技術解説(フィリップス・ジャパン)
2012年11月号
CT最新技術紹介
臨床をサポートするPhilips最新技術:O-MAR
菅原 崇(CTモダリティスペシャリスト)
近年,マルチスライスCTの開発は,多列化が進み,高いスループットの実現と同時に,心臓CT検査やCTCなどをはじめとする新たなCT検査適応の幅を広げている。しかし,いくつかの課題も残しており,その1つが金属アーチファクトによる診断能の低下である。フィリップスでは,この金属アーチファクトの大幅な低減を実現する新しいアルゴリズムを開発し,発売開始したので,ここに紹介する。
■金属アーチファクト対策
金属アーチファクトは,CT検査において避けて通れない課題であり,これまでの対応は,CT値のダイナミックレンジを大幅に広げて観察する手法や,専用のフィルタを使用しアーチファクトを抑制する工夫,アプリケーション処理によるアーチファクトの低減処理などが行われていた1)~4)。だが,これらは,正常に描出された領域の分解能の劣化を招き,アーチファクト以外の必要な情報も消去してしまうなど欠点も多く,またルーチンスキャンに対してプラスアルファのプロセスが必要となり検査効率の低下を招くためルーチン性に欠ける。
しかも,金属アーチファクトの影響により,黒くデータが欠損したような状況では,情報の回復をほとんど期待できないという意味で,金属アーチファクトへの根本的な改善には至っていない。
最近では,デュアルエネルギー撮影による金属アーチファクトを抑制する試みも始まっているが,(1) デュアルエネルギー撮影ができる装置は,プレミアムシステムに限られていて,多くの施設で使用することはできない,(2) 処理が煩雑で必ずしも全員が使えない,(3) 金属アーチファクトを抑制した画像は,金属のみの観察以外には期待どおりの画質を得られないために,金属用画像と軟部組織用画像の両方を作成し診断に使用する必要がある,(4) そもそもルーチンの120kVの画像は,あくまでも仮想120kVの画像しか得られない,など多くの課題を抱えている。
■O-MAR(Orthopedic-Metal Artifact Reduction)
O-MARは,これらの問題点が解決可能な新しい再構成技術である。現在,フィリップスが販売するCTシステムのほとんどの機種に搭載が可能であり,2011年以降発売を開始した128スライスの「Ingenuity CT」(図1),256スライスの「Brilliance iCT TVI」には,標準搭載されている。
O-MARの使用方法は,非常に簡単で,再構成条件の選択画面でマークを入れるだけである(図2)。O-MARの使用は,撮影前に決定することも,撮影後に選択することも可能であり,金属アーチファクトに対して柔軟に対応できる。そのため,普段CTを専任で扱っていない方や,夜間救急の当直帯での撮影でも,容易に使用することができる。
また,撮影条件(kV, mAs,ピッチ, rotation,関数,iDose4など)にも依存せず,ほとんどの検査で使用可能である。
図1 O-MARを標準搭載する |
図2 O-MARの |
■O-MARアルゴリズム
この再構成技術は,イメージ上から一定の閾値により,金属部分とそれ以外の組織分類を行い,forward projectionにより,金属のみのサイノグラムを作り出す。これをオリジナルサイノグラムとサブトラクションを行い,金属のないサイノグラムとアーチファクト部分のイメージを生成する。そして,補完が必要となる欠損した部分を同定し,iterative error correctionの繰り返しにより,補正する5)(図3)。その際,画像は,オリジナルとO-MARの2種類を作成するように設計されており,両者を比較観察して使用することを推奨している。このように,O-MARは,これまでのフィルタ処理とは異なり,周辺構造物のコントラストや分解能の劣化を制御しているため,通常の再構成と比べて,金属アーチファクトによるデータ欠落部の回復と周辺分解能の維持,期待する(120kV)画質を得られるという特長を持つ(図4)。
このような複雑な構成プロセスを繰り返し行うO-MARは,再構成時間の遅延が伴うが,O-MARは金属の含まれているスライスに対してのみ機能するように設計されている。例えば,胸腹部骨盤領域の撮影範囲に人工股関節が含まれていた場合,全体の1000枚を超える画像に対してすべてO-MARが適応されるのではなく,金属の含まれるスライスのみに対してO-MARが機能するといった,スループットが低下しないように配慮された設計となっている。
図3 O-MARのアルゴリズム
図4 O-MARの特長
a:従来再構成 b:O-MAR
■O-MAR臨床応用
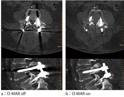
O-MARは,整形外科領域での金属インプラントを対象とした再構成技術であり,大きく期待される領域としては,人工股関節形成術や後方椎体間固定術などの術後フォローアップCTにおいて,周辺構造物である骨癒合などの評価や(図5),整形外科以外のオーダにおいても,金属アーチファクトのために目的部位の観察が困難な症例すべてに有効だと考える。ほかにもニーズの高い領域としては頸部CTA検査が挙げられ,口腔インプラントのアーチファクトによる血管の欠損を防ぐ効果が期待できる(図6)。
図5 後方椎体間固定術画像
図6 頸部CTA画像
さらに,O-MARは,それ自身も逐次近似を応用した再構成法となるが,フィリップスにおけるもう1つの逐次近似応用再構成法であるiDose4と組み合わせて使用することが可能である(図7)。これにより,金属の含まれた被検者においても,逐次近似応用再構成の利点である低被ばく検査や,さらなる高画質検査,低電圧撮影を使用した低造影剤量の検査など,近年のCT機能の向上を最大限活用することが可能である。
図7 O-MAR & iDose4併用画像例
フィリップスでは,2010年の北米放射線学会で発表したすべての製品に共通した新たなコンセプトである「Imaging 2.0」に準じた,次の3つのテーマを柱にした開発を続けている。
・Clinical collaboration & integration(臨床面での協調,融合)
・Patient focus(患者様中心)
・Improved economic value(経済的価値の向上)
今後もImaging2.0に沿って,ニーズに応えるさらなる製品づくりを行っていく。
●参考文献
1) Glover, G., Pelc, N. : An algorithm for the reduction of metal clip artifacts in CT reconstructions. Medical Physics, 4, 799~807, 1981.
2) Brooks, R., Chiro, G. : Correction for beam hardening in computed tomography. Phys. Med. Biol., 21, 390, 1976.
3) Ling, C., Schell, M., et al. : CT-assisted assessment of bladder and rectum dose in gynecological implants. Int. J. Radiat. Oncol. Biol. Phys., 13, 1577~1582, 1987.
4) Wang, G., Snyder, D., O'Sullivan, J.A., et al. :
Iterative deblurring for CT metal artifact reduction. IEEE. Transact. Med. Imaging, 15, 657~664, 1996.
5) Bal, M., Spies, L. : Metal artifact reduction in CT using tissue-class modeling and adaptive prefiltering. Medical Physics, 33, 2852, 2006.
【問い合わせ先】お客様窓口 TEL 0120-556-494
