技術解説(フィリップス・ジャパン)
2020年5月号
腹部領域におけるX-ray技術の最新動向
フィリップス「DigitalDiagnost C90」のご紹介
藤岡 泰祐[(株)フィリップス・ジャパン プレシジョンダイアグノシス事業部 DXRビジネスマーケティングマネージャー]
フィリップスは,「2030年までに30億の人々の生活を向上させる」をビジョンに掲げ,健康な生活,予防,診断,治療,ホームケアにいたるヘルスケア・プロセスのすべてにイニシアティブを持ち,「もっと健やかな未来へ」をコンセプトとして,すべての人の健康に貢献するヘルステックカンパニーである。この一連のヘルスケア・プロセスの中で重要な役割を担うソリューションとして,デジタル一般撮影装置を位置づけ,プレミアムモデルである「DigitalDiagnost C90」を開発,上市した(図1)。
図1 DigitalDiagnost C90概観
●DigitalDiagnost C90のコンセプト
フィリップスでは,この一連のヘルスケア・プロセスを通じて人々の健康向上に貢献するための一般撮影を提供するには,より迅速かつ安全で,精度の高い検査を,長く安定して実現する必要があると考え,以下,3つのキーワードを定義し,臨床への実用性が高く,かつ経済的に有用である製品開発を行った。
・ワークフローの改善
・X線量の適正化と意義ある画質の提供
・堅牢な設計
本稿では,X線発生装置とフラットパネルディテクタが一体となったデジタルX線撮影装置であるDigitalDiagnost C90について,腹部領域にも有効に活用できるツールを紹介する。
●ワークフローの改善
一般撮影は,その検査数の多さやポジショニングの複雑さなどによる被検者および操作者への負担は否定できず,検査効率の改善はもちろん,医療安全にも配慮する必要がある。DigitalDiagnost C90は,これらを追究することで,より検査効率と安全性の高い検査を実現する。
1.多機能型X線管支持装置モニタ“Eleva Tube Head”
Eleva Tube Headは,12インチのカラータッチモニタを搭載し,患者情報確認,撮影条件変更,撮影画像確認,ライブカメラ機構など,さまざまな機能を持たせることで一般撮影におけるワークフローを改善,撮影時間の短縮を図り,被検者・操作者の負担を軽減する。特に,ライブカメラ機能の搭載により,ポジショニング時の照射野範囲をモニタに投影,迅速なポジショニングを実現するためのサポートが可能である(図2)。また,本機能は,Eleva Tube Headモニタだけでなく,操作室コンソール“Eleva Workspot”にも表示され,撮影直前までポジショニングの状況を確認,より安全な環境下での検査実施をサポートする。また,教育用ツールとしての利用をも可能とする。
図2 Eleva Tube Headのモニタに投影されたライブカメラの様子
2.オートポジショニング機構“Comfort Position”
迅速なポジショニングを実現するために弊害となるのは,立・臥位撮影時などのX線管の移動時間である。このため,フィリップスでは,すべてのアナトミカルパラメータに基づいた任意の位置に,的確に電動移動が可能であるComfort PositionをDigitalDiagnost C90に採用した。Comfort Positionは,よりスピード性の高い移動を実現するため,常に最短距離での電動移動を可能としている。また,安全性を考慮し,検査室内のみで動作可能なワイヤレスリモコンによる操作とデッドマンスイッチによる動作ボタンを採用している。
●X線量の適正化と意義ある画質の提供
昨今,X線量の適正化とその管理のニーズは高まるばかりである。一方,画質とX線量適正化の両立は,旧来より一つの課題となっている。DigitalDiagnost C90は,これらX線量の適正化と意義ある画質の提供を実現,より臨床への実用性を高める。
1.マルチ周波数処理の改善“UNIQUE2”
DigitalDiagnost C90は,従来のマルチ周波数処理を刷新し,鮮鋭度,ノイズ低減処理の改善などを施したUNIQUE2を搭載した。この改善された画像処理技術により,高水準の画像診断をめざす各施設のニーズに,より対応することが可能である。UNIQUE2は,アナトミカルプログラムと連動し,各撮影部位において自動で画像処理,調整が行われる。このため,撮影後すぐに適切な画像処理が施された画像が表示され,迅速なワークフローをも実現する。さらに,エキスパートモードとして,撮影後に画像処理パラメータを細部まで調整することができるため,より画質を追究することも可能である(図3)。
図3 従来のマルチ周波数処理(a)と新たな処理UNIQUE2(b)
特にUNIQUE2は骨盤腔内のコントラストが明瞭である。
2.全身対応型グリッドレス撮影機構“SkyFlow Plus”
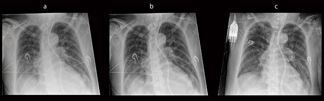
散乱線除去グリッドの落下や,X線束とのアライメントのズレによる画質劣化のリスク低減のためのソリューションとして,近年,グリッドレス撮影機構が広く一般化している。フィリップスでは,全身対応型グリッドレス撮影機構として,SkyFlow Plusを開発した。SkyFlow Plusでは,グリッド落下やアライメント不整合が招く画質劣化のリスク低減のみならず,Poetterら1)の研究によると,SkyFlowとグリッドによる画像を比較した読影試験にて,診断に適切な画質という観点から,SkyFlowは1.6倍のX線量で撮影されたグリッド使用時の画質に匹敵したと発表されており,従来のグリッドに比べ,よりX線量の適正化を図ることできる可能性が示唆されている(図4)。
図4 グリッドレス撮影機構と従来画像の比較
a:グリッドなしの画像
b:SkyFlowを適応した画像
c:グリッドを使用した画像(SKyFlow適用時の1.6倍線量での撮影)
●堅牢な設計
フィリップスが掲げる「ワークフローの改善」「X線量の適正化と意義ある画質の提供」を実現するためには,精度の高い検査を,長く安定して実現することの可能な機器である必要があると考えている。このため,高性能な装置であるだけでなく,システムの堅牢性にもこだわり,製品を開発している。
1.実効焦点サイズ作成機構“Vario Focus”
一般的に,X線管に搭載される大焦点と小焦点は,X線出力の大きさに従って,自動的に焦点サイズが切り替わる。特に,自動露出機構使用時の被検者サイズの違いにより,同じ撮影部位であっても使用する焦点サイズが変化し,被検者によって鮮鋭度が異なることがある。この鮮鋭度の異なりを最小限に抑制するため,X線出力に応じて段階的に実効焦点サイズを切り替えることが可能な,計7種の実効焦点サイズを持つVario Focusを搭載した(図5)。この技術により,被検者サイズの違いによる鮮鋭度の変化を可能なかぎり抑制することができる。また,この技術を用いることで,X線管焦点への負荷も低減されるため,X線管の高寿命化にも役立つ。
図5 Vario Focus
◎
本稿では,flat panel detector(FPD)を搭載したデジタル一般撮影装置であるDigitalDiagnost C90における「ワークフローの改善」「X線量の適正化と意義ある画質の提供」「堅牢な設計」について紹介した。フィリップスでは,今後もより患者と医療従事者に意義と価値を見出すことを目標とした技術開発を進めていきたい。
●参考文献
1) Poetter-Lang, S., et al. : Impact of Digital Scatter Correction on the Image Quality of Bedside Chest Radiographs. Scientific Presentation on RSNA 2013(EventSSJ06-03).
●問い合わせ先
株式会社フィリップス・ジャパン
〒108-8507
東京都港区港南2-13-37 フィリップスビル
フリーダイアル:0120-556-494
【フィリップスお客様窓口】
土日祝休日を除く9:00〜18:00
www.philips.co.jp/healthcare
