セミナーレポート(富士フイルムメディカル)
日本超音波医学会第90回学術集会が,2017年5月26日(金)〜28日(日)の3日間,栃木県総合文化センターなどを会場に開催された。27日に開催された株式会社日立製作所共催のランチョンセミナー9では,自治医科大学附属さいたま医療センター総合医学第1講座臨床検査部教授の尾本きよか氏を座長に,高松平和病院乳腺外科の何森亜由美氏が,「これからの乳房超音波〜進化の方向性〜」をテーマに講演した。
2017年9月号
日本超音波医学会第90回学術集会ランチョンセミナー9
これからの乳房超音波 ~進化の方向性~
何森亜由美(高松平和病院乳腺外科)
乳房の画像診断機器は近年,進歩が著しい。デジタルマンモグラフィやトモシンセシスをはじめ,1.5T MRIの分解能の向上など,より客観性のある画像診断が可能となっている。こうした状況の中,超音波の役割としては,スクリーニングでは高濃度乳腺対策やFAD,石灰化,拡張乳管の評価,精査ではインターベンションの施行,治療では治療範囲のマーキングや化学療法効果判定などが考えられる。そして,超音波の精度が進化することで,(1) 検査時間の短縮,(2) 組織診断の簡便化と精度の向上,(3) 正確な良悪性の判定・広がり診断が可能となる。(3) については,より低流速で微細な血流形態の評価や,造影超音波の画像解析・4D処理のさらなる進歩が必要である。
本講演では,乳房超音波の役割と進化の方向性を踏まえ,日立製作所製超音波診断装置「ARIETTA」シリーズの最上位機種である「ARIETTA 850」の進化について考察する。
乳房超音波検査における重要なポイント
1.正常構造の理解の重要性
スクリーニングや組織診断を行うに当たり,超音波で正常構造が明瞭に描出されていることが非常に重要である。例えば,マンモグラフィで指摘された淡い石灰化の経過観察や,MRIでしか指摘できない病変に対して細胞診を行う際には,周囲の正常構造を手がかりとして病変を特定する。スクリーニングにおいても,すべての病変は正常構造からの逸脱があるため,正常構造をきちんと理解していれば短時間で確実に病変を指摘できる。
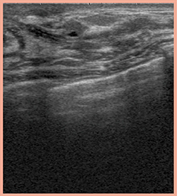
図1に,超音波で描出された乳腺の正常構造の画像を示す。中心の高エコーライン,等エコー模様,高エコー域というのは乳腺の共通の構造であり,小葉と乳管の周囲の膠原線維の密な間質(周囲間質)が等エコーとして,また,浮腫状で膠原線維の疎な間質(浮腫状間質)は高エコーとして描出される。周囲間質の分布が不均等な場合や超音波の分解能が足りない場合は等エコー構造物が途切れて見えるが,中心では必ず小葉と乳管につながっている。
以上のことからも,「高エコー域の乳腺の中にいきなり等エコーの病変が出てくることはあり得ない」ことを理解しているのが乳腺超音波の基本である。
図1 超音波における乳腺の正常構造の描出
2.経年変化と個別性
乳房の経年変化と個別性も重要である。乳房は年齢とともに脂肪化していくが,その際,浮腫状間質では基質が減少し脂肪細胞に置き換わっていくことがわかっている。また,小葉や乳管を取り巻く周囲間質は年齢とともに萎縮していくが残存するため,基本構造は細くなっていくが維持されている。個別性についても同様で,周囲間質の量の違いにより等エコー構造の太さが異なって見えるが,基本構造はいずれも同じである。さらに,乳腺には厚みなどの異なる腺葉が15〜20枚あり,前方と後方で重なっていることも多い。腺葉の重なりに注目してプローブを動かすと,中心乳管の方向性が境界面に向かってカーブを描いているように見えることが多く,その方向性から腺葉の重なりを理解できる。また,前方,後方共に厚みのある腺葉が重なっている部位では,境界面に向かう等エコー構造のカーブが大きくdistortionのように描出されている時があるが,全体を見ると,あくまで腺葉の重なりであり,distortionでないことがわかる。
3.観察時の注意点
スクリーニングでは,乳房のたわみを正しいプローブ走査によってきちんと伸ばして観察することも重要である。なぜなら,マンモグラフィに写らない淡い病変は,アーチファクトの中に隠れていることが多いからである。
ARIETTA 850の特徴
上記を踏まえ,これからの乳房超音波の進化の方向性は,ターゲットの視認性に優れていることに加え,「乳房の正常解剖すべてが鮮明に見える画像である」ことが非常に重要であると考えている。
そこで,ARIETTA 850の実際の画像(図2)を見ると,乳腺の分厚い乳房(a)や乳腺と脂肪が混在した乳房(b)でも,構造がクリアに深部まで明瞭に描出されている。従来のBモード画像は送信フォーカス依存が強いため,フォーカスを合わせた部分以外は不明瞭であったが,ARIETTA 850では多方向同時受信(多パラレル受信)が可能となったことで,BモードやColor Flowの高フレームレート化(HI Framerate)と,Bモードの高画質化(eFocusing)が図られた。
図2 浅部から深部まで高画質が得られるARIETTA 850の画像
1.eFocusingの有用性
eFocusingにより,複数の送信ビームから得られた複数の受信ビームの重なった部分を合成して画像化することで,送信フォーカス依存性の低減や,空間分解能改善,サイドローブ抑制,SN比(深部感度)の向上が図られ,送信フォーカスの設定も不要である。
図3は線維腺腫であるが,eFocusingを適用した画像(b)では病変や境界が明瞭であり,シャープな印象である。大胸筋も深部まで明瞭に描出されており,画像全体にフォーカスが合っている。
eFocusingにより,慢性乳腺炎症例でも正常構造を容易に追えるほか,囊胞なども瞬時に目に付く画像となっており(図4),安心感を持って診断することができる。正常構造を理解していると,存在診断,質的診断共に行いやすくなるが,さらに,eFocusingを適用することで空間分解能やコントラストが良好となり,診断の確実性が向上すると思われる。
図3 eFocusingの有無による描出の違い(線維腺腫)
図4 囊胞の描出におけるeFocusingの効果
2.新プローブ「4G CMUT」
ARIETTA 850では,新プローブ「4G CMUT(CMUTリニア SML44 プローブ)」も登場した。これは,半導体技術による乳腺用リニアプローブ「Mappie」を進化させたもので,皮膚接触面の音響インピーダンスが生体に近く,音響整合層が不要なため,きれいな超短パルス波形が形成できる。周波数帯域も非常に広くなり,これまでよりもパワーが向上し,Tissue Harmonic Imaging(THI)も可能なほか,マトリックスプローブのため1つ1つのセルを制御して診断深度に応じたフォーカシングが可能である。また,eFocusingと相まって高い空間分解能を実現しており,4G CMUTだけで腹部領域の肝臓から甲状腺や乳腺まで全身の超音波検査が可能である。
実際に,囊胞内病変の画像(図5)を比較すると,従来プローブの画像(a)よりも,eFocusingを適用した画像(b)は全体がシャープとなり,4G CMUT+eFocusing(c)では明らかに粒状性が向上し,情報量が増えていることがわかる。
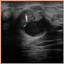
また,より低流速での血流形態評価も4G CMUT+eFocusingで可能となった(図6)。
図5 4G CMUT+eFocusingによる囊胞内病変の描出
図6 4G CMUT+eFocusingによる
より低流速な血流形態評価
3.有機ELモニタの採用
このほか,ARIETTA 850では,モニタに有機ELを採用しており,白はより白く,黒はより黒く表示されるようになっている。
まとめ
超音波診断装置は進化を遂げており,これまでトレードオフの関係であった「分解能」と「コントラスト・視認性」の両立が,eFocusingや4G CMUTなどによって可能となっている。こうした進化により,スクリーニングや精査の技術が底上げされ,血流情報を得るための技術の向上にもつながっていくと思われる。
何森亜由美(Izumori Ayumi)
1995年 香川大学医学部卒業後,高松平和病院外科
(一般消化器外科)。2005年 たけべ乳腺クリニック。2010年 公益財団法人がん研究会有明病院乳腺センター外科。2011年〜高松平和病院乳腺外科。
- 【関連コンテンツ】
