ユーザー訪問
社会医療法人大雄会 大雄会第一病院
高画質・高スループットなECHELON Smart Plusでより患者に適した検査を追究
body DWI,乳房MRIの実施や先進医療への活用にも期待
2022-4-25
社会医療法人大雄会 大雄会第一病院では,2021年5月に富士フイルムヘルスケア社製の最新の超電導型1.5T MRI「ECHELON Smart Plus」を導入した。附属の健診センターでの脳ドックや近隣からの紹介検査を多く行うほか,高画質な3D撮像が可能で,新たに導入されたロボット支援手術での活用も期待される。ECHELON Smart Plusの有用性や今後の活用について,日比野友也事務長,第一放射線科診療部の加藤正也部長,技術放射線科主任の伊藤祐介技師,杉野泰教技師に取材した。
97年にわたり地域とともに歩む社会医療法人大雄会
社会医療法人大雄会は,前身となる岩田病院が1924年に設立されて以降,97年にわたり,愛知県一宮市を拠点に急性期から介護・福祉まで提供している。一宮市の中心部に急性期医療を担う総合大雄会病院,大雄会第一病院,外来部門の大雄会クリニックがあり,連携しながら地域に根ざした医療を展開する。総合大雄会病院の救命救急センターは,尾張北西部地区の救急・災害医療の中核施設として24時間365日救急患者を受け入れている。また,大雄会第一病院は内科や泌尿器科,形成外科などの外来・入院に加え,透析センターや健診センターなどを附設し,専門医療や予防医療に力を入れている。
日比野友也 事務長 |
加藤正也 部長 |
伊藤祐介 技師 |
杉野泰教 技師 |
性能の良さと新会社への期待が装置選定の決め手に
大雄会第一病院は,ECHELON Smart Plusのほか,CTとマンモグラフィ,透視装置などを有する。そのほか,総合大雄会病院と大雄会クリニックはCT3台とMRI2台に加え,マンモグラフィや透視装置,血管造影装置,PET/CTやSPECT/CT,骨塩定量装置など幅広い装置を備えており,これらを37名の診療放射線技師で担当している。
大雄会第一病院では,長年使用してきた他社製MRIを更新して,2021年5月にECHELON Smart Plusを導入した。ECHELON Smart Plusの選定理由について,2020年4月まで放射線科技師長を務めていた日比野事務長は,「何よりも画質とスループットの向上が重要だと考えていましたが,法人の事務長としての立場から,コストパフォーマンスも重視しました。また,当院では日立製作所(現・富士フイルムヘルスケア)のCTやPACSを使用しており,同社のサービス体制に信頼を寄せていたことに加え,優れた画像解析技術やワークステーションを持つ富士フイルムにより,高度な技術を備えた装置になるのではないかという期待もありました」と述べる。装置の選定に当たっては,日比野事務長らが工場まで見学に赴き,実際に性能を確認した上で導入を決定した。
画質とスループットの向上で検査の可能性が広がる
現在,ECHELON Smart Plusでの検査件数は月に300件前後,年間2000〜3000件に上る。基本的には,大雄会第一病院の外来・入院患者の検査や健診センターの撮像が中心で,脳ドックの頭部撮像が半数以上を占める。そのほかに,総合大雄会病院の予約検査や近隣の開業医からの紹介検査も受け入れており,整形外科領域やMRCPを含めた消化器領域など,撮像領域は多岐にわたる。
ECHELON Smart Plusは,「ECHELON Smart」に独自アプリケーション“SynergyDrive”を搭載した同社の最新MRI装置。SynergyDriveは,高速撮像技術“IP-RAPID”や自動撮像機能“AutoExam”などのアプリケーションの総称で,IP-RAPIDはアンダーサンプリングと繰り返し再構成を最適化することで,画質の維持と撮像時間短縮の両立を可能にする。また,AutoExamは人工知能(AI)技術を用いて開発され,位置決めから撮像,後処理までをワンクリックで行える。SynergyDriveによりスループットが向上し,従来検査と比べて最大67%の撮像時間が短縮可能となったほか,ECHELON Smart Plusにはノイズ除去技術“REALISE Plus”を搭載,SNRを最大46%向上させ,より高画質化を実現している。
ECHELON Smart Plusの画像について,加藤部長はREALISE Plusによるデノイズ効果を高く評価しており,特に3D撮像での高画質化が著しいという。「当院では泌尿器科の検査も多く行っていますが,前立腺がんや膀胱がんの浸潤の有無などが鮮明に確認できます。また,近隣の開業医からの紹介検査で直腸の撮像なども行っていますが,ECHELON Smart Plusでは3Dシーケンスの画質が向上しており,大変有用だと感じています」と話す。
また,同院では1検査あたり30分という時間枠は変更せず,撮像時間短縮で得られた余裕を画質の向上の追究や追加撮像に振り分けている。伊藤技師は,「ECHELON Smart Plusでは,IP-RAPIDによる高速撮像とREALISE Plusによる高画質化に加え,体動補正技術“RADAR”により,体動がある患者でも検査が可能です。さらに,自動クリッピング技術“AutoClip”などのAutoExamで検査のワークフローも向上し,検査時間に余裕ができました。そのため,例えばルーチン撮像に加え3D-T2強調像を追加撮像しても検査時間内に収めることができますし,一方で,患者さんの状態によっては検査を迅速に終えることも可能です。いずれも患者さんにとってメリットになる上,パラメータの自由度が高く,検査の目的に合ったプロトコールが組みやすくなったことで,われわれ診療放射線技師もやり甲斐を感じています」と評価している。
また,同院では検査室に隣接して読影端末を配置し,加藤部長がPACSに送信された各モダリティの画像をほぼリアルタイムで確認する体制をとっている。そのため,撮像時間短縮は1人で読影を担当する加藤部長の負担軽減にもつながっているという。さらに,撮像シーケンスの追加などもその場で相談でき,より質の高い検査が可能になっていると杉野技師は話す。
■症例1:母趾骨髄炎
19歳,男性。2mmの薄いスライス厚かつ短時間撮影でも,REALIZE Plusで十分なSNRを担保できた(a)。
a:STIR,SAG,スライス厚:2mm,scantime1:17,TR/TE:4000/80,REALISE Plusあり
b:STIR,SAG,スライス厚:2mm,scantime2:13,TR/TE:4000/80,REALISE Plusなし
c:T1WI,SAG,スライス厚:2mm,scantime1:26,TR/TE:506/14.8
■症例2:前立腺がん肺転移・骨転移(body DWI)
89歳,男性。スライス厚:5.0mm,total scan time4:54,TR/TE:10812/78.8
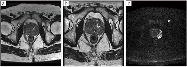
■症例3:前立腺がん壁外浸潤疑い
79歳,男性。3mmのT2Axiでは壁構造との境界が不明瞭であったが(a),0.75mmの3D撮像にて境界の正確な情報が取得できた(b)。
a:2D,T2WI,AX,スライス厚:3mm,scantime3:09,TR/TE:4600/130
b:3D,T2WI,AX,スライス厚:0.75mm,scantime4:43,TR/TE:2000/118.2
c:DWI,AX,スライス厚:3mm,scantime3:29,TR/TE:6329/94.1
高性能コイルで診療科の医師からも高評価
関節用の「GPフレックスコイル」も,画質やスループットの向上に貢献している。杉野技師は,「GPフレックスコイルの導入で,特に手関節など整形外科領域のSNRが向上し,総合大雄会病院の整形外科の先生方からも高評価をいただいています。また,ベルトで巻き付けることで,手関節や膝など,整形外科のほぼすべての部位の撮像に使用できます。現在は,総合大雄会病院も含めた3台のMRIの中で,撮像領域などによる装置の使い分けなどは行っていませんが,今後は『整形外科の検査はECHELON Smart Plusで』と指定されるようにしていきたいですね」と意気込む。
また,静音機能“Smart COMFORT”を位置決め時や小児の撮像などで使用し,患者の負担を軽減しているという。
汎用性が高く,高性能なGPフレックスコイル
乳房MRIやbody DWIにも活用し経営上のメリットにも期待
2022年4月から法人の診療支援部門(コメディカル)の部門長を兼任し,法人全体の検査機器を統括する立場となる日比野事務長は,施設運営の面からもECHELON Smart Plusの活用の拡大に期待を寄せている。
「この2年間は新型コロナウイルス感染症の影響で近隣からの紹介件数が減少し,健診センターでの人間ドックなども一時期,休止せざるを得ませんでした。しかし,ECHELON Smart Plusの導入により,検査のキャパシティは明らかに増えていますから,今後は紹介検査をさらに積極的に受け入れていきたいですね。また,乳房MRIなども含む,女性に特化した健診プログラムの導入も検討しており,ECHELON Smart Plusは非常に有用なツールになります」
また,加藤部長は「装置の性能を生かしてbody DWI撮像にも力を入れていきたい」という。さらに,2021年12月には低侵襲手術支援ロボット「ダヴィンチ」を導入,前立腺がんを対象とした手術を開始しており,そこでも活用が期待されるほか,PACSを富士フイルムの「VINCENT」,ワークステーションを3D画像解析システム「SYNAPSE VINCENT」にそれぞれ移行しており,ECHELON Smart Plusとのスムーズな連携やより高度な解析なども期待される。
医療従事者が装置に寄せる期待は,地域医療へのよりいっそうの貢献に結びつくだろう。
(2022年1月27日取材)
〒491-8551
愛知県一宮市羽衣一丁目6番12号
TEL 0586-72-1211
https://www.daiyukai.or.jp/organization/daiichi_hospital/
診療科目:内科,循環器内科,腎臓内科,血管外科,放射線科,泌尿器科,眼科,形成外科
- 【関連コンテンツ】
