技術解説(富士フイルムメディカル)
2012年9月号
Step up MRI 2012-MRI技術開発の最前線
中枢神経領域における日立メディコ1.5T MRIの先進アプリケーション
板垣博幸(MRIシステム本部ソフト開発部)
中枢神経領域はMRIで最も検査数の多い領域であり,形態画像の高分解能化・画質向上のみならず,機能・代謝情報を画像化する技術に関して,新規技術・アプリケーションの開発が精力的になされている。本稿では,日立メディコ1.5T MRI装置に搭載された新しいアプリケーションのうち,中枢神経領域を対象とした機能を中心に概説する。
●プラークイメージング
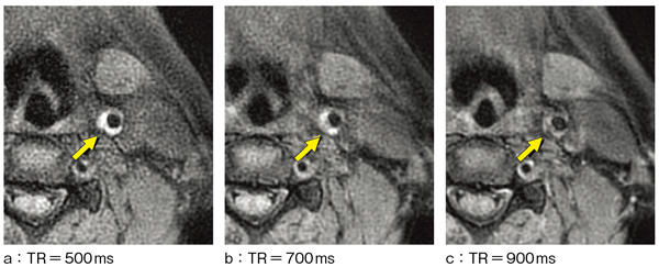
MRプラークイメージングは,組織コントラストに優れているMRIの特長を活用し,性状診断への適用が期待されている。性状診断においては,脂質・出血性の不安定プラークと線維性・石灰化の安定プラークの識別が重要であり,T1強調像,T2強調像,プロトン密度強調像を用いた識別が試みられている。しかし,現状では,プラーク性状の識別は必ずしも十分ではない。その一因として,最も重要なT1強調像で良好なコントラストと画質が両立し難い点が挙げられる。例えば,頸動脈プラークにおいては,心拍動起因の体動と血流のアーチファクト抑制には同期撮像が有用である。しかし,脳のT1強調で一般的なTR 500msから心拍相当にTRを延長すると,図1に示すようにT1コントラストが著しく低下する1)。
日立メディコ1.5T MRI装置では,radial系スキャンである非同期SE-RADAR(RADial Acquisition Regime)により上記課題を解決し,頸動脈プラークの識別を目的としたT1強調像の撮像に適用できる2)。すなわち,周期的な変動に対して画質が安定的なradial系スキャンの特性を生かし,非同期であっても体動および血流アーチファクトを低減し,TR 500ms前後の良好なT1コントラストを実現している。
図1 T1強調SE像におけるTRの違いによるプラークイメージングの比較1)
・臨床適用例
頸動脈プラークの臨床画像を図2に示す1)。なお,本画像は,循環器病研究委託費「無症候性頸動脈狭窄症に対する治療方針の確立に関する研究」(主任研究者:名古屋市立大学・山田和雄教授)で提案されたMRプラークイメージングの標準化案に則って撮像された1)。図から内頸動脈にあるプラークが,明瞭に描出されていることがわかる。脂質主体のプラークで,T1強調像で軽度高信号を呈しているが(↑),潰瘍の部分は強い高信号を呈しており(↓),同部の血栓を描出していると考えられる。
図2 標準化案に則って撮像したMRプラーク画像1)
図3は,最新版のオン・コンソールソフトウエアに搭載したツールで作成したプラーク画像のカラーマップである。筋肉での信号強度を基準に内頸動脈の信号を規格化し,その信号比に対応したカラーを割り当てている。また,カラーマップの面積を自動で積算することや,カラーマップと面積の計算結果をDIOCM画像として出力可能である。本ツールの利用により,プラークの性状の把握が容易になり,薬剤治療の経過観察が簡便に実施できるなどの効果が期待される3)。
図3 カラーマップ作成ツールを用いたプラーク解析
筋肉(領域A_Ref)の信号を基準に内頸動脈(領域A_Col)の信号を規格化し,その信号比に対応したカラーを割り当てている。(赤:出血性,黄:脂質性,緑:線維性)
●BeamSat TOF
BeamSat TOFとは,3D TOFのプリパルスとしてpencil beam型の励起プロファイルを持つRFパルス(以下,Beam Satパルス)を使用した撮像技術である4)。特定の血管から流入する血液の信号を抑制でき,従来のTOF画像に血行動態に関する情報を付加することができる。
図4は,BeamSatパルスを印加しない(図4 a),左内頸動脈に印加(図4 b中に円筒形で表示),の条件で撮像された3D TOFのMIP像である。両図を比較することで,BeamSatパルスの印加により,印加位置より末梢にある血管が抑制されていること,他の血管の描出能はほとんど変化していないことがわかる。
図4 BeamSat TOF画像(健常例)
本画像は,撮像目的・意義を説明し,文書による同意を得た健常人ボランティア画像である。
・臨床適用例
本技術の頸動脈狭窄症患者適用例を図5に示す。図5 aのCE-MRAの所見より右頸部内頸動脈に狭窄が確認できる。図5 b(1)に示した通常の3D TOF画像では,狭窄により血流が少ないものの,左右の脳内への血行は保たれているように見える。ここで,BeamSatパルスを右ICAに印加した図5 b(2)において右中大脳動脈が描出されていることから,左内頸動脈からウィリス輪を介して右中大脳動脈に血液が流入する,cross flowのある症例であることがわかる。
以上,日立メディコ1.5T MRI装置に搭載した新技術のうち,中枢神経領域を対象とした新しいアプリケーションを紹介した。MRIを用いた種々の診断に貢献するよう,今後もアプリケーションの拡充を図っていきたい。
図5 CE-MRA画像とBeamSat TOF画像(右頸部内頸動脈狭窄)
〈謝辞〉
本アプリケーションの開発にあたり,臨床面からご指導いただいた,岩手医科大学医歯薬総合研究所超高磁場MRI診断・病態研究部門の佐々木真理教授に感謝いたします。
●参考文献
1) 佐々木真理 : MRプラークイメージングの現状と将来─MR plaque imaging : Current concepts. INNERVISION, 26・9(Suppl. 磁遊空間, Vol.23), 6~9, 2011.
2) Narumi, S., et al. : Altered carotid plaque signal among different repetition times on T1-weighted magnetic resonance plaque imaging with self-navigated radial-scan technique. Neuroradiology, 52・4, 285~290, 2010.
3) Yamaguchi, M., et al. : Quantitative assessment of changes in carotid plaques during cilostazol administration using three-dimensional ultrasonography and non-gated magnetic resonance plaque imaging. Neuroradiology(published online), 2012.
4) 西原 崇・他 : Beam Satパルスを用いた選択的TOF MRA. 第39回日本磁気共鳴医学会大会予稿集, 323, 2011.
【問い合わせ先】 CT・MRマーケティング本部 TEL:03-3526-8307
