New Horizon of 4D Imaging(ザイオソフト)
第74回日本医学放射線学会総会が、2015年4月16日(木)〜19日(日)の4日間、パシフィコ横浜で開催された。ザイオソフト/アミンは、19日に共催のランチョンセミナー27において、「New Horizon of 4D Imaging〜超四次元画像PhyZiodynamics の臨床利用」を開催した。セミナーでは、佐久間肇氏(三重大学大学院医学系研究科放射線医学教室教授)を座長として、稲本陽子氏(藤田保健衛生大学)、城戸輝仁氏(愛媛大学)が、PhyZiodynamics技術を用いた嚥下CTの機能評価、心臓CTでの被ばく低減やCTストレイン解析などへの臨床応用について報告した。
2015年7月号
JRC2015 ziosoft/AMIN Seminar Report New Horizon of 4D Imaging〜超四次元画像PhyZiodynamicsの臨床利用
心臓CTにおけるPhyZiodynamicsの有用性 〜被ばく低減、ノイズ除去、血流解析、ストレイン解析
城戸輝仁 氏(愛媛大学大学院医学研究科放射線医学講座)
PhyZiodynamicsの心臓への応用
心臓CT領域におけるPhyZiodynamicsの有用性について、画質改善と被ばく低減、Dynamic Perfusion解析、CTストレイン解析について紹介する。
PhyZiodynamicsの心臓領域の応用は、トラッキング技術を基にしたノイズ除去と画像補完技術を用いて、スムーズでノイズの少ない動態画像による評価が可能になることが一番のメリットである。さらに、ノイズ除去、画像補完の2つの技術をベースとして、画質改善・被ばく低減、Dynamic Perfusion解析、さらに画像補完技術を進化させた心機能解析としてCTストレイン解析が可能となっている(図1)。
図1 PhyZiodynamicsの心臓への応用
画像改善・被ばく低減
近年の心臓CT領域のテーマに被ばく低減がある。CT装置側では各社が逐次近似画像再構成法を搭載して、低線量撮影でもノイズの少ない画像が得られるようになってきた。
1心拍の撮影データから画像解析を行った場合、FBP法ではSD44.4とノイズが多いが(図2a)、逐次近似画像再構成法を用いるとSD27.1まで改善する(図2b)。また、PhyZiodynamicsを使うことでもSD22.5と高い画像改善効果が得られた(図2c)。1心拍の撮影では、被ばく線量低減のため、拡張期以外では線量を落として撮影を行うが、PhyZiodynamicsでは前後のフェーズから画像再構成を行うため、収縮期の低線量で撮影された画像に関しても画質向上が期待できる。また、PhyZiodynamicsでは、逐次近似画像再構成法で処理ずみの画像に適用することで、SD15.1とさらに画質を改善することができ(図2d)、読影医にとってはプラスアルファの武器になるソフトウエアだと言える。
図2 画質改善・被ばく低減
PhyZiodynamicsの心臓解析
PhyZiodynamicsの心臓解析では、通常、心電図同期をかけて撮影された1心拍のデータが用いられる。症例1(図3)は左房粘液腫の症例で、超音波にて左房粘液腫が指摘され、精査目的でCT撮影を行った。通常のCTでも左房粘液腫は確認できるが、PhyZiodynamicsをかけることで腫瘍の動きや付着部と壁との位置関係も把握できた(図3b)。さらに、4Dにすることで腫瘍の硬さのイメージや付着部との関係を動態として確認でき、術前のシミュレーションとして有用な情報を提供できる(図3d)。
また、PhyZiodynamicsでは、大動脈弁の形状や動きを描出することが可能であり、Ziostation2ではこの機能を応用して経カテーテル的大動脈弁置換術(TAVR)をサポートする“TAVR術前プランニング”が提供されている。TAVR術前プランニングでは、Dynamic ROIによって拍動する心臓の弁輪を4Dでトラッキングすることが可能で、収縮期、拡張期で変化する弁輪径の計測や弁輪面と冠動脈起始部の距離計測などで術前シミュレーションをサポートする有用なツールとなっている。
図3 症例1:左房粘液腫
a:超音波画像、b:PhyZiodynamicsによる2D解析画像、
c:3D心臓超音波画像、d:PhyZiodynamicsによる4D解析
Dynamic Perfusion解析
このような1心拍のデータでの補完に対して、複数心拍を連続撮影した心臓のダイナミックCTデータにPhyZiodynamicsを応用したのが、Dynamic Perfusion解析である。複数の心拍の連続撮影を行うDynamic Perfusion CTでは、1心拍ごとの撮影線量を下げる必要があり画質が低下するが、PhyZiodynamicsを使うことで画質の改善が期待できる。
症例2(図4)は、60歳代、男性で、労作時胸痛の症例である。冠動脈CTでは、多数の石灰化と複数の狭窄病変が認められた。特に左前下行枝(LAD)の末梢の描出が悪く、カテーテルによる冠動脈造影検査を行った。カテーテル検査では、右冠動脈(RCA)および左回旋枝(LCX)に多数の中等度狭窄が認められ、LADは近位部からのCTO(完全閉塞)で前壁領域の強い虚血が疑われた。perfusion MRと遅延造影では、前壁から中隔にかけた広範囲な虚血と、前壁中隔に限局した内膜下梗塞が描出され、バイパス手術が行われた。
症例2のperfusion CTでは、MRIと同様に前壁から中隔の広範囲に虚血が描出された。線量を下げた撮影によるローテーションノイズやストリークアーチファクトなどによる偽陽性を防ぐため、PhyZiodynamicsで補完することで、ノイズを抑えたスムーズなperfusion画像が得られる。
図4 症例2:60歳代,男性,労作時胸痛
a:CCTA,b:CAG,c:心臓MRI(perfusion MR,LGE)
さらに、PhyZiodynamicsによる画像補完は、3DによるCT perfusionとCoronary CTAによる虚血の範囲と責任血管の評価に効果を発揮する。冠動脈とperfusion画像をフュージョンさせることで灌流域の評価が可能になるが、通常の1心拍30フェーズのデータでは1フェーズごとのCT値の変化が大きく、CT値による濃度変化の評価は難しい。PhyZiodynamicsで補完した3D画像では、動態補完によってCT値の濃度変化を観察するフレーム数が増えることで、心筋が染まる様子が滑らかに描出され、冠動脈との位置関係の評価がより明瞭になる。PhyZiodynamicsでは、画質の向上によって心筋全体のperfusion画像から、心外膜側に限らず図5のように心内膜側の血流情報の抽出が可能で、心内膜側と心外膜側の血流情報を分けて表示し、Coronary CTAによる冠動脈の血管の情報を組み合わせることで、位置関係を確認しながら虚血評価可能な画像を提供できる。
図6は、症例2の術前・術後の虚血領域を比較した画像だが、バイパス手術によってLAD領域の心外膜側では血流が回復しているが、心内膜側は術前に比べて変化が少ないことがわかる。バイパス術によって心外膜側の虚血は改善したが、心内膜側の内膜下梗塞は残存したことが評価可能であり、Dynamic Perfusion解析によって術後のフォローアップに有用な情報を提供することができる。
図5 症例2のCCTA+Dynamic Perfusion解析のフュージョンによる解析1)
図6 症例2のCCTA+Dynamic Perfusion解析による術前・術後の比較1)
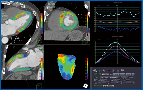
CTストレイン解析
PhyZiodynamicsの画像補完技術を使った、新しい心機能解析ソフトウエアである“CTストレイン解析”について紹介する。CTストレイン解析は、4Dモーション解析による“Maximum Principal Strain”を算出するソフトウエアである。PhyZiodynamicsによるボクセルのトラッキングなどの情報を利用して、組織の主歪みの中で最大のものを求めることが可能である。これまで超音波やMRIでは、2Dの解析から心筋の内膜重心方向に向かうRadial Strain、回転方向のCircumferential Strainなどを計測していたが、PhyZiodynamicsでは4Dで心筋全体の評価が可能となり、主方向における最大の歪みを求めたMaximum Principal Strainという指標を出すことができる。
実際の計測では、心筋の任意の断面で解析して4D画像の作成も可能で、VOIを置いた領域のストレインカーブも表示できる。これによって心筋の局所のストレイン解析が可能になると期待される(図7)。
図7 CTストレイン解析
[参考文献]
1)Kido, T., et al.:Fusion image of coronary artery and myocardial perfusion using computed tomography. Ann. Thorac. Surg., 99・2, 715, 2015.
- 【関連コンテンツ】
