんの負担が増える懸念があります。当院の患者アンケートの結果では,検査時間が15分を超えると長いと感じる人が多かったことから,IP-RAPIDによる検査時間の短縮はその点でも有用です」
技師の負担を軽減する自動化機能AutoExam
APERTO Lucent Plusに新たに搭載されたAutoExamは,自動位置決め(AutoPose)や頭部MRAの自動クリッピング(AutoClip)などをワンクリックで行うことができ,技師の負担が大幅に軽減する。同クリニックでは,MRI検査時は技師が常時1人で対応しており,AutoExamによる負担軽減で,患者の状態の観察や画像の一次チェックにより時間をかけることができるようになった。下田技師は,「AutoExamを活用することで,年に1回程度のフォローアップ症例のスライス位置やスライス厚をそろえることが容易になり,画像比較が確実に行えます。また,担当技師が変わっても各種パラメータやスライス位置,スライス厚が変わらないのも利点です」と話す。加えて,撮像後のMIP処理が非常に容易になったこともメリットだとする。
さらに,APERTO Lucentに搭載されていたモーションアーチファクト低減技術“RADAR”がAPERTO Lucent Plusにも継承されており,同クリニックでは,体動を止めるのが難しい患者に使用している。また,細部のインターフェイスがバージョンアップされ,操作性が向上しているという。
永久磁石方式のAPERTO Lucent Plusは,コストメリットが大きいことも特長の一つだ。池本院長は,機械室やチラー(冷却用室外機)などが不要で,狭小スペースに設置可能なほか,クエンチの懸念もなく,メンテナンス費用が安いこともメリットに挙げる。
■症例1:頸椎症術後
70歳代,女性。APERTO Lucent Plus(b)では,Lサイズ関節コイルを用いることで体動の影響が軽減され,脊髄の細部も良好に描出できた。
a:APERTO Lucent b:APERTO Lucent Plus
T2WI,TR/TE:2500/120,スライス厚:4.5mm,FOV:250mm,FA:90°,撮像時間:3:33
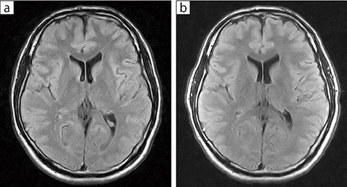
■症例2:関節コイルによる頭部撮像
40歳代,男性。関節コイル(b)を用いても,頭部コイル(a)と比べ遜色ない画質が再現できた。
a:頭部コイル b:関節コイル
FLAIR,TR/TE:9000/112,スライス厚:7mm,FOV:220 mm,FA:90°,マトリックス512×512,撮像時間:3:55
■症例3:脳ドック(閉所恐怖症あり)
40歳代,男性。脳ドックでも十分使用可能で,高磁場装置と変わらぬ画質が得られた。
a:T2*WI,TR/TE:1000/60,スライス厚:7mm,FOV:220mm,FA:90°,マトリックス512×512,撮像時間:4 : 50
b:MRA volume rendering,TR/TE:41.4/6.5,スライス厚:1.2mm,FOV:200mm,FA:90°,マトリックス220×116,撮像時間:9:36
患者に優しいMRI検査の提供をめざす
池本院長は今後の展望について,「より多くの人に検査機会を提供できるようにしたい」と話す。同クリニックは,バス運行会社の脳ドックを行っており,閉所恐怖症などで超電導MRIでの検査が困難な人に対応している。さらに今回の更新では,オープンMRIでは初となるボア内映像投影システムSmart Theatreを導入した。Smart Theatreは,ボアの内側に空や海などの映像を投影して閉塞感を軽減,患者をリラックスさせ,検査中のストレスの緩和が期待できる。導入以降,全例で使用しており,今後患者の認知度向上を図っていく予定だ。
また,オープンMRIの特性を生かし,さらに工夫することで,MRI検査のハードルを下げることは可能だと考えている。池本院長は,「2歳児の患者さんに保護者が添い寝することで,撮像できたケースがあります。また,当クリニックでは,通常の頭部コイルでは撮像が難しい患者さんに関節コイルを用いた撮像も行っています。例えば,円背の患者さんを横向きの姿勢で撮像することができます。また,通常の姿勢では頸部が痛く,撮像が困難な患者さんの場合,補助具などで痛みの生じない角度に姿勢を調整し,関節コイルで撮像することも可能です。さらに,関節コイルは頭部前面を覆うことなく,視界が保たれることから,Smart Theatreの映像もより見やすくなり,強度の閉所恐怖症の患者さんにも有用ではないかと思います」と期待を示す。なお,関節コイルは頭部コイルとほぼ同等の画質が得られるため,画質上の問題もないという。
同クリニックは,APERTO Lucent PlusやSmart Theatreなどを活用し,優しさを“プラス”した検査の提供をめざしていく。
関節コイルを用いた撮像でも頭部コイル使用時とほぼ同等の画質が得られ,幅広い患者に対応できる。
(2021年2月25日取材)
〒659-0092
兵庫県芦屋市大原町20-19 オランジュール芦屋1F
TEL 0797-22-0268
https://www.ikemoto-clinic.info
診療科目:脳神経外科,神経内科

- 【関連コンテンツ】
