技術解説(フィリップス・ジャパン)
2021年4月号
循環器領域におけるCTの技術の到達点
「IQon スペクトラル CT」が実現する革新的な心臓イメージング
小川 亮[(株)フィリップス・ジャパン プレシジョンダイヤグノシス事業部CTモダリティーセールススペシャリスト]
現在の単一管電圧から発生したX線によるsingle energy CT(以下,SECT)は,検出器の多列化,撮影速度の高速化により,広く循環器領域に用いられている。しかし,多様な組織が組み合わさり成り立っている人体に対して,CT値の情報を取得するために,異なる物質であってもCT値が近い場合にコントラストが同様になる場合や,同一の物質でも密度の違いによりCT値が異なるなどの課題がある。また,腎機能低下により造影剤の減量を必要とする症例では,120kVpより低い管電圧で撮影することで造影コントラストは向上するものの,ノイズの増加が顕著となり明らかな診断能の低下を認める。
フィリップスが開発したdual energy CT(以下,DECT)「IQon スペクトラル CT(以下,IQon)」は,2層検出器を用いた心電図同期撮影により,SECTおよび従来のDECTでは課題となっていた循環器領域の症例に対して,従来画像を含むさまざまなスペクトラル画像を用いることで診断能を向上することが可能である。本稿では,IQonの特長とともに,一部のスペクトラル画像を用いた循環器領域における有用性について紹介する。
■ IQonの特長
1.データ取得方法
IQonは,検出器側でX線を2つの光子エネルギー帯で分離するDual-Layer detector方式を用いている。IQonの検出器「NanoPanel Prism」は2層構造で,上層では低エネルギー成分,下層では高エネルギー成分のX線が吸収されるシステムである(図1)。この方式の大きな利点としては,2つのrawデータをミスレジストレーションなく得られるために,動きの影響の少ない,造影効果の一致したデータ収集が行える。被ばくにおいては,自動露出機構による電流変調が可能なため,線量の最適化が可能である。
図1 2層検出器NanoPanel Prism
上層では低エネルギー成分,下層では高エネルギー成分のX線が吸収される。
2.画像再構成技術
IQonの画像再構成技術の中で最も重要な点は,“anti-correlated noise”の除去である。一般的なDECTの仮想単色X線画像は,X線管球が持つX線スペクトラムの平均エネルギーで最も画像ノイズが少なく,その平均エネルギーから低い,あるいは高いエネルギー領域ではノイズが大きく増加する傾向を認める。このノイズは,光電効果画像とコンプトン散乱画像を結合した際に生じるもので,スペクトラルイメージにおける画質・物質弁別の精度を低下させる一因となる1)。しかし,IQonの画像再構成法では,あらかじめこのanti-correlated noiseを除去することで,仮想単色X線画像の各エネルギー領域において,ノイズの低減された精度の高い画像が得られる(図2)。
図2 仮想単色X線の各エネルギー領域画像
■ IQonの循環器領域における有用性
1.冠動脈評価
一般的に,SECTにおける心臓CTは,冠動脈評価において陰性的中率の高さから,冠動脈狭窄を除外する診断ツールとして有用である2)。冠動脈評価の診断精度を高くするには,造影剤による高いコントラストで冠動脈内腔が明瞭に描出される必要がある。しかし,日常の検査対象の割合は高齢者が多く,腎機能低下した症例も少なくない。このような症例には,造影剤を低減した低侵襲な検査が望まれる。
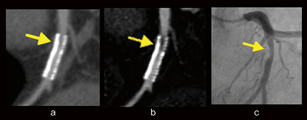
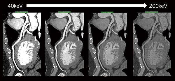
IQonにおける仮想単色X線(以下,MonoE)を用いた画像は,エネルギーを40keVから200keVまで連続的に可変して表示することができる。また,上記のanti-correlated noiseを除去することで,低いエネルギーのMonoE画像(以下,MonoE低keV画像)において,造影剤投与量を低減しても高画質で観察が可能となる。図3の腎機能低下症例では,造影剤を大幅に低減し,MonoE低keV画像を使用することで,低侵襲で診断能の高い検査が可能となっている。また,物質弁別を用いたヨード密度強調画像(以下,Iodine no water)では,ヨード造影剤のコントラストを強調することにより造影効果を有する箇所はさらに視認性が増し,従来のSECTでは診断困難なステント内再狭窄症例における低吸収プラークの視認性向上が期待できる(図4)。
図3 MonoE 50keVを用いた低造影剤量検査
造影剤使用量:9mL
(画像ご提供:みなみ野循環器病院様)
図4 ステント内再狭窄症例
→:低吸収プラーク
a:従来画像 120kVp b:Iodine no water c:angiography
2.心筋評価
これまでの画像診断においては,心筋障害を評価するゴールドスタンダードとして,心臓MRI(以下,CMR)が広く臨床で用いられている。CMRにおける心筋遅延造影法は,心筋の線維化組織の明瞭なコントラストが得られ,臨床において有用である3)。しかし,従来のSECTでは,一般的な管電圧を用いた心筋遅延造影法の場合,CMRと比べ明瞭なコントラストは得られず,また,低管電圧撮影を用いるとノイズの影響で評価困難な症例に遭遇する場合がある。
IQonにおける心筋遅延造影法では,一般的な管電圧と比べ,MonoE低keV画像を用いることで,高画質で造影コントラストの向上した画像が得られる。
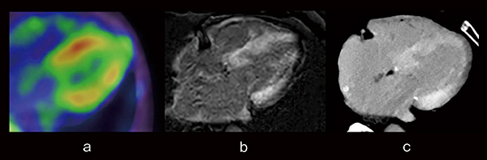
図5の症例は,心アミロイドーシスである。ピロリン酸シンチグラフィ(図5 a),CMR-LGE(図5 b)においてびまん性に肥厚した心筋の線維化組織が明瞭に観察でき,IQonの遅延造影画像(図5 c)でも同様の画像所見を認める。
図5 心筋遅延造影画像:心アミロイドーシス
a:ピロリン酸シンチグラフィ b:CMR-LGE
c:IQon-MonoE 40keV遅延造影画像
(画像ご提供:熊本中央病院様)
3.多様な心拍に対応する画像再構成技術
前述のさまざまなスペクトラル画像の精度を担保するには,心臓の静止した画像を取得することが重要である。
弊社の開発した心臓CTにおける画像再構成技術は,IQonをはじめとするフィリップスCTに搭載されており,独自のアルゴリズムにより画像再構成が可能である。フィリップスの心拍変動対応技術“Beat to Beat Variable Delay Algorithm”は,心拍変動が出現した場合に,基準心拍の任意の心位相に自動補正することで,RR間隔が異なる不整脈症例においても冠動脈の連続性が高くバンディングアーチファクトが少ない画像を提供することが可能となる。また,自動分割再構成技術“Adaptive MaxCycle”では,画像再構成中にセグメント分割数と分割比率を自動可変処理することで,モーションアーチファクトが少ない診断精度の高い画像を得ることできる(図6)。
図6 多様な心拍に対応する画像再構成技術
平均HR 96bpm(Af:心拍変動幅60〜125bpm)
(画像ご提供:みなみ野循環器病院様)
◎
IQonにおける診断価値の高いさまざまな画像は,撮影されたすべての症例でレトロスペクティブに画像が参照可能であり,循環器領域のルーチン検査で大きな貢献が期待できる。とりわけ,MonoE低keV画像のコントラスト向上は有用性が高く,低侵襲で包括的な心臓検査が実現可能となる。さらに,レトロスペクティブな解析は,2層検出器CTならではのアドバンテージであり,後ろ向きに研究を進める上でも大きなモチベーションになると考えられる。IQonは,臨床と研究の両面において大きな将来性を有するCT装置である。
●参考文献
1) Brown, K.M., Zabic, S., Shechter, G. : Impact of Spectral Separation in Dual-Energy CT with Anti-Correlated Statistical Reconstruction. Proceedings of the 13th International Meeting on Fully Three-Dimensional Image Reconstruction, 493-496, 2015.
2) Hoffmann, M.H., et al. : Noninvasive coronary angiography with multislice computed tomography. JAMA, 293 : 2471-2478, 2005.
3) 後藤義崇, 他 : MRIによる心筋疾患の診断. 日本内科学会雑誌, 105(10): 2041-2047, 2016.
●問い合わせ先
株式会社フィリップス・ジャパン
〒108-8507
東京都港区港南2-13-37 フィリップスビル
フリーダイアル:0120-556-494
【フィリップスお客様窓口】
土日祝休日を除く9:00〜18:00
www.philips.co.jp/healthcare
