X線動態画像セミナー(コニカミノルタ)
第2回X線動態画像セミナー[2020年3月号]
実臨床における有用性の報告:ディスカッション
間質性疾患の動き
上山 維晋(天理よろづ相談所病院呼吸器内科)
本講演では,間質性肺炎(IP)における胸部X線動態撮影の有用性について,症例を提示して報告する。
症例1:下肺野優位のIP
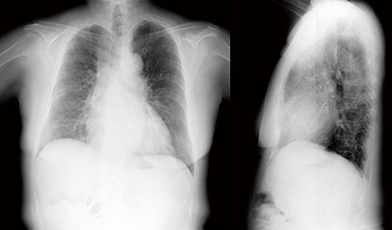
症例1は,68歳,女性,下肺野優位のIPである。2018年9月から咳嗽が出現し,12月に近医にてIPを指摘され,2019年1月に当科を受診した。現在,無治療経過観察中。元喫煙者(20本/日×30年)で,既往歴は腎疾患,虫垂炎,子宮付属器炎,静脈瘤である。血液検査の結果は,抗核抗体(ANA):640倍,抗セントロメア抗体:陽性,KL-6:1082U/mL,SP-D:362.1ng/mLであり,また,呼吸機能検査の結果は,肺活量(VC,%VC):2.19Lの88.2%,肺拡散能力(%DLCO):71.9%であった。
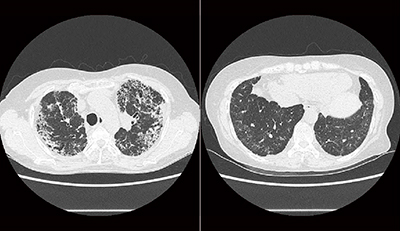
胸部単純X線写真では,下肺野優位に網状影,すりガラス状陰影が認められる。単純CT画像(図1)では,上肺野ほどの陰影はないが,下肺野には気管支血管側周囲から胸膜下にかけて網状影,すりガラス状陰影が認められ,膠原病肺が疑われる。胸部X線動態画像(図2)では,正常例と比べて下肺野および胸郭の幅の動きが悪い印象であった。また,胸部X線動態画像の呼気時から吸気時にかけての変位をベクトル表示した画像(図3)を見ると,当院の正常コントロール例と比較して下肺野の動きが悪い印象である。
図1 症例1:胸部単純CT画像
図2 症例1:胸部X線動態画像
図3 症例1:変位のベクトル表示画像
症例2:上肺野優位のIP
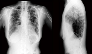
症例2は,65歳,女性,上肺野優位のIPで,主訴は運動時発作的呼吸困難(DOE)である。2001年に健診で初めて胸部単純X線写真の異常が指摘され,2012年の健診で再度異常が指摘されたことで前医を受診した。2017年7月頃からDOEが出現,2018年2月に当科を受診し,クライオバイオプシーを施行した。非喫煙者で,既往歴は小児喘息,虫垂炎,子宮筋腫である。血清学的には優位な陽性所見は認められず,KL-6:739U/mL,SP-D:829.5ng/mLであった。また,呼吸機能検査の結果は,VC(%VC):1.91L(74%),%DLCO:63.1%であった。
胸部単純X線写真では,上肺野優位の網状影,浸潤影が認められる。単純CT画像(図4)では,上肺野に強い網状影とコンソリデーションが認められた。胸部X線動態画像(図5)では全体的に動きが悪く,横隔膜の動きも不自然で,側面像では肺の下葉が呼吸を支えているという印象である。変位のベクトル表示画像(図6)でも肺野全体の動きが悪い印象であった。
図4 症例2:胸部単純CT画像
図5 症例2:胸部X線動態画像
図6 症例2:変位のベクトル表示画像
IPに対する胸部X線動態撮影の現況と今後の検討課題
当院では,IP中心で胸部X線動態撮影を実施しており,これまでに30〜40症例のデータが得られている。全例において正面像と側面像を撮影しており,それらから得られる推定肺野容積と呼吸機能検査の結果を比較したところ,良い相関が得られている。現状では,経過観察症例は安定した1例のみであり,過去と現在の画像比較においては同様の結果が得られているが,悪化した症例の経過観察や,予後との相関,検出精度については今後の検討課題である。
さらに,IPにおける動きの特徴として,下肺野優位の症例では下肺野の動きおよび胸郭の動きが悪く,上肺野優位の症例では全体的に動きが悪いという印象がある。また,いずれの症例も胸郭の動きは上部の方が下部に比べて良好な傾向が見られた。これらについては,まだ定量的な解析を行っていないが,IPのサブタイプによる動きの違いについても,今後検討していきたい。
