技術解説(富士フイルム)
2019年4月号
Cardiac Imagingにおけるモダリティ別技術の到達点
循環器領域における新機能
大島 俊介(ITソリューション事業本部事業推進部)
富士フイルム社製「SYNAPSE VINCENT(以下,VINCENT)」では,放射線科をはじめとして,脳神経,循環器,呼吸器,消化器領域などのさまざまな診療科で利用する解析アプリケーションを多数実装している。本稿では,循環器領域で利用されている各種解析アプリケーションのラインアップ,抽出機能技術,およびその機能を紹介したい。
●循環器アプリケーションの紹介
VINCENTでは,循環器領域において幅広く利用できるさまざまな解析アプリケーションを有する。冠動脈が明瞭に観察できるCT,MR画像を用いて形態評価を行う“冠動脈解析”,心位相の間隔で再構成,または収集した心臓の4Dシネ画像を用いて機能評価を行う“心機能解析”,断続的に造影剤を投与しながら収集した画像を用いて心筋の虚血領域を定量評価する“心筋パーフュージョン”など,利用シーンに応じた解析アプリケーションを提案できるようになっている(図1)。
図1 主な循環器アプリケーションの紹介画像
今後も市場ニーズに応じて,モダリティ種別を問わず,さまざまな解析アプリケーションを開発していく。
●冠動脈抽出技術の紹介
“冠動脈解析(CT)”において,従来のバージョンでは冠動脈自動抽出時に冠静脈を過剰抽出するケースがあった。こういった場合,ユーザーは過抽出領域を手動で削除することで,診断対象である冠動脈の明瞭な2D(主にcurved planar reformation),3D表示を得ていた。
最新のバージョンでは,この冠静脈の過抽出を抑制するために,ディープラーニングを用いて設計した冠静脈除去機能を実装した(図2)。画像解析の分野におけるディープラーニング技術は,何を特徴とすべきかをコンピュータが自動的に学習できることが強力な利点であり(従来はソフトウエア開発者が画像の特徴を手動で設計),ディープラーニングが医用画像のポストプロセッシングに用いられることに対する期待は非常に高い。なお,この機能は施設データで自己学習することはなく性能が変化することはない。
図2 異なるバージョンによる自動抽出結果の差異
a:ディープラーニングを用いて設計した冠静脈除去機能を利用した抽出結果
b:従来の抽出結果
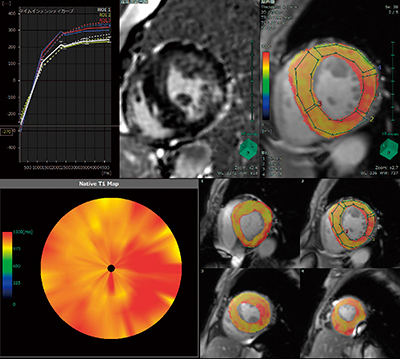
●心筋TxMap(新規アプリケーション)
心臓MRI検査は,心臓の機能を評価,診断する上で重要な指標として,さまざまな施設で実施されている。例えば,急性心筋梗塞領域進達度の確認や,バイアビリティ(生存能)の評価では,遅延造影MRIを用いることが一般的である。しかし,肥大型心筋症,心アミロイドーシスといった,びまん性に浸潤する疾患の場合,病変領域において高い造影効果を得ることができず診断に苦慮する場合がある。また,遅延造影MRIでは主に高信号領域において定性評価(視覚評価)するケースが多いのに対し,線維化,疾患を定量評価する動きも注目されている。
上記の背景を踏まえ,最新のバージョンでは,心筋領域に対しピクセルごとにT1値を計算する“心筋TxMap”アプリケーションをリリースした(図3)。
modified look-locker inversion recovery法で撮像された画像を用いて,すべてのピクセルを対象に,異なるinversion timeごとのsignal intensityから作成されたtime intensity curveを基に近似曲線を求め,これを縦緩和時間の曲線としてT1値を推定する。
非造影MR画像から計算したT1値をNative T1Map,造影MR画像から計算したT1値をT1Mapと呼んでいる。一般的に造影前後のMR画像を用いて診断結果として用いることが多いが,造影剤投与が禁忌なケースも考慮し,非造影MR画像のみからT1値を計算できるようになっている。
図3 心筋TxMapの解析結果画像例
NativeT1Map,T1Mapに遅延造影画像を同時に比較表示できる
レイアウトも用意している。
●4Dフロー
血管性病変の画像診断は,造影CTや磁気共鳴血管撮影(MRA)が用いられ,それらをワークステーション上で画像処理し,ボリュームレンダリング,最大値投影法などの手法を用いて可視化し形態評価を行う。
しかし,これらの処理結果は時間情報を持たない純粋な形態画像であり,脳動脈瘤,胸部・腹部大動脈瘤など血管の形態異常が発生して初めて疾患の原因を画像所見として指摘できる。これに対し,近年では病変部における負荷の定量化,また,病変部以外の領域に大きな血流負荷がかかっている箇所の可視化などの研究が盛んに行われ,この血流情報の計算を行うための画像を撮像できる手法が装置メーカーから開発,販売されている。
“4Dフロー”では,血管モデルを生成するための形態モデル用画像と,x,y,z軸方向に位相エンコードした3方向の時間軸情報を持つ流速計算画像を用いて,血管壁における瘤形成に影響を及ぼすと報告のある血管壁剪断応力の算出などの各種測定パラメータの計算,および可視化が可能である。血流の可視化,定量評価が血管領域における治療戦略の立案や,今後起こりうる疾患の予測などに利用できればと考えている(図4)。
図4 心房中隔欠損症のMR画像
a:血流の方向をオーバーレイしたアキシャル断面
b:サジタル断面
c:コロナル断面
d:コロナル断面に血流の方向を表示して合成した3D表示(実際のVINCENT上ではシネ再生を行えるため,血流の流れの可視化も可能である)
血流の方向を2D,3D表示上で確認できるため,本疾患における予後予測に重要な欠損部の血流方向(左心房から右心房,右心房から左心房)を視覚的に評価できる。
●大動脈弁解析
重症大動脈弁狭窄症に対し,従来から行われている外科的大動脈弁置換術に加え,専門のハートチームが非解剖学的,および解剖学的に評価した上でtranscatheter aortic valve implantation(以下,TAVI)を実施することがある。“大動脈弁解析”では,解剖学的な評価(大動脈の弁輪の計測,人工弁を留置するまでのアクセスルートの計測)を行うことができ,大動脈弁の弁輪の計測では,3つの弁尖(左冠尖,右冠尖,無冠尖)の指定後,LVOT,annulus,sinus of Valsalva ,ST junction各断面に関連する計測結果や,transfemoral-TAVIの実施可否のために腹部動脈,下肢動脈の短径を測定し,ポイントとなる断面における短径,長径を一覧で観察,管理できるレポート機能を実装している(図5)。
図5 大動脈弁解析およびtransfemoral-TAVIの計測結果のレポート画面例
大動脈弁解析のレポート結果には人工弁の解析結果に加え,perpendicular viewの角度表示や解析に利用した
心位相情報も記載している。
◎
富士フイルム,および富士フイルムメディカル株式会社では,循環器領域において,今後も医療の業務フローの改善を行えるような,さまざまな機能を開発および提供していきたいと考えている。
製品名:ボリュームアナライザー SYNAPSE VINCENT
販売名:富士画像診断ワークステーション FN-7941型
認証番号:22000BZX00238000
●問い合わせ先
富士フイルムメディカル株式会社
マーケティング部
〒106-0031
東京都港区西麻布2-26-30
富士フイルム西麻布ビル
TEL:03-6419-8033
http://fms.fujifilm.co.jp
