技術解説(シーメンスヘルスケア)
2023年1月号
医用画像ワークステーションガイド
「syngo.via」による3D画像作成業務の効率化
下平 貴史[シーメンスヘルスケア(株)デジタル&オートメーション事業部]
シーメンスヘルスケアは,検査から読影までのワークフロー改善をめざし,2010年に「syngo.via」をリリースした。その特長は,院内のネットワークに接続されたsyngo.viaサーバにアクセスすることで,いつでもどこでも検査に応じた自動解析ずみの結果画像を瞬時に確認できることであり,読影支援システムとして高い評価を得てきた。そして,これらの自動解析の基盤となっているのが,「ALPHA(automatic landmarking and parsing of human anatomy)technology」である。この技術は,人工知能(AI)を駆使してCTやMRなどの画像から関節や臓器などのランドマークを検出し,画像解析に生かす技術である。今日では,心臓や冠動脈CPR画像の自動抽出,比較読影における位置合わせなど,さまざまな解析にALPHA technologyが活用されている。また,バージョンアップを重ねるごとに自動抽出の精度を向上させ,放射線画像検査全体のワークフロー改善をサポートしている。
■Rapid Results technology
一方,新たにPCを設置するスペースがない,相乗りする端末がsyngo.viaの動作要件を満たさない,読影医の業務が煩雑化するため,PACSビューワ以外の別のシステムを利用したくない,などの問題や要望を抱えている施設を,われわれは一定数経験している。そのようなニーズに応えるべく,また,診療放射線技師による3D・MPR画像作成業務の効率化をめざして開発を進めてきたのが,「Rapid Results technology(RRT)」である(図1)。
RRTはsyngo.viaのネーミングの由来(via:〜を通って,〜を経由して)どおり,syngo.viaを経由することで,あらかじめ設定した条件に従い,さまざまな画像解析や3D・MPR処理をサーバ内で実施し,任意の送信先に自動送信する技術である。RRTを活用することで,syngo.viaのアプリケーションを起動することなく,サーバ内で自動処理・自動送信を実行することにより,任意の送信先で解析結果を確認できる。撮影時のポジショニングが困難な場合や救急時など,すでにさまざまなシーンで活用されている。特に救急領域においては,頭部単純画像と頭部perfusion画像をsyngo.viaに送るだけで,ASPECTSとNeuro perfusionの解析が自動実行され,任意のサーバなどに自動送信することができる。「脳卒中治療ガイドライン」で指標とされているRAPID(ischema view)での解析結果との相関1)も示されており,よりスピーディな診断・治療への移行を支援している。
図1 Rapid Results technology概念図
■放射線治療計画支援
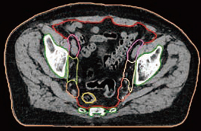
AIを駆使した技術は,放射線治療計画支援においても有効活用されている。syngo.viaの「RT image Suite(RTiS)」は,放射線治療計画支援システムとしてデフォーマブルレジストレーションや4Dにおけるコンツーリングなど,さまざまな放射線治療計画支援機能を有しているが,その中でも評価が高いのが,Auto Contouringの機能を司る「Organs RT」である。現在対象となる臓器は85を超えており,頭頸部や肺野などにおける単なる抽出精度正確性だけでなく,骨盤内リンパ節(図2)などガイドラインに沿った形での臓器抽出ができることについても高い評価を得ている。このAuto ContouringもRRTと組み合わせることが可能で,CTデータを受信すると同時に事前に紐付けたテンプレート設定に従ってAuto Contouringを実施し,作成されたRT Structureのデータを放射線治療計画システムに自動送信することができる。その精度の高さから,RTiSやOrgans RTを活用することでコンツーリングの時間が大幅に低減できることも報告されている。
図2 骨盤部のAuto Contouring結果
◎
現在,RRTの活用が急速に広まり,多くの施設から高評価を得ている。次なるステップとして,よりリアルで精緻なボリュームレンダリングを実現した「Cinematic VRT」への対応が期待されている。モンテカルロ法を用いた複雑な計算を要するため,現段階では未対応だが,本機能が実装されることで,Cinematic VRTの臨床活用の幅が広がり,業務効率の改善という観点でも大きな効果が期待できると考えている。
●参考文献
1) Koopman, M.S., et al. : Comparison of three commonly used CT perfusion software packages in patients with acute ischemic stroke. J. Neurointerv. Surg., 11(12): 1249-1256, 2019.
【問い合わせ先】
TEL 03-3493-7500
URL https://www.siemens-healthineers.com/jp/
