技術解説(富士フイルム)
2020年5月号
腹部領域におけるWS技術の最新動向
富士フイルムのAI技術“REiLI”による腹部領域における画像処理技術の紹介
小林 良一/川口 裕之[富士フイルムメディカル(株)ITソリューション事業部]
●腹部領域における抽出技術の紹介
2008年にリリースした富士フイルム社製「SYNAPSE VINCENT(以下,VINCENT)」は,肝臓解析アプリケーションを中心に,市場からの要望を積極的に実装している。術前検査の一つである造影CT画像から,手術プランニングに必要な臓器・血管を短時間,かつ正確に抽出することは,医療従事者の作業時間の短縮に寄与し,手術を受ける患者に高い安全性を提供できる。
上記の要望に対し,最新のバージョンであるV6では,腹部CT画像に対してディープラーニングを用いて設計した臓器抽出機能を追加した。本稿では,これら臓器抽出機能を中心とした解析アプリケーションの技術紹介を行う。
●膵臓領域を中心としたシミュレーション画像─膵臓抽出
膵頭部付近に発生した腫瘍には膵頭十二指腸切除,膵体部・膵尾部に発生した腫瘍には膵体尾部切除が,標準的な根治治療になる1)。
膵臓は,後腹膜腔に属しているため体内の深部に位置し,また,腹部大動脈や腸管を栄養する上腸間膜動脈,肝臓を栄養する固有肝動脈・門脈など,臓器を栄養する重要な血管と近接していることもあり,高難度の手術手技に区分される。そのため,術前に病変部を中心とした解剖学的情報の把握のため,3D表示の作成が求められることがある(図1)。
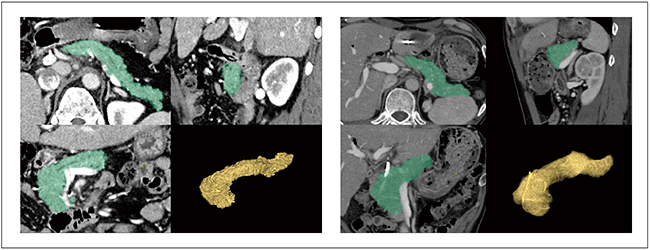
しかし,実際に3D表示を作成する場合,3D構造が複雑な膵臓の抽出には多大な労力・時間が必要となり,膵臓の外科的切除の適応可否を検討するためにこの時間を捻出するのは,外科医にとって容易ではない。そこで,V6では,鏡視下シミュレータアプリケーションに,1クリックで膵臓を抽出する機能を実装している(図2)。このような複雑な形状の臓器抽出は,従来のルールベース的な機械学習法を用いた手法では,精度に限界があった。この問題の改善をねらい,本バージョンではディープラーニングを用いて設計した膵臓抽出機能に更新している。
図1 膵臓を中心としたシミュレーション画像例
鏡視下シミュレータでは,動脈,静脈といった脈管系や脾臓,主膵管なども半自動,手動で抽出して合成表示することが可能である。
図2 膵臓抽出の画像例
膵臓は形状が複雑であり,周囲に同じような輝度値を持つ臓器が隣接しているが,ディープラーニングを用いて設計した膵臓抽出機能により,膵臓を膵臓領域として認識する。
●肝臓解析(CT)─門脈,肝静脈抽出
2008年の診療報酬改定で画像等手術支援加算が収載されてから,十数年経過している。K695 肝切除術,K695-2 腹腔鏡下肝切除術,K697-4 移植用部分肝採取術(生体)に対して,画像支援により手術が行われた場合に算定するものである。本加算は現在,さまざまな施設で利用されており,主に消化器外科,放射線科,医事課の医療従事者がうまく連携をすることにより実現している2)。
VINCENTでは,これまで消化器外科の医師からは実際の手術手技の要望に耳を傾け,診療放射線技師からは肝臓領域のダイナミックCT撮影技術についてヒアリングを実施し,肝臓解析アプリケーションのユーザビリティの向上に努めてきた。しかし,手術シミュレーションで利用するCT画像の画質は,診療放射線技師の撮影技術のみでは制御できないこともあり,さまざまな濃度コントラストおよびノイズパターンを持つ医用画像が実際に利用されている。膵臓抽出と同様に,これまでのルールベースの機械学習アルゴリズムでは,一定レベルの抽出性能に達した後のさらなる性能向上には限界があった。
V5の最新バージョンおよびV6では,肝臓,下大静脈,門脈,肝静脈に対して,ディープラーニングを用いて設計した臓器抽出機能を追加した(図3)。
図3 肝臓,下大静脈,門脈,肝静脈抽出例
低SNR,造影効果,拡張胆管,脂肪肝など,さまざまな濃度・形状パターンに対して肝内の脈管系として認識する。
●腎臓解析(CT)─腎動脈,腎静脈
『腎癌診療ガイドライン2011年版』では,「腫瘍径4cm以下(TNM分類におけるT1a)の腎癌患者において腎部分切除は推奨されるか?」に対し,推奨グレードB,つまりエビデンスがあり,推奨内容を日常診療で実践するように推奨する,と記載されている。また,近年盛んであるロボット支援による腎臓の手術においても,術野の狭視野による影響を補い,より高難易度化する症例への対応ということからも,術前の腎臓・動脈・尿管など脈管系,腎腫瘍の各位置,切除箇所と周囲の脈管系との関係性の把握は,年々重要さを増している。
腎臓解析の従来のバージョンでは,腎静脈の抽出時に複数シリーズ(動脈相と皮髄相など)が必要であった。最新のバージョンでは,肝臓解析の門脈・肝静脈と同様に,ディープラーニングを用いて設計した臓器抽出機能を実装し,1シリーズのみで腎動脈・腎静脈が抽出できる。1シリーズで抽出が完結することにより,異なる時相間の位置ズレによる手術シミュレーション画像のミスレジストレーションがなくなる利点もある(図4)。
なお,従来どおり複数シリーズによる脈管系の抽出もサポートしており,特に造影タイミングの影響などで,旧バージョン(複数シリーズ利用)の方が適切な場合もある。
図4 腎臓ダイナミック造影CT画像から腎臓,動静脈を自動抽出した
シミュレーション画像
適切に脈管を認識することで血管走行や病変部の位置関係を把握できる。
●囊胞腎解析─単純CTの囊胞を含めた腎臓抽出
常染色体優性多発性囊胞腎疾患用の内服薬として,大塚製薬社製の「サムスカ」が挙げられるが,サムスカの添付文章に効能・効果に関連する使用上の注意として,両側総腎容積が750mL以上,腎容積増大速度がおおむね5%/年以上といった,腎臓の容量に関する注意事項が記載されている。
従来の抽出法では,単純CT画像から囊胞を含む腎臓領域を,ユーザーが指定した腎臓の長径をベースに,腎臓は楕円球のような形状をしていると仮定した腎領域抽出を行っていた。しかし,ユーザーが設定する長径箇所により抽出結果に差が出るため,再現性の低下という点で問題を抱えていた。最新のバージョンでは,ディープラーニングを用いて設計した臓器抽出機能を実装し,ユーザー操作介入なしで,囊胞を含む腎臓領域を認識するように改良している。これにより腎臓体積の増加,減少率の管理を客観的に行うことができ,その結果も囊胞腎解析のレポートとして出力することができるようになっている(図5)。
図5 囊胞腎解析画面
病状が進んで腎臓の形状が正常から大幅に逸脱した場合でも,腎臓を腎臓領域として認識する。
◎
富士フイルムは,医療画像診断支援,医療現場のワークフロー支援,そして,医療機器の保守サービスに活用できるAI技術の開発を進め,このAI技術を“REiLI(レイリ)”というブランド名称で展開している。今後もAI技術を多方面に活用することで,臨床現場の医師にとっても,患者にとっても役に立つ技術を世の中に提供していきたい。
ボリュームアナライザー SYNAPSE VINCENT
販売名:富士画像診断ワークステーション
FN-7941型
認証番号:22000BZX00238000
●参考文献
1) 国立がん研究センター東病院 : 膵臓の手術について.
https://www.ncc.go.jp/jp/ncce/clinic/hepatobiliary_and_pancreatic_surgery/050/3/20171102124845.html
2) 大浦慎太郎, 他 : 当院における画像等手術支援加算K939を取得するための対策. 2019.
https://jsrt-tohoku.jp/cms/wp-content/uploads/2019/02/276af048cffb5ee730ae3b5baa813f64.pdf
●問い合わせ先
富士フイルムメディカル株式会社
マーケティング部
〒106-0031
東京都港区西麻布2-26-30
富士フイルム西麻布ビル
TEL:03-6419-8033
http://fms.fujifilm.co.jp
