New Horizon of 4D Imaging(ザイオソフト)
2014年5月号
循環器領域におけるziostation2の活用方法
地方独立行政法人 東京都健康長寿医療センター 放射線診療科
鈴木諭貴、吉澤 亮、内藤洋俊、横川直樹、宮崎海峰、海野 泰
CT検査で求められる画像は、axial画像のみではなく、多断面再構成(multi planar reformat:MPR)やボリュームレンダリング(volume rendering:VR)などの画像再構築を行ったものが、年々多くなってきている。当センターでは、2013年6月の新築移転に伴い、新たに320列CT(Aquilion ONE/ViSION Edition:東芝メディカルシステムズ)と、ザイオソフトの画像処理ワークステーション「ziostation2」を導入した。当センターにおける循環器領域を中心にしたziostation2の活用方法について紹介する。
[運用環境]
旧施設では、ワークステーションはCT装置の脇に設置して、画像処理を行っていた。しかし、年々増加する画像処理のニーズに応えるために、新施設では個々に設置されていたワークステーションを1つのブースに集約し、3D-Labo.として運用できる環境整備を行った。ziostation2は、多くのアプリケーションが同時アクセスすることが可能である。一部のアプリケーションにおいて同時アクセスできるクライアント数に限りはあるものの、特にストレスなく使用できている。また、画像処理以外の目的として、循環器領域においては循環器内科・心臓血管外科のカンファレンスや、血管造影室でのPCIのガイドとしても活用している。カンファレンスや血管造影室では、ワークステーションを配備することで、必要に応じてその場で画像を追加作成することもできる。これは従来から行っていたことではあるが、今まで以上にワークステーションを用いた画像データを有効活用できる環境となった。
[CT冠動脈解析2]
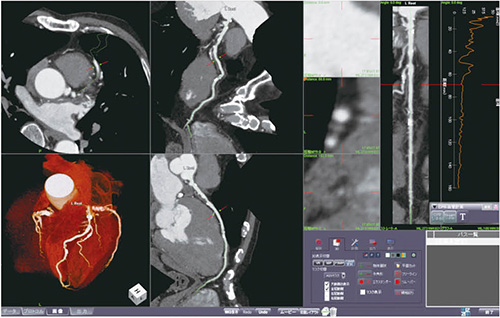
心臓CT検査では、ほとんどの場合において撮影終了後に画像処理を行い、診断を行う。数年前より、多くのワークステーションで撮影終了後の画像を読み込むことによって、自動的に冠動脈解析が行われる“冠動脈解析専用ソフト”が搭載されるようになった。ziostation2では、撮影終了後の画像を読み込むと、ほとんどの症例で診断に不要な胸骨や椎体などが除去された状態で、VRが自動的に作成される。また、大動脈、左冠動脈、右冠動脈、心筋と、各セグメンテーションを自動的に認識し保存される。認識されたセグメンテーションを選択・切り替えをするだけで、Angio Graphic ViewやTree VRなど、診療科や依頼医の要望に対しても新たに画像作成をせずに画像提供できる(図1)。
図1 冠動脈解析ソフト“CT冠動脈解析2”を起動した画面
1画面でさまざまな表示方法による観察が可能となっており、
画像作成時の負担低減に効果をもたらしている。
冠動脈についても自動認識された状態で保存され、画像処理時間は大幅に短縮された。しかしながら、冠動脈の曲面多断面再構成(curved multi planar reformat:CPR/cMPR)画像の提供の際には、しっかりと中心を通っていることを確認する必要がある。なぜならば、中心を通っていないと偽狭窄ともとれるCPRとなってしまうからである。ziostation2では中心を確認して、修正が必要な場合には、任意でcross sectionやStretched-CPR、CPRなどを用いて修正することが可能である。また、修正したい部位をクリックすると他の候補ルートが存在する場合、ワークステーションが候補ルートを提示してくれる(図2)。候補ルートに変更したい場合には、候補ルートをクリックするだけで変更することができる。これらの機能は、心臓CT検査における画像処理の負担を大幅に低下させ、従来に比べて画像処理が格段に効率的にできるようになった。
図2 CPR作成画面
a:初期状態 b:他の候補ルートを黄色で表示
CPRを作成する際、血管を正しく認識していない場合には、
修正個所をクリックすることで他の候補ルートが表示される。
[心臓CT]
当センターでは、通常、VR、Angio Graphic View、CPRを画像提供している。CPRは、AHA分類に基づき番号を振って画像作成を行い提供している。また、どの冠動脈のCPRを作成したのかを作成者以外が見てもわかりやすくするために、Tree VRに冠動脈の番号を追記したものを合わせて画像提供している。図3の症例は、心臓超音波検査で異常が指摘され、冠動脈狭窄を除外する目的で心臓CT検査を施行した症例である。冠動脈に冠動脈石灰化スコアであるAgatston Score2000以上の高度石灰化を認めた。LADに50%程度の狭窄を認めた。
図3 冠動脈狭窄除外目的の心臓CT
a:VR b:Angio Graphic View c:CPR(LAD/LCX/RCA)
石灰化スコアが2000以上の症例であったが、CPRでも内腔の評価が可能であった。また、このような症例においても冠動脈の自動認識がきちんとされており、画像処理時のサポートとして有用である。
図4の症例は、冠動脈バイパス術後フォローで心臓CT検査を施行した症例である。冠動脈の評価はもとより、バイパスとの吻合部も明瞭に観察できている。冠動脈バイパス術後の退院前検査では、冠動脈造影と比較して、ワークステーションを用いて画像処理を行ったVRなどは、被検者にとってもわかりやすい画像であり、術後の説明用の画像としても活用されている。また、定期的なフォローアップとしても、冠動脈造影では入院して検査を行う必要があるが、心臓CT検査では外来検査として行うことが可能であり、多くの症例で定期的なフォローアップ目的には心臓CT検査を行っている。
図4 冠動脈バイパス術後フォロー
a:VR b:CPR(LITA-LAD)
冠動脈バイパス術後(LITA-LAD/SVG-HL-OM)の症例。
提示したCPR画像における赤い丸は吻合部を拡大表示している。
[大動脈CT]
大動脈瘤は多くの場合において、自覚症状なく発見される。図5の症例は、胸部X線写真で胸部大動脈瘤が疑われたために大動脈CT検査を施行した症例である。胸部大動脈に50mmの胸部大動脈瘤を認めた。血栓を青く表示し、動脈瘤の大きさを血栓も含めて視覚的に、よりわかりやすい画像として提供を行った。画像作成時には、骨を除去するために“骨除去”を用いている。この機能では、自動的にある程度までの骨を除去することが可能である。もし、修正が必要な場合においてもziostation2では、物体選択やフリーラインといったさまざまなツールが用意されており、簡便に画像処理を行うことが可能である。
図5 胸部大動脈瘤のVolume Rendering
血栓の部分を青く表示させることで、実際の瘤の大きさを視覚的にわかりやすく表示を行っている。
[動脈管開存症(PDA)]
胎児の時に存在している動脈管は、通常では出生後は不要となり、生後2〜3日で閉じるが、動脈管が閉じずに残存してしまう場合がある。動脈管開存症(PDA)は、動脈血の一部が肺動脈に流れ込む病気である。図6の症例は、PDA精査目的での検査であり、撮影範囲が限られていたためVolume Scanを用いて検査を行った。血管病変には、Slab-MIPを用いて画像の提供を行っている。PDAは、年齢とともに石灰化を来すため、MIPを用いることで石灰化の情報もわかりやすく画像提供できる。このように、さまざまな画像再構築を行う場合にも、それぞれの用途に分かれたソフトがあり、最適な画像再構築によって画像提供を行うことができている。
図6 動脈管開存症(PDA)の症例
a:肺動脈 b:大動脈
大動脈から肺動脈に流入する動脈管を矢印(↓)で示す。
PDAの大動脈起始部に石灰化を認める。
[まとめ]
画像処理は、ワークステーションの進化によって、さまざまな処理が自動的に行われるようになってきており、画像処理の際のサポートが充実している。しかしながら、画像提供を行う責任を認識し、装置の自動化された機能にすべてを任せることなく、画像処理を行うことが重要ではないかと考えている。多機能なziostation2をより有効活用し、今まで以上に診断に有用な画像提供を行い、検査を受けた被検者にとっても有益な画像提供ができるようにしていかなくてはならないと感じている。
- 【関連コンテンツ】
