New Horizon of 4D Imaging(ザイオソフト)
2013年1月号
循環器領域におけるziostation2の活用と、カテーテル治療に対する治療支援画像構築
山口隆義(北海道社会保険病院 放射線部)
北海道社会保険病院の心臓血管センターでは、64列CT装置の導入時から、循環器領域における治療支援画像構築に積極的に取り組んできた。冠動脈を含めた診断カテーテル検査がCT検査に移行する中で、プラーク評価などのCT画像の特徴を活かした診断手法が注目されてきたが、精度の高い三次元画像は治療支援画像構築の条件を満たしており、その構築にはワークステーションが欠かせない。そこで、本稿では当施設におけるziostation2を用いたCT画像による治療支援画像のいくつかを紹介する。
[カンファランスの重要性]
これまで診断に用いられてきたCT画像から治療支援画像を構築するには、検査をオーダする医師と撮影を行う診療放射線技師双方が、撮影から診断および治療までのプロセスを常に意識して取り組む必要がある。
当施設の心臓血管センターでは、毎朝、カテーテル検査室に従事する医師や看護師、臨床工学技士、診療放射線技師が参加するカンファランスを実施している(図1)。ここでは、カテーテル治療に至った経緯などが、各種の画像などを用いてプレゼンテーションされ、その日の治療方針もディスカッションされる。血管内治療では、これまで治療対象とならなかった領域も、そのデバイスの進化と技術の進歩に伴って治療が行われるようになり、その度に、治療に必要とされる画像情報も変化してきている。われわれは、このカンファランスの現場からそのニーズを放射線部に持ち帰り、撮影の技術的な部分の見直しに加えて、ワークステーションの機能を駆使した表現方法などに関しても検討し、その治療の可能性を日々模索している。
図1 毎朝行われるカテーテルカンファランスの風景
動画像にも対応したマルチモダリティのPACSを用いて、カテーテル造影画像に加えCTやMRI、また、IVUSやOCT画像もすべて閲覧しながら、治療方針がディスカッションされる。
[冠動脈治療支援]
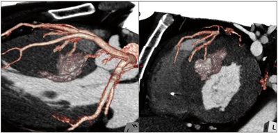
冠動脈における慢性完全閉塞(Chronic Total Occlusion:CTO)病変に対するCT画像の有用性に関してはいくつかの報告があり、その治療の難易度を評価する指標にも用いられる。しかし、カテーテル室で用いられる治療支援画像の条件としては、カテーテルによる造影画像と同じアングルで形態観察が可能でなければならない。われわれの施設では、Volume Rendering (VR)画像を用いた3DMAPを治療支援画像として提供している。これは、通常の造影された血管内腔のVR画像に閉塞血管の外観をフュージョンさせたもので、閉塞部分の血管形状や石灰化の分布などの把握が容易であるとともに、アンギオ装置のビューアングルに合わせた画像を簡単に表示可能なのも特徴である。さらに、最近では側副血行路を介して逆行性にガイドワイヤーを進める治療も行われるため、この方法が選択される場合には、側副血行路のルート検索が重要となる。CTで描出される側副血行路は、CT画像の空間分解能の限界もあり、比較的血管径の保たれたルートと考えられるため優先的に選択される。特に、中隔枝はその第一候補となるが、通常の閾値抽出によるVR画像では描出が困難なため、パスによる抽出も活用している。一部、マニュアル作業にはなるが、側副血行路の走行形態や本幹接続部位の把握に有効であり、その信頼性に関しては、CPR画像による連続性から確認できる(図2)。
図2 側副血行路の描出も含めたCTO病変の3DMAP画像
カテーテル治療時に用いられるビューアングルに合わせた画像を作成している。
動画像にも対応したマルチモダリティのPACSを用いて、カテーテル造影画像に加えCTやMRI、また、IVUSやOCT画像もすべて閲覧しながら、治療方針がディスカッションされる。
[経皮的中隔心筋焼灼術]
薬物治療抵抗性の閉塞性肥大型心筋症では、エタノールを用いて閉塞責任中隔心筋を焼灼壊死させる経皮的中隔心筋焼灼術(PTSMA:Percutaneous Transluminal Septal Myocardial Ablation)が行われる。これまでは、カテーテル造影の画像を用いて左前下行枝から分岐する中隔枝を選択し、バルーンカテーテルで血液を遮断し圧較差変化を確認することに加えて、心筋コントラストエコーによる灌流域の評価で焼灼対象となる中隔枝が決定されていた。しかし、中隔枝の分岐には個人差も多くあり、左前下降枝から最適な中隔枝が分岐しているとは限らず、カテーテル造影だけでは、そのバリエーションの把握は困難である。そこで、当施設では冠動脈CT検査でziostation2を用いた焼灼対象となる中隔枝の描出を試みている。
図3は、対角枝から分岐する中隔枝が冠動脈CT画像で確認された症例であり、第一中隔枝からの分枝を含めて2本の枝がCT画像上での焼灼対象と考えられた。コントラストエコーでも、同2枝に関しては左室流出路の心筋内膜側を灌流していることが確認されたが、第一中隔枝の本幹は右室側を灌流しており、焼灼対象ではなかった(図4)。術直後に施行された冠動脈CT検査では、エタノール動注された2枝の末梢側を中心に焼灼心筋部位が遅延造影されており、コントラストエコーでの灌流域と一致していた(図5)。このような症例を経験し、われわれは、より正確に焼灼対象となる中隔枝を選択するには冠動脈CT画像の活用が有効であると考えている。
図3 中隔枝に着目したCT画像(左)とカテーテル造影画像(右)
赤円部分がCT画像から焼灼対象に選択された枝で、左側の枝は対角枝から分岐していた。
図4 焼灼対象の中隔枝に対して行われたコントラストエコー像
CTで選択された2枝は、左室流出路の心筋内膜側を灌流しているが(中、右)、第一中隔枝の本幹は右室側を灌流していた(左)。
図5 PTSMA直後に施行された冠動脈CT画像
2枝の中隔枝末梢側で焼灼心筋が遅延造影されており、焼灼部位の確認ができる。
[CT/SPECT心臓フュージョン]
糖尿病などによる高度石灰化症例では、冠動脈CTでの評価が困難となるが、びまん性の狭窄病変を複数有していることも多く、虚血に関する責任冠動脈の同定が困難となる場合がある。これは、狭窄や閉塞病変の出現によって、複雑な心筋血液灌流状態となってしまっている冠動脈バイパスグラフト術後でも同様である。この様な症例に対して、ziostation2の“CT/SPECT心臓フュージョン”を用いて、責任冠動脈の同定を行っている。
図6は、左前下行枝にバイパスされた右内胸動脈の閉塞と、右冠動脈の後下行枝にバイパスされた大伏在静脈に狭窄が認められた症例であり、ほかにも数か所に狭窄病変が認められたが、心筋血流SPECTでは、心室中隔および心尖部を中心にパッチーな再分布を認める虚血領域が描出された。心室中隔の領域は、左前下行枝閉塞部手前の狭窄病変によるものと推測され、心尖部は主に右内胸動脈の閉塞によるものと考えられるが、一部の下壁側に関しては、心尖部側まで分布する右冠動脈の後下行枝も責任冠動脈である可能性がフュージョン画像から確認された。
図6 “CT/SPECT心臓フュージョン”を用いた責任冠動脈の同定
心尖部に認められる虚血領域は、左前下行枝にバイパスされた右内胸動脈の閉塞によるものと考えられるが、下壁心尖部の虚血領域は、大伏在静脈でバイパスされた右冠動脈の後下行枝である可能性も考えられた
当施設での、循環器領域における治療支援画像に対する取り組みのいくつかを紹介した。ワークステーションを用いた処理への依存度が高く、ziostation2ならではのさまざまなツールを熟知しておくことは、新たな画像構築のヒントとなる。一方で、造影方法を含め治療支援の目的に応じた基画像を得るための撮影法の確立も重要であると考えている。
●販売代理店
アミン株式会社
http://www.hi-amin.co.jp/
〒103-0033 東京都文京区本郷2-27-20
tel:03-5689-2323 fax:03-5804-4130
●製造販売元
ザイオソフト株式会社
http://www.zio.co.jp/
〒108-0073 東京都港区三田1-2-18
- 【関連コンテンツ】
