セミナーレポート(富士フイルムメディカル)
第60回日本脈管学会総会が2019年10月10日(木)〜12日(土)の3日間,京王プラザホテル(東京都新宿区)で開催された。10日に行われた株式会社日立製作所共催のランチョンセミナー2では,2018年12月に公布された「健康寿命の延伸等を図るための脳卒中,心臓病その他の循環器病に係る対策に関する基本法」(脳卒中・循環器病対策基本法)がテーマとして取り上げられ,注目された。はじめに座長の松尾 汎氏(医療法人 松尾クリニック理事長/藤田医科大学客員教授)が,本法成立の背景と,循環器系疾患の発症の原理や予防の重要性,動脈内の血流評価の意義,超音波による新しい血行動態評価の方法である“Vector Flow Mapping(VFM)”の有用性などを概説した。続いて,斎藤こずえ氏(奈良県立医科大学脳神経内科・脳卒中センター病院教授)が,「脈管専門医・CVTも識っておきたい『早期動脈硬化診断の新たな知見』─『脳卒中・循環器病対策基本法』の成立を受けて」と題して講演した。
2020年1月号
第60回日本脈管学会総会ランチョンセミナー2
脈管専門医・CVTも識っておきたい「早期動脈硬化診断の新たな知見」—「脳卒中・循環器病対策基本法」の成立を受けて
斎藤こずえ(奈良県立医科大学脳神経内科・脳卒中センター)
2018年12月に脳卒中・循環器病対策基本法が成立したことを受けて,本講演では早期動脈硬化診断の新たな知見をテーマに報告する。はじめに,領域別・進行度から見た動脈硬化評価法として,超音波(エコー)での評価目的や頸動脈エコーの特徴,脳卒中領域における頸動脈エコーの位置づけなどについて概説した上で,日立の新しい血行動態評価法であるVFMによる血流の可視化や,ずり応力(Wall Shear Stress:WSS)評価の可能性などを述べる。
領域別・進行度から見た動脈硬化評価法
国際大規模登録研究であるREACH Registry1)では,冠動脈疾患,脳血管疾患,末梢動脈疾患は必ずしも単独の疾患ではなく,それぞれが互いに重なりを持った,動脈硬化をベースとした全身の血管病であることが示された。各疾患の患者はもとより,危険因子を有する発症前の患者も,エコー検査の対象となる。エコー検査の目的は診療科によって異なるが,そのベースとなるのは動脈硬化の評価であると考えている。
1.内中膜複合体厚(IMT)の計測
動脈硬化の進展の過程において,エコー検査は従来,血管壁に内中膜複合体(intima-media complex:IMC)の肥厚などの器質的な変化が起こってから,プラークが形成されて破綻し,脳梗塞が発症するまでのところで用いられてきた。エコーによる早期評価にIMTの計測があり,頸動脈での評価は「超音波による頸動脈病変の標準的評価法2017」に基づいて行われている。IMT計測には,頸動脈洞の移行部より中枢側10mmの遠位壁におけるIMT(IMT-C10)や,プラークも含めた最大IMT(max-IMT),総頸動脈遠位壁IMTの平均値(mean-IMT),などがある。IMCの肥厚は動脈硬化危険因子と相関しており,冠動脈疾患および脳動脈疾患のリスクが上昇する。
また,IMCは心拍動に合わせて長軸方向にズレが生じるため,頸動脈エコーにて動態解析も可能である。冠動脈疾患の有無で比較すると,冠動脈疾患群では心拍動によるIMCの可動性が低下することから,動脈硬化評価における動的な指標となる可能性がある2)。
2.頸動脈プラークの評価
動脈硬化の進行によって形成されたプラークは,内部に脂質や粥状硬化した壊死性コア,粥腫内出血などを多く含むとエコーにて低輝度となり,線維性被膜が破綻するとulcer(潰瘍)となる。頸動脈狭窄の原因となる低輝度な不安定プラークを見つけて治療を行うとともに,それ以前の段階でどのように予防や治療介入を行っていくかが重要である。
頸動脈プラーク評価法として現在多用されているMRIプラークイメージングは,再現性が高く,T1(black blood法,MPRAGE)など,さまざまな撮像法で病理像に迫ることが可能である。T1(MPRAGE)高信号プラークは粥腫内出血を示唆するが,このようなプラークを有する症例は冠動脈イベントの発症率が高いとの報告がある。エコーとの関係で見ると,エコーにて低輝度なプラークは,MRIのT1(MPRAGE)では高信号となり,また,等輝度プラークと比較して,低輝度プラークの方が症候性脳梗塞の発症リスクが高いことが報告されている。
血流の動態評価
従来,エコーでの評価は形態描出や血流速度測定が中心であったが,VFMの登場により,CTやMRIで行われている血流の可視化や,血流の演算によるWSS(血流が心臓や血管などの壁面をこする強さ)の計測が可能となった。
1.MRIによる血行動態評価から得られる知見
通常,大動脈病変による脳梗塞は弓部3分枝より近位部病変が原因と考えられていたが,MRIでの血流解析シミュレーションによって,弓部3分枝後の大動脈プラークでも逆流により脳塞栓リスクとなりうることが示された。また,脳動脈瘤の血流解析では,破裂動脈瘤の方が未破裂よりWSSが高く,血流が複雑で不安定であることが報告されている。さらに,血流と動脈硬化との関連について,4D flow MRIにて年齢別の大動脈の逆流評価を行ったところ,年齢の上昇に伴い逆流が増加しており,遠位プラークもリスクになりうることが報告されている。
血管内皮機能を維持するためには,適度なWSSが必要であることが知られている。頸動脈においては分岐部のlow shear stressの部位にプラークが好発する一方で,プラークが形成されると,WSSが高値であることとプラーク破綻とが関連する。安定プラークに比して,破綻したプラークでは上流側のWSSが強く,下流側との圧較差が大きくなるとの報告がある。内膜剥離術中の微小塞栓(MES)の出現は不安定プラークを示唆するという報告3)では,MRIのT1高信号プラークとWSSはMES陽性と関連し,WSSとT1高信号の組み合わせでより正確にプラーク不安定性を評価できるとされ,WSS評価の優勢が示されている。解剖学的情報と血流情報を併せて評価することで,リスクの層別化が可能になると考えられる。
2.エコーによる血行動態評価
エコーでは通常,Bモードで組織情報,カラードプラ法で血流情報,パルスドプラ法で狭窄による血流速度の上昇などを評価している。VFMは,血流方向と速度をベクトル表示し,血行動態を評価する技術であり,循環器領域でセクタプローブを用いて利用されている。VFMでは,心臓の壁運動をtissue trackingで追跡し,カラードプラ信号から質量保存の法則を用いて直交方向の血流速度を求めることで,速度ベクトル(任意の点の血流の速さと方向を矢印で表示)や,渦度分布(速度ベクトルを接線とする曲線により血流が渦を巻く様子などを表示),WSSなどが得られる。
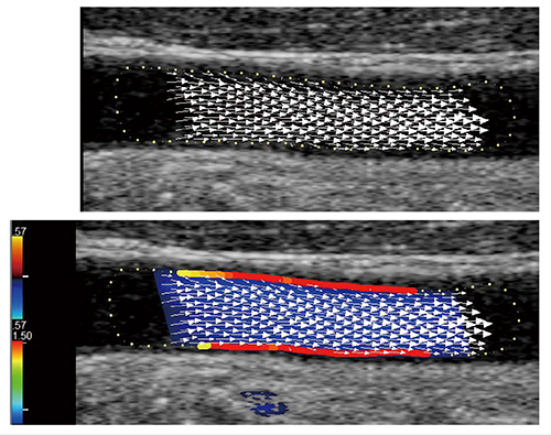
このVFMを血管に応用した“VFM Vascular”は,日立製の超音波診断装置「LISENDO 880LE」に搭載されており,オフラインで短時間での解析が可能である。基本的な原理はVFMと同様であるが,tissue trackingに加えて補助ビームも送受信して真の血流ベクトルを求めて演算開始点を作成し,血流が組織に与える影響を評価する4)。血行動態は,速度ベクトル表示にて可視化できるほか,血管壁のWSSがパスカル(Pa)表示される(図1)。初期検討では,年齢やIMTとの相関も示唆され,IMTが肥厚する以前のより早期の動脈硬化の指標になる可能性があると考えるが,少数例でもあり今後の検討が待たれる。
VFM Vascularの実際の画像を見ると,分岐部血流(図2)や複雑な血流(図3),内頸動脈プラーク壁にかかるWSSが血流のベクトルとともに可視化されている(図4)。WSSの数値化も可能なため,血流が局在するプラークに与える影響をWSSとして定量化できると考えている。
頸動脈エコーにVFM Vascularを追加することで,従来はエコーで評価できなかった,より早期の段階の動脈硬化評価が可能になるかもしれない。IMTやプラークなどの形態学的変化と血管壁に与える血流の影響を併せて評価可能となるため,動脈硬化進展の過程を考える上で重要と考えられる。
図1 総頸動脈のVFM Vascular
上段:速度ベクトル表示
下段:カラードプラ表示に加えた速度ベクトルとWSS
図2 分岐部血流の速度ベクトル
図3 内頸動脈起始部のプラークと血管屈曲による複雑な血流ベクトル
図4 内頸動脈プラークの速度ベクトルとWSS
臨床応用の今後
エコーは簡便で低侵襲なためスクリーニングに適しており,VFM Vascularを用いて従来よりも早期の動脈硬化評価が可能になれば,新たな評価指標となる可能性がある。また,エコーは繰り返し検査可能なため,治療介入の評価や適切なWSS管理にも,VFM Vascularが有用性を発揮できないかと期待される。
●参考文献
1)Yamazaki, T., et al., Circ. J., 71(7): 995-1003, 2007.
2)Zahnd, G., et al., Med. Phys., 45(11):5041-5053, 2018.
3)Oshida, S., et al., Stroke, 49(9): 2061-2066, 2018.
4)Asami, R., et al., Ultrasound Med. Biol., 45(7): 1663-1674, 2019.
斎藤こずえ(Saito Kozue)
1998年 奈良県立医科大学卒業。同大学病院神経内科,国立循環器病研究センターを経て,2018年から奈良県立医科大学病院神経内科・脳卒中センター病院教授。
- 【関連コンテンツ】
