技術解説(富士フイルムメディカル)
2013年9月号
Step up MRI 2013-MRI技術開発の最前線
3T装置における 3D Fast Spin Echo法(isoFSE)によるT1強調isotropic dataの取得
原田 邦明(MRIシステム本部クリニカルサイエンスグループ)
MRIの数ある撮像シーケンスの中でも,日常のMRI検査で最も使用されているのがfast spin echo(FSE)法である。FSE法は,T1強調, T2強調等の基本コントラストが良好であり,磁場の不均一の影響に強いため,磁化率効果が増大する3T MRIでは有効である。近年,FSE法の3D撮像を用いて,最も効率良く短時間で撮像し,その他の断面は撮像後に再構成する方法が普及してきた。当社では,3D FSEシーケンスをisoFSEとして開発を進めている。3D撮像では,取得したデータから多方向の断層像を後処理によって容易に作成することができるため,検査後に発見された病変等の位置や大きさ,周囲組織との関係を確認することに有効で,被検者への負担も軽減されると考えられる。
三次元的な空間分解能を維持するためには,位相方向およびスライス方向のエンコード数が大きくなるため,撮像時間の延長に直結する。そのためisoFSEを用いたT1強調撮像では,長いecho factor(echo train length)により高速化し,可変refocus flip angleおよびパルスシーケンスパターンを最適化し,T1コントラストの維持を最大に考慮したデザインになっている。また,RFコイルの感度分布を最適化し,二次元parallel imaging(RAPID)を組み合わせることで,高速でアーチファクトの少ない画像を得ることができる。これらの技術によって,頭部全体のT1強調 1mm isotropic dataを5分程度で取得可能となった。
■拡大処理も良好で磁化率に強いisoFSE
1mm isotropic dataは,readout,位相,スライス方向にzero fill interpolationより補間され,見かけ上0.5mmの空間分解能を持っている(図1)。そのため,拡大処理をした下垂体部の描出も良好で(図2),下垂体後葉がしっかり高信号となり,コントラストも良好である(図2↑)。図2 bの冠状断像では,大脳基底核だけでなく,視交叉周囲の脳脊髄液と中大脳動脈のflow voidのコントラストもしっかりと保たれている。
また,内耳および中耳領域では,内耳道内を走行する顔面神経や蝸牛神経が冠状断像および矢状断像にて良好に描出されている(図3 a,b)ほか,中耳を走行する顔面神経もとらえられている(図3 c)。これは,磁化率効果に弱いgradient echo系のシーケンスでは描出されにくい構造であり,SE系のシーケンスの大きな特長である。この領域でしっかりとしたコントラストが得られることにより,感染による炎症等を評価するための造影検査に大きな力を発揮すると期待している。
図1 isoFSE T1強調画像
図2 isoFSE T1強調画像(下垂体部の拡大)
図3 isoFSE T1強調画像(内耳・中耳領域の拡大)
■FSEならではの付加価値
isoFSEを用いたT1強調画像は,数多くのecho factorを使用するため,流れている構造はflow voidとして表現される。動脈のような速い流れは低信号となるため,部分的な最小値投影法(minIP)によって動脈を連続的にすることが可能である。レンズ核線条体動脈などの穿通枝も,高い空間分解能によって描出することができる(図4)。図4 bは,動脈の構造が視覚的に認識しやすい白黒反転画像であり,←は穿通枝を示している。
図4 isoFSE T1強調画像
■均一な脂肪抑制機能併用のisoFSE T1強調画像
造影検査においては,静脈洞などからの血流によるアーチファクトの影響を受けにくい3D撮像が多く使用され,高い空間分解能を維持するにはgradient echo系の撮像シーケンスを選択するのが一般的であった。しかしながら,造影効果はSE系の方が高く,均一な脂肪抑制効果が得られるH-Sincによって,良好なT1コントラストを保った1mm isotropic dataが5分程度で撮像可能(図5)となった今,転移性脳腫瘍の検索等の頭部造影検査には,本撮像が最も有効な撮像方法であると考えられる。もちろん,3Dデータからの多方向再構成画像も良好である(図6)。isoFSEを用いたT1強調画像の撮像は,均一度の高いRF照射とコイルの最適な感度分布,そして,脂肪抑制技術があってこそ可能になった撮像法であり,患者負担の少ない短時間検査につながるだけでなく,スループット向上に期待できる撮像シーケンスである。
図5 脂肪抑制併用isoFSE T1強調画像(1mm isotropic data)
Aq.time 5min 28s
図6 脂肪抑制併用isoFSE T1強調画像(1mm isotropic data)
Aq.time 5min 28s
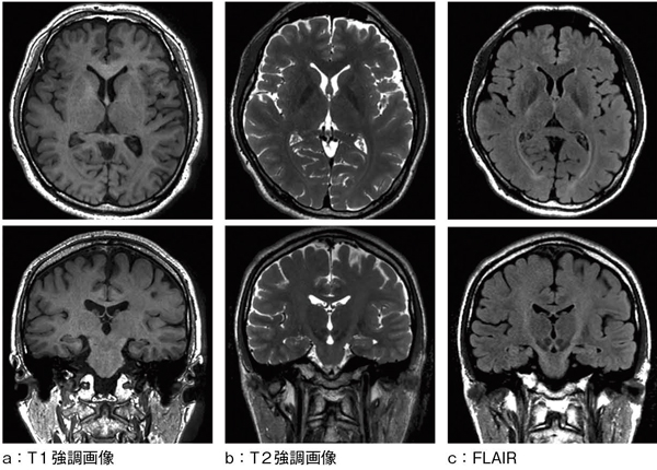
当社の3D FSEシーケンス,isoFSEは,T1強調のほか,T2強調,FLAIR等にも対応(図7),さらには,プロトン密度強調画像やSTIRの取得も可能であり,撮像部位ごとに最適化できる独自の可変refocus flip angle designにより,さまざまな画像コントラストに幅広く対応している。isoFSEが臨床の場で活用されることを強く期待している。そして,将来的には,さらなる高速化技術等によって,MRI検査の時間短縮に大きく寄与できると考えている。
図7 isoFSE reformat image
*本稿で使用した画像は,撮像目的・意義を説明し,文書による同意を得た健常人ボランティア画像である。
【問い合わせ先】CT・MRマーケティング本部 TEL 03-3526-8305
URL http://www.hitachi-medical.co.jp/
