技術解説(フィリップス・ジャパン)
2013年4月号
Cardiac Imagingにおけるモダリティ別技術の到達点
Philips Cardiac CT Imaging 2.0─循環器CT 画像診断を支える最新Innovation
樋口 江(CT/ICAPモダリティスペシャリスト)
フィリップスは2010年から,ClinicalIntegration & Collaboration(臨床面での協調・融合),Patient Focus(患者中心),Improved Economic Value(経済的価値の向上)の3つを主軸としたコンセプトである“Imaging 2.0”に基づき製品開発を行っている。本稿では,RSNA 2012で発表した新製品を中心に,技術解説を加え紹介する。
■“ iPatient”次世代型CTインターフェイス&シームレスワークフロー
“iPatient”は,弊社CTラインナップ「Brilliance iCT」,「Ingenuity」シリーズ(図1)に搭載可能な最新操作環境である。特長は,弊社MRI ユーザーに定評のある“Exam Cardコンセプト”の実装(図2 a)と,造影剤のインジェクタをCTコンソールから操作可能とする“SyncRight”である。
Exam Cardでは,複雑なプロトコルをパッケージ化し,検査完遂までのクリック数を大幅に減らすほか,位置決め画像からAECのSDブースト領域を自動検出するなど,一連のワークフローを強固にバックアップする。
従来,独立していたCTとインジェクタをSync Rightで連携させることで,検査・患者体重ごとに最適な造影プロトコル1)が選択され,CT コンソールのみで造影検査が完遂し,また造影プロトコルはスキャンプロトコルとリンクしているため,術者に依存するヒューマンエラーを可能なかぎり排除する(図2 b)。また,検査後は造影レポートをPACSへ出力可能であり,造影検査に関する情報を一元管理可能とする(図2 c)。
iPatientは,前述した特長以外に,これまで日本のユーザーにいただいた操作に関する要望・問題点に抜本的な改良を加えた次世代操作環境であり,ユーザーの使い勝手をさまざまな局面で満足させるものと期待している。
図1 Brilliance iCT,Ingenuityシリーズのシステム外観
図2 iPatientのインターフェイス
a:Exam Cardにおけるプロトコル選択画面と心臓検査施行時のスキャン画面
b:Sync Rightにおける患者体重に応じた造影剤投与量の自動選択
c:Sync Rightにて造影検査終了後に自動出力される造影レポート
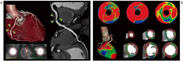
■“ Myocardial Defect Assessment”on IntelliSpace Portalver.5.0
冠動脈疾患において心筋に虚血や梗塞がある場合,正常心筋に比べ,同部位は低灌流域として描出されることが広く知られている2)。“Myocardial DefectAssessment(MDA)”は,弊社ネットワーク型ワーステーションである「IntelliSpace Portal(ISP)」で使用可能な心筋低灌流域検出支援アプリケーションである。
MDA は,AHA セグメント分類に基づき,心筋のCT 値と解析アルゴリズム3)に従い,各セグメントの心筋低灌流域を自動抽出~解析し,3種類の定量結果として出力する(図3)。MDAの解析に必要なデータは,原則として拡張期のシンスライスデータのみであるため,昨今多くの施設で行われているprospectively gated axial スキャンのデータから,冠動脈の形態情報に心筋の機能情報を付加することができる。加えてMDAは,弊社心臓解析アプリケーション“Comprehensive CardiacAnalysis”のアドオン機能として動作するため,解析者は冠動脈から心筋性状,さらには心機能までの一連の解析を短時間で包括的に行うことが可能である。
図3 Myocardial Defect Assessmentの解析画面
a: 右冠動脈高度狭窄症例のCT 像
左:VR 像と血管短軸像 右:CPR 像
b: MDA による画像解析結果
上段左:HU map。心筋全体のCT 値から特定の閾値を利用 上段中:Defect probability map。
低灌流域が統計学的にどこにどの程度分布するかを推定
上段右:(Endo-Epi)map。心筋の内膜側と外膜側のCT 値の差分を算出
下段:(Endo-Epi)mapと冠動脈VRツリーのフュージョン像。
右冠動脈高度狭窄に一致した支配領域(下壁)に低灌流域が確認できる。
■“ TAVI-Planning”on IntelliSpace Portal ver. 5.0
大動脈弁植え込み術(transcatheteraortic valve implantation:TAVI)は,30~ 40%にのぼる重症の未治療大動脈弁狭窄症4)に対する画期的治療法として注目を集め,2012年にわが国でも治験を終え,2013年に保険承認される可能性が高い。CTは三次元的な客観的データが取得容易なことから,欧米のガイドライン5),6)にもTAVI 術前のCTにおける画像計測の必要性が明記してある。 “TAVI-Planning”(図4)は,専用の解析アプリケーションではなく,ワークステーションIntelli Space Portal(ISP)に標準で搭載されているCardiac Viewerの活用方法である。TAVI 術前情報として必須になる大動脈弁の弁口面積,石灰化の程度,デバイス選択のための大動脈弁輪の直径,面積や周囲長,弁先端部~冠動脈起始部の距離,アプローチする血管の径,動脈硬化の広がりや湾曲の程度,さらに血管撮影装置のアンギュレーションなどの一連の解析が可能である。
Cardiac Viewerはその名の通り,循環器画像に特化した作り込みがされており,複数心位相の同時比較表示やシネモード,アキシャル像に同期した撮影時心電図波形の参照や,Area Length法による心機能解析が行える。なかでも定評のある機能に,心軸(短軸,垂直・水平長軸)の自動MPR作成機能がある。コロナルやサジタルがワンクリックで切り替わるビューワは珍しくないが,心軸への自動切り替えは大変ユニークな機能であると言える。
図4 TAVI-Planning の解析画面
本稿では,RSNA 2012で発表した新製品を中心に技術解説を行った。市場では64列CTの普及が進み,循環器CT検査も目新しい検査ではなくなってきている昨今,経済的な側面や新しい視点での付加価値が求められる時代になってきている。フィリップスでは,これからも製品の進化だけでなく,お客様の声を基にした“深化”といった切り口からも,さまざまなソリューションを提案していきたい。
1)Seifarth, H., Puesken, M., Kalafut, J.F., etal. : Introduction of an individually optimizedprotocol for the injection of contrast mediumfor coronary CT angiography. Eur. Radiol. , 19,2373 〜2382, 2009.
2)Dwivedi, G., Dowsley, T.F., Chow, B.J.W. :Assessment of Cardiac Computed TomographyMyocardial Perfusion Imaging. Circ. J. , 76,544 〜552, 2012.
3)Lamash, Y., Lessick, J., Gringauz, A. : Anautomatic method for the identification andquantification of myocardial perfusion defectsor infarction from cardiac CT images. ISBI2011, 1314 〜1317, 2011.
4)Bach, D.S., Siao, D., Girard, S.E. et al. :Evaluation of patients with severe symptomaticaortic stenosis who do not undergo aorticvalve replacement ; The potential role of subjectivelyoverestimated operative risk. Circ.Cardiovasc. Qual. Outcomes. , 2, 533 〜539,2009.
5)Holmes, D.R., Mack, M.J., Kaul, S., et al. :2012 ACCF/AATS/SCAI/STS expert consensusdocument on transcatheter aortic valvereplacement. J. Am. Coll. Cardiol. , 59, 1200 〜1254, 2012.
6)Achenbach, S., Delgado, V., Hausleiter, J.,et al. : SCCT expert consensus document oncomputed tomography imaging before transcatheteraortic valve implantation(TAVI)/transcatheter aortic valve replacemen(t TAVR).J. Cardiovasc. Comput, Tomogr. , 6, 366 〜380, 2012.
【問い合わせ先】
フリーダイアル:0120-556-494
【フィリップスお客様窓口】
土日祝休日を除く9:00 〜18:00
