技術解説(シーメンスヘルスケア)
2014年8月号
Women's Imaging 2014 最新技術[Breast Imaging]
MAGNETOM─乳腺MRIの最新技術─
●Breast Dotエンジン
“Breast Dotエンジン”(図1)は,最適な撮像条件を自動的に設定する撮像支援ソフトウェアです。質の高い乳腺MR画像を得ることができます。Automatic Adaptive Advanced Shimmingにより,異なる乳房形態でも高いレベルで磁場均一性を保ちます。乳腺実質,脂肪,インプラント(食塩水またはシリコン)を識別する自動周波数検出により,信頼性の高い画質を得ることができます。また,FOVやスライスなどの自動位置決め機能も搭載されます。
図1 Breast Dotエンジン
●syngo.via
“syngo.via”に搭載される“syngo BreVis”(図2)には,自動モーションコレクション,動態パラメータの分析と表示,病変の体積評価,“syngo.MR Spectroエンジン”との連携,BI-RADS準拠のレポーティングシステムなどを搭載し,乳腺領域の読影を支援します。
図2 syngo BreVis
●高時間分解能ダイナミックスキャン
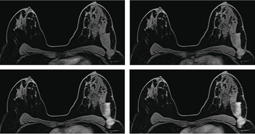
“TWIST-VIBE”を使用した造影ダイナミックスキャンにより,高い空間分解能を維持しながら,さらに高い時間分解能を持つ3D画像を得ることが可能となりました(図3)。TWIST-VIBEは,高速造影MRAで定評のあるTWIST法をVIBEシーケンスに組み込むことにより,従来以上の高速化が可能となりました。より早い時相からの造影強度曲線を得ることにより,診断のための新たな情報を得ることが可能となります。
図3 TWIST-VIBE ダイナミック画像
時間分解能5秒での3D画像
【問い合わせ先】
コミュニケーション部
TEL 0120-041-387
http://www.healthcare.siemens.co.jp/medical-imaging
