技術解説(フィリップス・ジャパン)
2017年4月号
Cardiac Imagingにおけるモダリティ別技術の到達点
超音波診断装置技術の到達点
小野寺利之(超音波診断装置ビジネスグループ アプリケーションスペシャリスト)
■素子材料の見直し
超音波診断装置の開発では,微弱な信号を効率良く受信することができる素子が常に求められてきた。それを現実にしたものが,“PureWave Crystal(単結晶)”と呼ばれる超音波素子で,結晶方向を一定にすることにより,微弱な反射信号でも効率良く電位を取り出せるように設計されたものである(図1)。
図1 従来素材と新素材の結晶構造
■プローブの進化
素子の高感度化に伴い,新しいプローブも開発された。マトリックス(二次元配列)プローブである(図2)。このプローブは,素子を碁盤の目のように配列したもので,ビーム方向を自在にコントロールできるが,処理時間が長く,フレームレートが低下するという欠点もあった。この欠点は,3D超音波画像では致命的で,超音波のライン数を減らすなどで3D画像のリアルタイム性を維持することができたが,これらの方法ではノイズや画像劣化などで細かな部分の描出能に欠け,どうしても3D画像は分解能の点で問題があるように受け取られることが多かった。
図2 最初の電子式マトリックスプローブ
■新たな送受信技術の開発
ここで登場したのが,“nSIGHTイメージング”である。これは,ビームを絞らない状態で送信を行い,対象領域全体から受信を行う技術がベースである。大量のメモリと超高速の並列処理を行うnSIGHTイメージングでは,1送信あたり10本以上の受信音線を構築できるまでになった(図3)。これにより,3D超音波もフレームレートの低下を最低限に抑えることが可能となり,さらに,送信波を一部分重ね合わせることにより,処理時間を落とさずに音線単位での受信感度を向上させることも可能となった。
図3 nSIGHTイメージング
同時多方向受信と送信波オーバーラップ
■3Dと解析ツール
体表用3Dプローブ「X5-1」は,通常の検査にも使用できるほど小型に進化した(図4)。
図4 小型化したマトリックスプローブX5-1
また,異なる2断面を同時構築できる“xPlane”や心尖部3D画像から複数の短軸像が構築できる“iSlice”,3Dを用いた心臓の形に依存しない容量計測など,さまざまな解析を可能にするツールが開発された。しかし,“3Dの計測というのは手間がかかる”という意見も多く,使い方がシンプルなツールの登場が待たれた。
このリクエストに応えるべく,われわれは,“MVNA.I.(Mitral Valve Navigation)”および“HeartModelA.I.”を発売した。
MVNは,3D計測時の断面設定の際,ガイド画面が表示され,ガイドに画像を合わせて設定した後,弁輪部にポイントを設定すれば,弁輪面積など多くの計測と弁のシェーマを表示することができるツールである(図5)。
図5 僧帽弁解析ソフトMVNA.I.
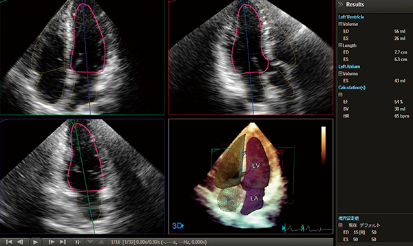
HeartModelA.I.は,心臓の3D容積計測の自動化を実現したソフトウェアである(図6)。従来のディスク総和法では,左室,左房容積計測で計6断層をトレースする必要があった。HeartModelA.I.は,心尖部の4腔像を描出し,3D画像を取得して,解析ボタンを押す。それだけで,左心室の拡張・収縮期,左房容積の計測を行うことができるツールである。内部では腔内認識,形状認識,部位の識別などを自動で行い,容積を計測,表示する。3Dでの計測であるため,腔内の形状に依存しない計測が可能である。
解析が自動化されることで,従来の3D解析ソフトウェアで必要だった多くの工程が簡略化され,短時間で結果を得られる。また,得られた結果の検者間誤差もなくなるため,計測結果の安定が期待される。
3D経食道プローブ(以下,3D TEE)も,「EPIQ」シリーズへのより高いマッチングを掲げて,新たに「X8-2t」としてリリースされた。大きく異なるのは,EPIQシリーズに新たに搭載されたnSIGHTイメージングとのマッチングを上げたことによる分解能,感度の向上,3Dのフレームレートの向上などが挙げられる。送信パルスをより短時間で送信することで,距離分解能を向上させ,結果として帯域幅は,従来の2〜7MHz(帯域幅5MHz)から2〜8MHz(帯域幅6MHz)へと変わり,nSIGHTイメージングとのマッチング向上により,音線密度を下げることなくフレームレートを向上させることが可能になった。
図6 3D自動容積解析ソフトウェアHeartModelA.I.
■EchoNavigator
“EchoNavigator”は,Live3D TEEイメージとX線透視画像をフュージョン(融合)することを可能とした(図7)。
このフュージョンイメージは,常に透視装置のCアームの動きと連動して表示され,リアルタイムに同じ角度で同期して,まったく同じ方向に表示される。EchoNavigatorでは,Live3D TEEイメージや2D TEEイメージから得られた弁などの画像に,解剖学的位置情報(マーカー)と呼ばれるターゲットを置くことが可能になった。これによって,より安全かつ適切なカテーテルによるデバイスのポジショニングが可能となる。
図7 Live 3D TEEイメージとX線透視画像の融合EchoNavigator
◎
送受信技術の開発,3Dデータを用いた計測の自動化,異なるモダリティとの融合表示,これで終わりではない。技術は進歩し続け,臨床診断にさらに大きな価値を生み出していくであろう。
●問い合わせ先
株式会社フィリップスエレクトロニクスジャパン
〒108-8507
東京都港区港南2-13-37 フィリップスビル
フリーダイアル:0120-556-494
【フィリップスお客様窓口】土日祝休日および年末年始を除く9:00〜18:00
www.philips.co.jp/healthcare
