New Horizon of 4D Imaging(ザイオソフト)
2015年1月号
放射線治療におけるPhyZiodynamicsの活用
日戸諒一*1、小池直義*2*3、船越和人*2、熊崎 祐*2*4、塚本信宏*2*5
ザイオソフトの画像処理ワークステーション「Ziostation2」に搭載された動態解析アプリケーションである“PhyZiodynamics”では、さまざまな部位の動態解析が可能である。この動態解析の放射線治療における活用を、われわれが行っている呼吸性移動対策と併せて述べる。
はじめに
当院では、「CyberKnife」(日本アキュレイ社製、図1)の「Synchrony Respiratory Tracking System」を用いた動体追尾照射による治療を行っている。動体追尾照射とは呼吸位相と腫瘍位置との関係を分析し、呼吸性移動に合わせ標的位置を変化させながら照射する方法である。腫瘍位置推定の指標とするためにX線不透過マーカー(以下、マーカー)を留置している。
自由呼吸状態に対する動体追尾照射では、ITV(Internal Target Volume)の決定には4DCTを用いるとされており1)、呼吸の全位相におけるマーカーと腫瘍の移動を計測して、必要なマージンを検討する必要がある。
本稿では、320列エリアディテクタCT(Aquilion ONE/ViSION Edition Ver.6.0:東芝メディカルシステムズ社製)によるDynamic Volume Scan 4DCT(以下、4DCT)と画像処理ワークステーション「Ziostation2」の動態解析アプリケーションであるPhyZiodynamicsを用いた、放射線治療の呼吸性移動対策について述べる。
図1 CyberKnife室
照射ヘッドを中心に左右上方にあるのがX線管球(↑)、寝台上方にはLED信号を受信するカメラ(↑)があり、患者位置情報、LED位置情報を取得する。
放射線治療の流れと方法
基本的な手順は以下のとおりである。
(1) マーカー留置
経皮的、もしくは経気管支鏡的に腫瘍近傍へ1〜4個のマーカーを留置する。
(2) 治療計画用CT
呼吸2周期分程度の4DCT撮影を行う。スキャン速度は0.275s/rotである。
(3) 治療計画
各位相のCT画像をマーカー重心が一致するように重ね合わせて、それらの画像における腫瘍輪郭の論理和(OR)を取ることにより動体追尾照射用ITV(以下、ITV)を作成する(図2)。このITVにセットアップマージンとトラッキングマージンを加えてPTV(Planning Target Volume)を作成する。
図2 動体追尾照射用ITVの概念
aはDICOM座標系でのマーカーと腫瘍位置を、bはマーカーを観測者とした座標系での腫瘍位置を示している。cはbでの腫瘍輪郭の論理和であり、動体追尾照射用ITVである。
(4) 治療
毎回の照射前に患者の胸腹部表面に設置した3個のLEDで、リアルタイムに呼吸位相を検出しながら直交2方向(RAO45°,LAO45°)からのkVX線画像を断続的に撮影し、マーカー位置を計測してLED-マーカー相関モデルを作成する(図3)。実際の照射では、LED位置から相関モデルを用いて腫瘍位置を推測し、その位置に対して追尾をしながら照射を行う。治療中も一定時間ごとに直交X線画像を撮影することで、新たに計測されたLED-マーカー位置を追加し、最も古いLED-マーカー位置を棄却して既存の相関モデルを更新する。相関モデルに対する誤差はCorrelation Errorとして表示され、誤差が許容できない場合には相関モデルをリセットし、新たにモデルを作成し直す。また、呼吸状態の大きな変化や、体動が検出された場合には自動的に照射が中止される。
図3 LED-X線不透過マーカー相関モデル
上段は体表面にあるLEDから検出された呼吸波形。中段は左から、SI方向、RL方向、AP方向でのLED(横軸)-マーカー(縦軸)の位置関係を示している。下段は推定される誤差が表示されている。
マーカーと腫瘍の相関性評価
照射はマーカーに対する腫瘍の相対位置に対して行われるため、留置されたマーカーが指標として適切か、あらかじめ評価が必要である。理想は、時間(呼吸位相)変化に対してマーカーと腫瘍がまったく同じように運動をする状態である。これはマーカーを観測者とする座標系において、腫瘍が常に一定位置にいる状態であり、ITVを最小とすることができる。このための必要条件は、
をマーカーの位置ベクトル、
を腫瘍の位置ベクトルとすると、
である。すなわち、2点間の距離は一定である。実際にはまったく同じように運動することはなく、呼吸に伴いこの値(距離)が変化する。各位相での距離変化が小さいほどITVを小さくすることができ、マーカーとして適切と評価される。もちろん、距離変化の許容される大きさは近傍のOAR(Organs At Risk)の制約を受ける。
PhyZiodynamicsには、Dynamic計測メニューの中にDynamicLengthというツールがあり、指定した点を自動で追跡し、距離を表示することができる。そして、そのDICOM座標をCSVファイルとして出力することも可能であり、マーカーと腫瘍の運動をSI方向、RL方向、AP方向に分解し、処理を行うことができる。また、座標をプロットすることで、簡易的なITV確認が可能である(図4)。
図4 腫瘍座標のプロット
得られた座標情報をプログラミングを用いて処理し、座標をプロットした図。数値的な解析結果とは別に、選択マーカーによるITVの構築を視覚的に確認できる。
動体追尾照射用ITVの作成
4DCTにより自然呼吸でのマーカーと腫瘍の位置変化を把握することが可能になった反面、取り扱うべきCT画像のシリーズ数は必然的に増えることとなった。そこで、“ITV作成には不要”なシリーズを、座標情報を解析することで取り除き、重ね合わせるCT画像の削減を行う。
ITVは、マーカーを観測者とする座標系での腫瘍輪郭の論理和であった。このとき、重要となるのはITVの輪郭部分を構成するシリーズであり、それらを選択し重ね合わせることで、全シリーズを用いた場合と同等のITVを得ることが可能となる。
動体追尾照射が不要の場合
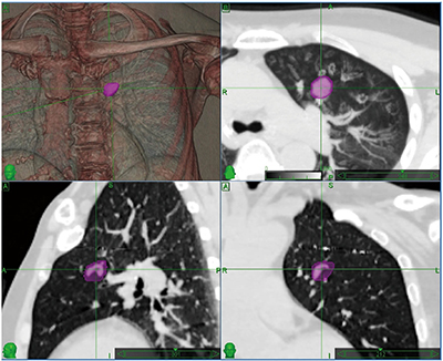
呼吸性移動が非常に小さく、動体追尾照射を行わない場合もITVの設定は必要となる。特に、高い照射位置精度が要求される定位照射やIMRT(Intensity Modulated Radiation Therapy)では、必要に応じて4DCTを撮影している。例えば、肺の腫瘍では、適切なインターナルマージンを設定するために、ピクセルごとに時間軸上の最も高いCT値を表示する投影(Time-Maximum Intensity Projection:Time-MIP)画像を作成し、その輪郭をITVとしている(図5)。このように、Time-MIP画像を使うことで、複数シリーズに及ぶ画像の重ね合わせ作業を省くことが可能である。
また、前立腺がんに対するIMRTでは、留置したマーカーをPhyZiodynamicsで計測することで呼吸性移動を評価している。
図5 Time-MIP画像
上段右のaxial像がTime-MIP画像、紫色で囲まれた領域がITVである。下段のsagital、coronal像は呼気停止にて撮影したCT画像である。
まとめ
PhyZiodynamicsは、複数シリーズに及ぶ4DCT画像からマーカーと腫瘍の位置を計測する際の有効な手段の1つであり、放射線治療における呼吸性移動対策への活用が可能である。ただし、マーカーに対する追跡は、処理後に多少の修正が必要な場合もあり、この点は課題と言える。従来は放射線診断領域で使われていたPhyZiodynamicsと4DCTという組み合わせが、今後は放射線治療領域においても、呼吸性移動対策と併せて重要となってくるのではないかと思われる。
また、Ziostation2は3D画像や任意の断面を用いながら、さまざまなツールを駆使し臓器や病変などの構造物を抽出できるという特徴があり、この構造物情報を治療計画装置で読み込みが可能な形式で出力することができれば、動体解析も含め、放射線治療領域でのさらなる魅力、応用が生まれるものと考える。
[参考文献]
1)大西 洋, 平岡真寛 : 詳説・体幹部定位放射線治療 ; ガイドラインの詳細と照射マニュアル. 東京, 中外医学社, 2006.
- 【関連コンテンツ】
